Receive 30% off all Monoclonal IHC antibodies with code "MONO-IHC-30"! Offer valid for US customers and available internationally through distributors.

DDB1 Recombinant Antibody

Applications

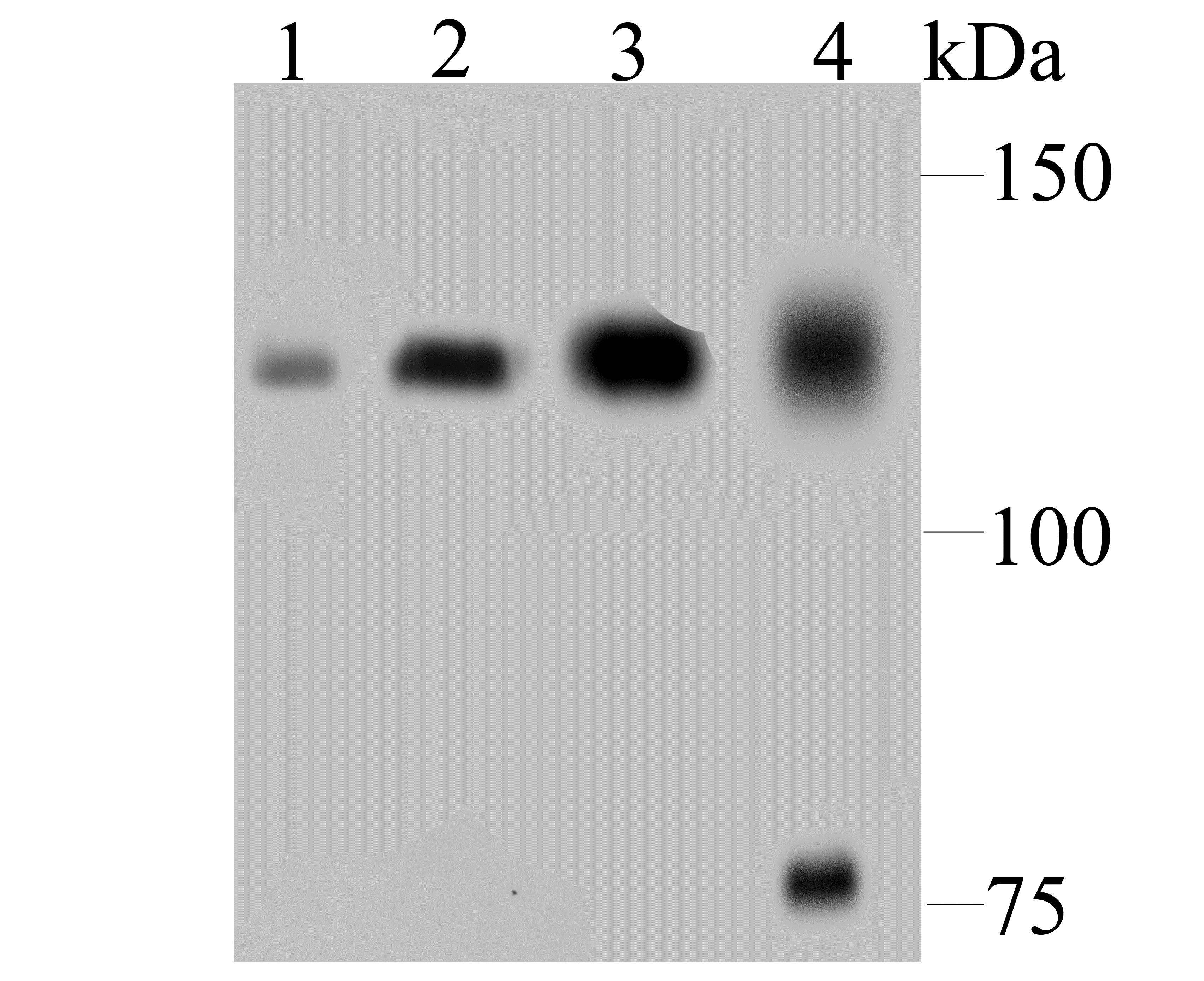
  • WB
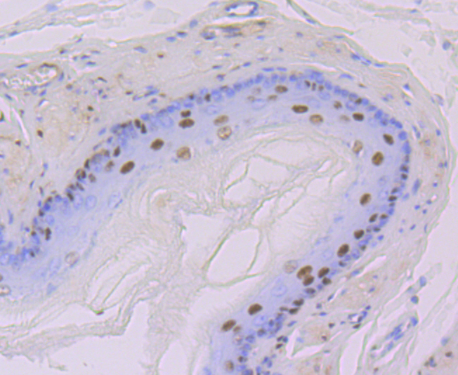
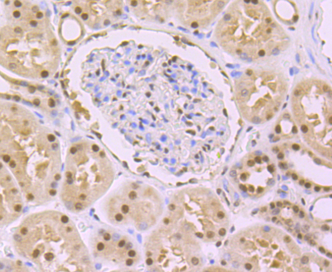
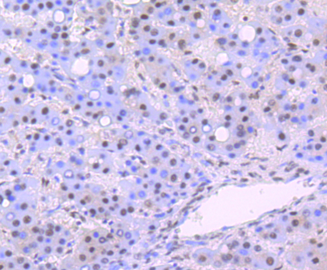
  • IHC-P
  • IF(IHC-P)
  • IF(ICC)

Reactivity

  • Human
  • Mouse
  • Rat
Overview
Catalog # bsm-54172R
Product Name DDB1 Recombinant Antibody
Applications WB, IHC-P, IF(IHC-P), IF(ICC)
Reactivity Human, Mouse, Rat
Specifications
Conjugation Unconjugated
Host Rabbit
Source Recombinant protein within human DDB1 aa 1000-1140
Clonality Monoclonal
Clone # #REF!
Isotype IgG
Concentration 1ug/ul
Purification Purified by Protein A.
Storage Buffer 0.01M TBS(pH7.4) with 1% BSA, 0.02% Proclin300 and 50% Glycerol.
Storage Condition Store at 4C for up to 2 weeks. For long term storage, store at -20C in small aliquots to prevent freeze-thaw cycles.
Target
Gene ID 1642
Swiss Prot Q16531
Synonyms DNA damage-binding protein 1; DDB p127 subunit; DNA damage-binding protein a; Damage-specific DNA-binding protein 1; HBV X-associated protein 1; UV-damaged DNA-binding factor; UV-damaged DNA-binding protein 1; XPE-binding factor; Xeroderma pigmentosum group E-complementing protein; DDBa; XAP-1; UV-DDB 1; XPE-BF; XPCe; DDB1; XAP1.
Background Damaged DNA binding protein (DDB) is a heterodimer composed of two subunits, p127 and p48, which are designated DDB1 and DDB2, respectively. The DDB heterodimer is involved in repairing DNA damaged by ultraviolet light. Specifically, DDB, also designated UV-damaged DNA binding protein (UV-DDB), xeroderma pigmentosum group E binding factor (XPE-BF) and hepatitis B virus X-associated protein 1 (XAP-1), binds to damaged cyclobutane pyrimidine dimers (CPDs). Mutations in the DDB2 gene are implicated as causes of xeroderma pigmentosum group E, an autosomal recessive disease in which patients are defective in nucleotide excision DNA repair. XPE is characterized by hypersensitivity of the skin to sunlight with a high frequency of skin cancer as well as neurologic abnormalities. The hepatitis B virus (HBV) X protein interacts with DDB1, which may mediate HBx transactivation.
Application Dilution
WB 1:300-5000
IHC-P 1:200-400
IF(IHC-P) 1:50-200
IF(ICC) 1:50-200