Receive 30% off all Monoclonal IHC antibodies with code "MONO-IHC-30"! Offer valid for US customers and available internationally through distributors.

WASL (9C3) Monoclonal Antibody

Applications

  • WB
  • FCM
  • IHC-P
  • IF(IHC-P)
  • IF(ICC)

Reactivity

  • Human
  • Mouse
Overview
Catalog # bsm-54189R
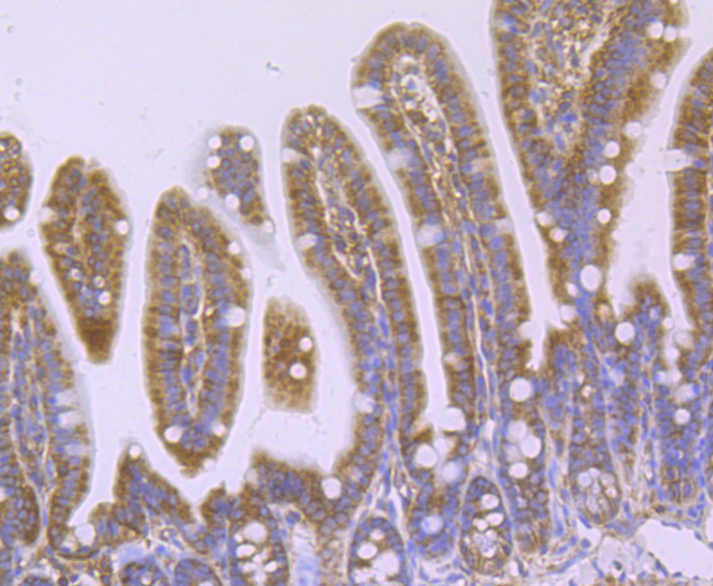
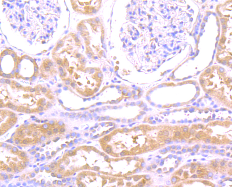
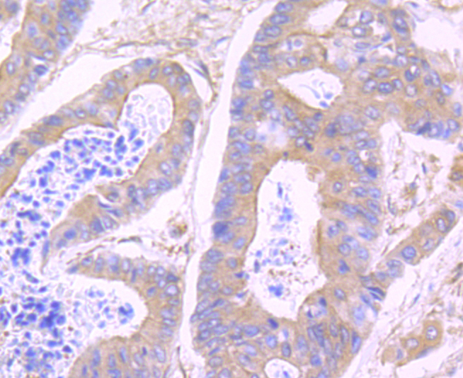
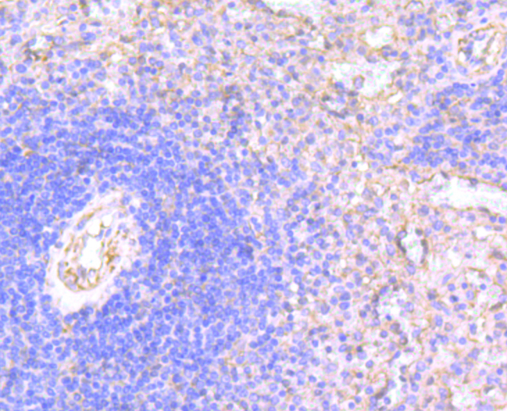
Product Name WASL (9C3) Monoclonal Antibody
Applications WB, FCM, IHC-P, IF(IHC-P), IF(ICC)
Reactivity Human, Mouse
Specifications
Conjugation Unconjugated
Host Rabbit
Source Recombinant protein within human WASL aa 300-450
Clonality Monoclonal
Clone # #REF!
Isotype IgG
Concentration 1ug/ul
Purification Purified by Protein A.
Storage Buffer 0.01M TBS(pH7.4) with 1% BSA, 0.02% Proclin300 and 50% Glycerol.
Storage Condition Store at 4C for up to 2 weeks. For long term storage, store at -20C in small aliquots to prevent freeze-thaw cycles.
Target
Gene ID 8976
Swiss Prot O00401
Synonyms Neural Wiskott-Aldrich syndrome protein; N-WASP; NWASP; WASPB; WASP like actin nucleation promoting factor
Background This gene encodes a member of the Wiskott-Aldrich syndrome (WAS) protein family. Wiskott-Aldrich syndrome proteins share similar domain structure, and associate with a variety of signaling molecules to alter the actin cytoskeleton. The encoded protein is highly expressed in neural tissues, and interacts with several proteins involved in cytoskeletal organization, including cell division control protein 42 (CDC42) and the actin-related protein-2/3 (ARP2/3) complex. The encoded protein may be involved in the formation of long actin microspikes, and in neurite extension. Regulates actin polymerization by stimulating the actin-nucleating activity of the Arp2/3 complex. Involved in mitosis and cytokinesis, via its role in the regulation of actin polymerization. Binds to HSF1/HSTF1 and forms a complex on heat shock promoter elements (HSE) that negatively regulates HSP90 expression..
Application Dilution
WB 1:300-5000
FCM 1:20-100
IHC-P 1:200-400
IF(IHC-P) 1:50-200
IF(ICC) 1:50-200