Receive 30% off all Monoclonal IHC antibodies with code "MONO-IHC-30"! Offer valid for US customers and available internationally through distributors.

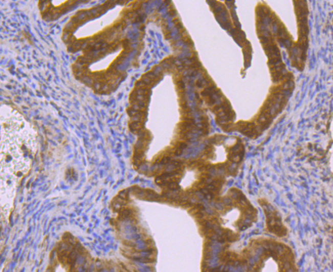
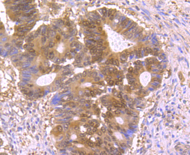
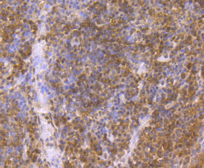
PTGES3 (1A26) Monoclonal Antibody

Applications

  • WB
  • IHC-P
  • IF(ICC)
  • IP
  • IHC

Reactivity

  • Human
  • Mouse
  • Rat
Overview
Catalog # bsm-54193R
Product Name PTGES3 (1A26) Monoclonal Antibody
Applications WB, IHC-P, IF(ICC), IP, IHC
Reactivity Human, Mouse, Rat
Specifications
Conjugation Unconjugated
Host Rabbit
Source Synthetic peptide within human p23 aa 50-100
Clonality Monoclonal
Clone # #REF!
Isotype IgG
Concentration 1ug/ul
Purification Purified by Protein A.
Storage Buffer 0.01M TBS(pH7.4) with 1% BSA, 0.02% Proclin300 and 50% Glycerol.
Storage Condition Store at 4C for up to 2 weeks. For long term storage, store at -20C in small aliquots to prevent freeze-thaw cycles.
Target
Gene ID 10728
Swiss Prot Q15185
Synonyms Prostaglandin E synthase 3; Cytosolic prostaglandin E2 synthase; Hsp90 co-chaperone; Progesterone receptor complex p23; Telomerase-binding protein p23; cPGES; P23; TEBP.
Background Cytosolic prostaglandin synthase that catalyzes the oxidoreduction of prostaglandin endoperoxide H2 (PGH2) to prostaglandin E2 (PGE2). Molecular chaperone that localizes to genomic response elements in a hormone-dependent manner and disrupts receptor-mediated transcriptional activation, by promoting disassembly of transcriptional regulatory complexes. Facilitates HIF alpha proteins hydroxylation via interaction with EGLN1/PHD2, leading to recruit EGLN1/PHD2 to the HSP90 pathway.
Application Dilution
WB 1:300-5000
IHC-P 1:200-400
IF(ICC) 1:50-200
IP 1-2ug
IHC