Receive 30% off all Monoclonal IHC antibodies with code "MONO-IHC-30"! Offer valid for US customers and available internationally through distributors.

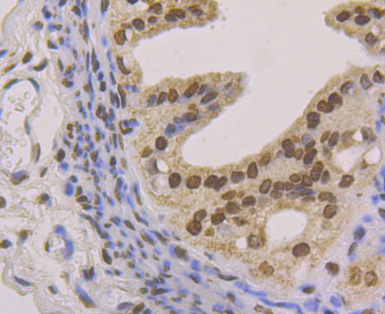
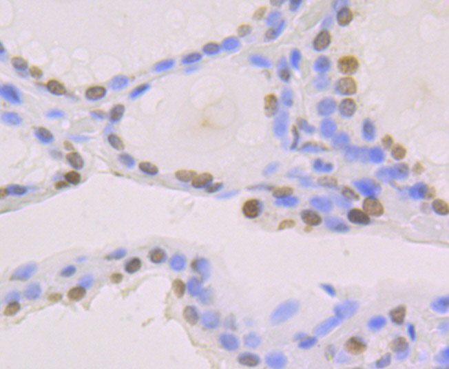
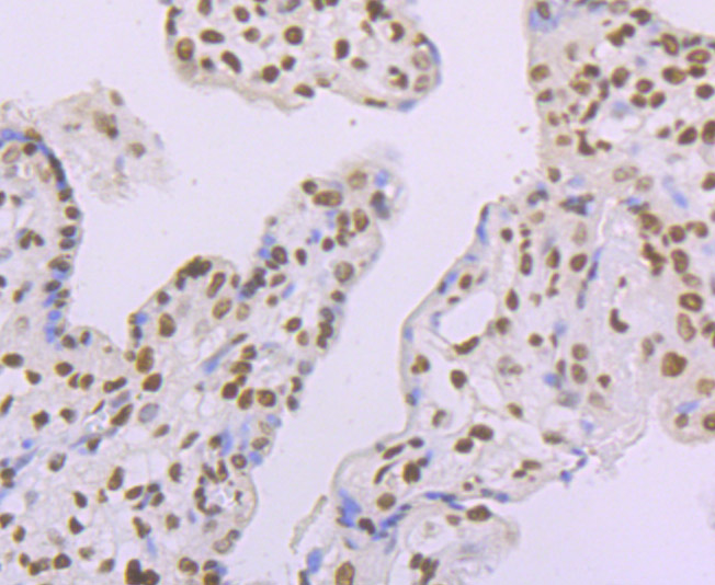
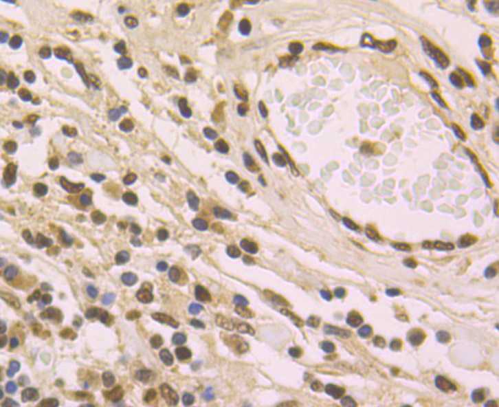
H2AFY (6C8) Monoclonal Antibody

Applications

  • WB
  • IHC-P
  • IF(IHC-P)
  • IF(ICC)

Reactivity

  • Human
  • Mouse
  • Rat
Overview
Catalog # bsm-54167R
Product Name H2AFY (6C8) Monoclonal Antibody
Applications WB, IHC-P, IF(IHC-P), IF(ICC)
Reactivity Human, Mouse, Rat
Specifications
Conjugation Unconjugated
Host Rabbit
Source Recombinant protein within human macroH2A.1 aa 150-300
Clonality Monoclonal
Clone # #REF!
Isotype IgG
Concentration 1ug/ul
Purification Purified by Protein A.
Storage Buffer 0.01M TBS(pH7.4) with 1% BSA, 0.02% Proclin300 and 50% Glycerol.
Storage Condition Store at 4C for up to 2 weeks. For long term storage, store at -20C in small aliquots to prevent freeze-thaw cycles.
Target
Gene ID 9555
Swiss Prot O75367
Subcellular location Nucleus
Synonyms macroH2A.1; Core histone macro-H2A.1; Histone H2A.y; Medulloblastoma antigen MU-MB-50.205; Histone macroH2A1; mH2A1; H2A/y; H2AFY; MACROH2A1; H2A histone family member Y.
Background Variant histone H2A which replaces conventional H2A in a subset of nucleosomes where it represses transcription. Nucleosomes wrap and compact DNA into chromatin, limiting DNA accessibility to the cellular machinery which requires DNA as a template. Histones thereby play a central role in transcription regulation, DNA repair, DNA replication and chromosomal stability. DNA accessibility is regulated via a complex set of post-translational modifications of histones, also called histone code, and nucleosome remodeling. H2AFY is involved in stable X chromosome inactivation. Inhibits the binding of transcription factors and interferes with the activity of remodeling SWI/SNF complexes. H2AFY inhibits histone acetylation by EP300 and recruits class I HDACs, which induces a hypoacetylated state of chromatin. In addition, isoform 1, but not isoform 2, binds ADP-ribose and O-acetyl-ADP-ribose, and may be involved in ADP-ribose-mediated chromatin modulation.
Application Dilution
WB 1:300-5000
IHC-P 1:200-400
IF(IHC-P) 1:50-200
IF(ICC) 1:50-200