Receive 30% off all Monoclonal IHC antibodies with code "MONO-IHC-30"! Offer valid for US customers and available internationally through distributors.

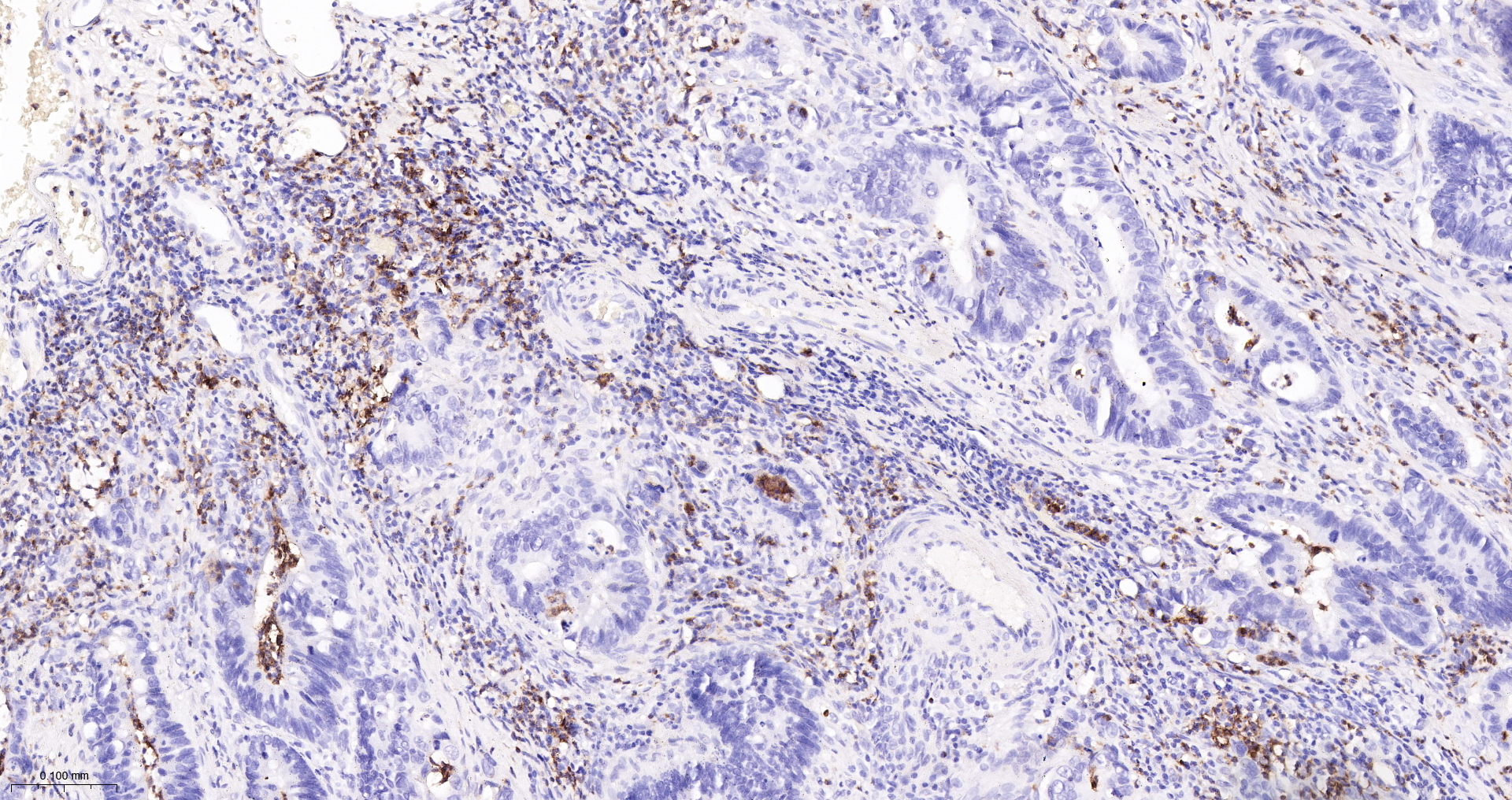
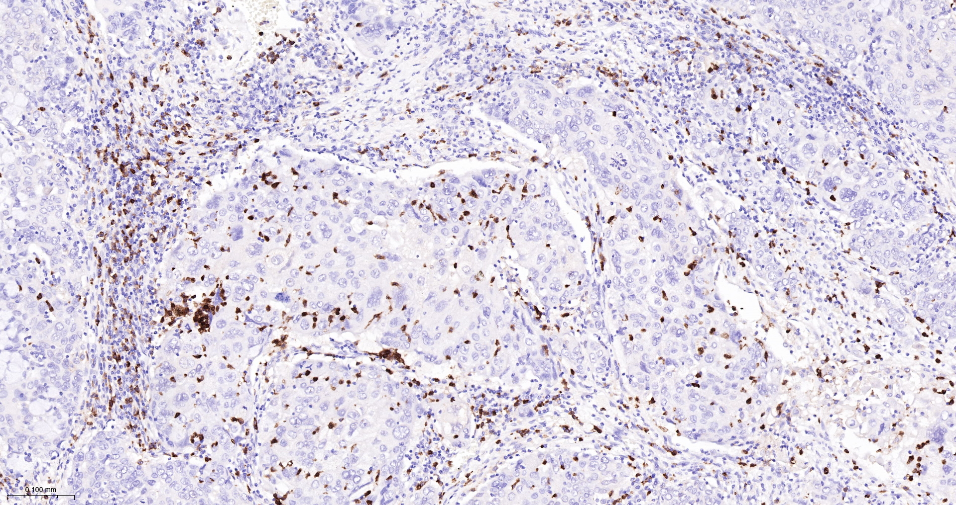
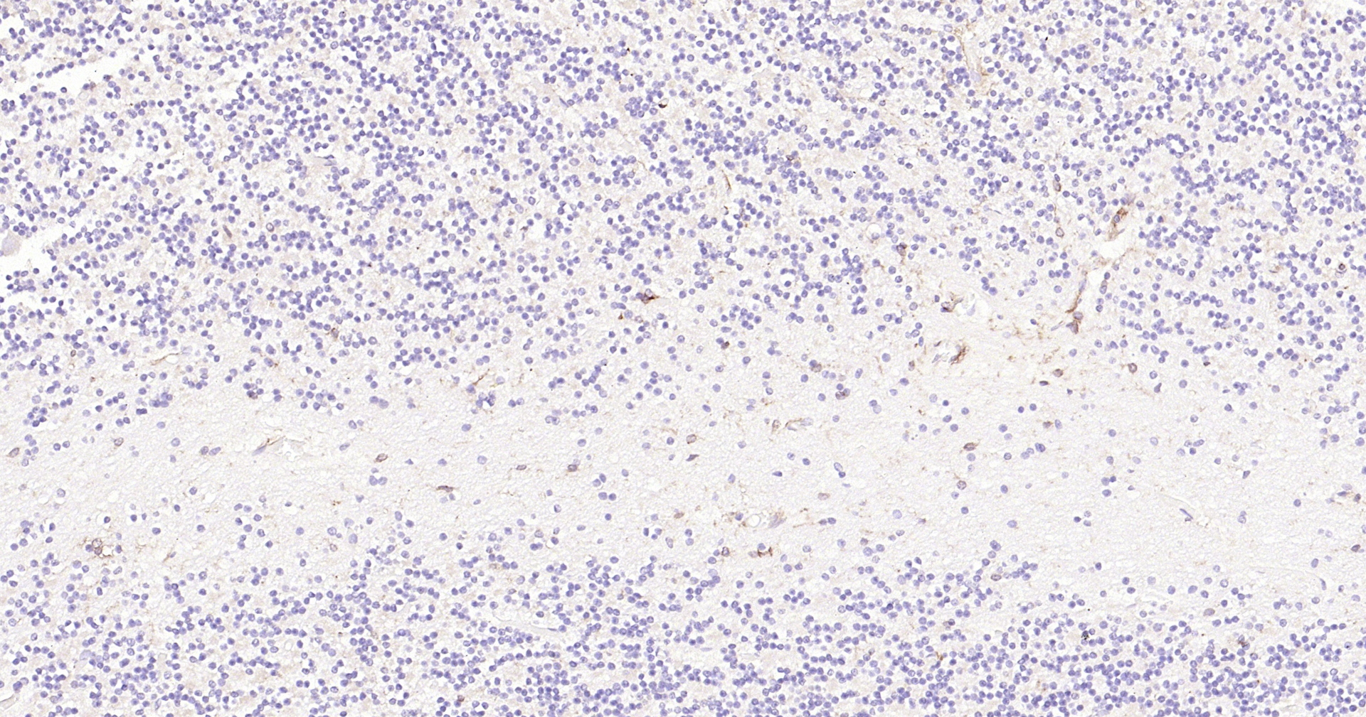
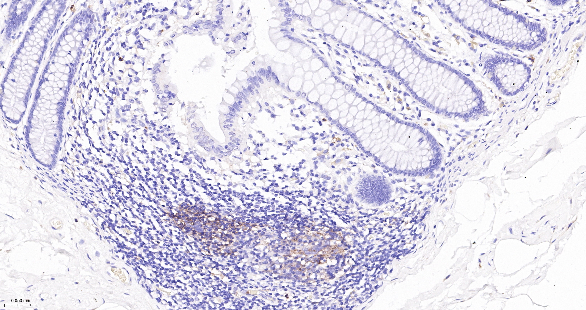
CD11b Monoclonal Antibody

Applications

  • WB
  • IHC-P
  • IHC-F
  • IF

Reactivity

  • Human
Overview
Catalog # bsm-54156r
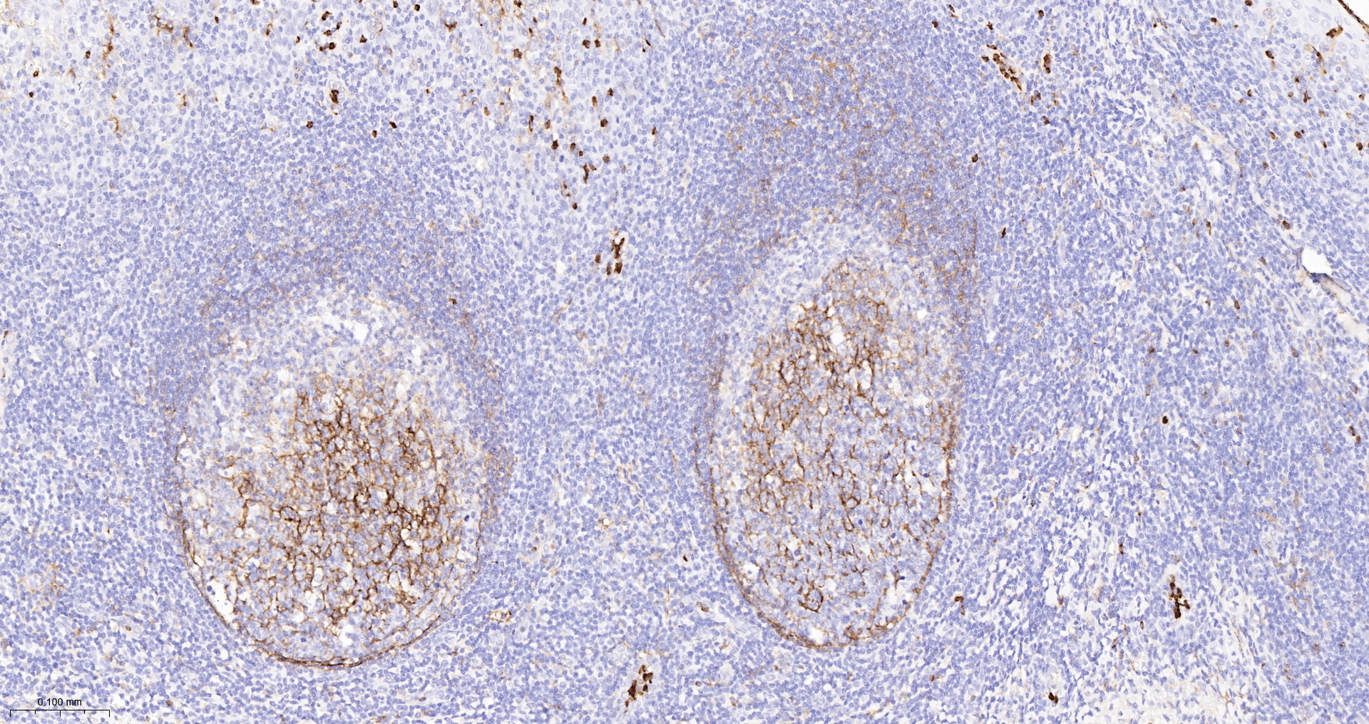
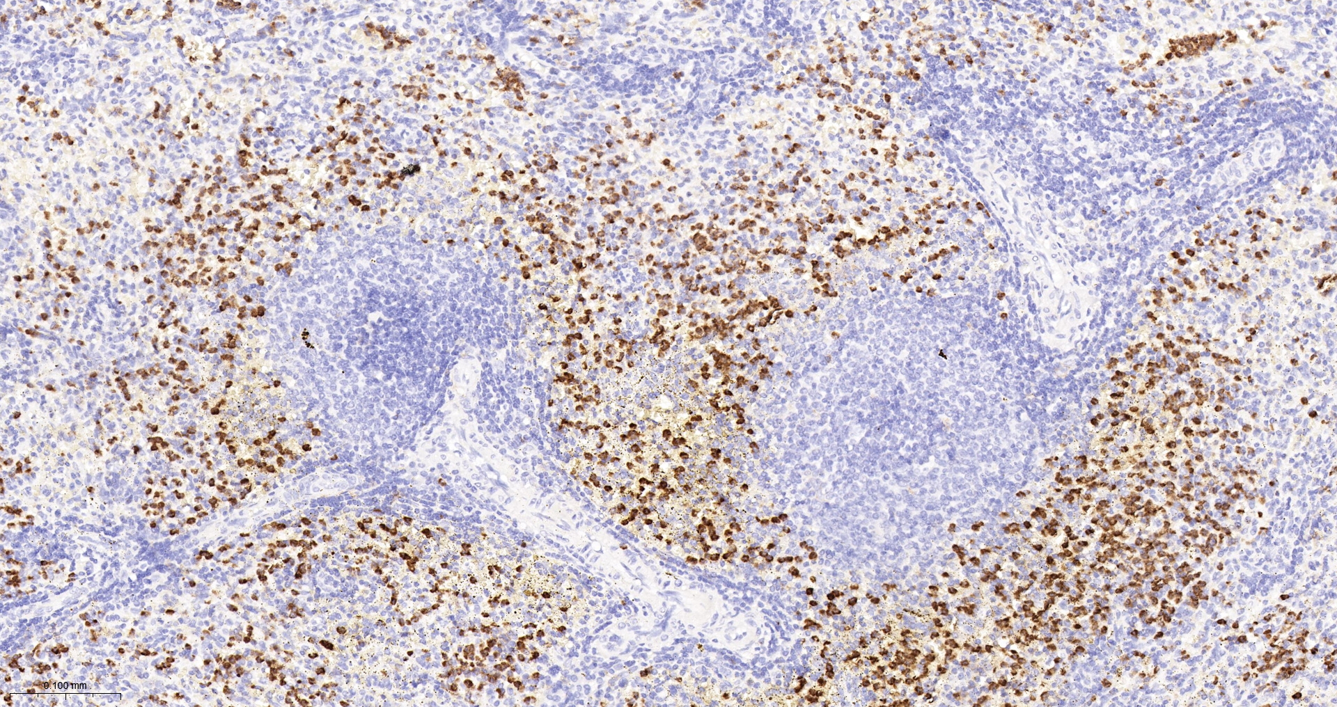
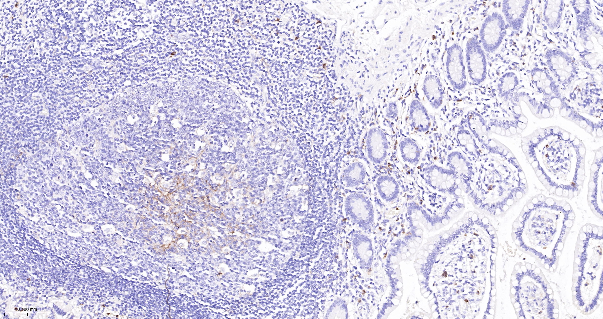
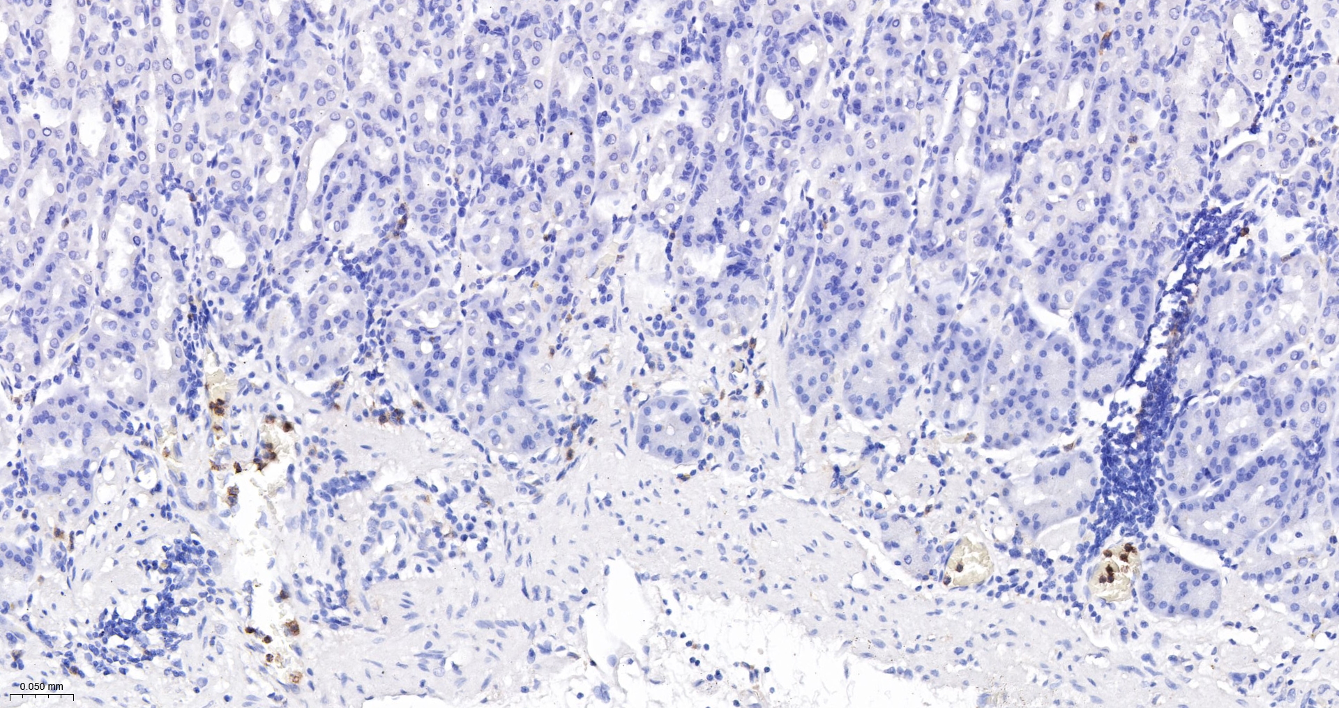
Product Name CD11b Monoclonal Antibody
Applications WB, IHC-P, IHC-F, IF
Reactivity Human
Specifications
Conjugation Unconjugated
Host Rabbit
Source Recombinant Human ITGAM
Clonality Monoclonal
Clone # 9B3
Isotype IgG
Concentration 1ug/ul
Purification Purified by Protein A.
Storage Buffer 0.01M TBS(pH7.4) with 1% BSA, 0.02% Proclin300 and 50% Glycerol.
Storage Condition Shipped at 4C. Store at -20C for one year. Avoid repeated freeze/thaw cycles.
Target
Gene ID 3684
Swiss Prot P11215
Subcellular location Cytoplasm, Cell membrane
Synonyms Antigen CD11b (p170); CD11 antigen like family member B; CD11 antigen like family member C; Cell surface glycoprotein MAC 1 subunit alpha; CR 3 alpha chain; CR3A; Integrin alpha M; Integrin alpha X; Integrin, alpha M (complement component 3 receptor 3 subunit); Integrin, alpha X (antigen CD11C (p150), alpha polypeptide); Integrin, alpha X (complement component 3 receptor 4 subunit); ITGAM; ITGAX; Leu M5, alpha subunit; Leukocyte adhesion glycoprotein p150,95 alpha chain; Leukocyte adhesion receptor MO1; Leukocyte adhesion receptor p150,95; Leukocyte surface antigen p150,95, alpha subunit; MAC1A; Macrophage antigen alpha polypeptide; MO1A; Myeloid membrane antigen, alpha subunit; Neutrophil adherence receptor alpha M subunit; p150 95 integrin alpha chain; SLEB6; ITAM_HUMAN; c equivalent; Integrin αM.
Background This gene encodes the integrin alpha M chain. Integrins are heterodimeric integral membrane proteins composed of an alpha chain and a beta chain. This I-domain containing alpha integrin combines with the beta 2 chain (ITGB2) to form a leukocyte-specific integrin referred to as macrophage receptor 1 ('Mac-1'), or inactivated-C3b (iC3b) receptor 3 ('CR3'). The alpha M beta 2 integrin is important in the adherence of neutrophils and monocytes to stimulated endothelium, and also in the phagocytosis of complement coated particles. Multiple transcript variants encoding different isoforms have been found for this gene. [provided by RefSeq, Mar 2009]
Application Dilution
WB 1:300-5000
IHC-P 1:200-400
IHC-F 1:100-500
IF