Receive 30% off all Monoclonal IHC antibodies with code "MONO-IHC-30"! Offer valid for US customers and available internationally through distributors.

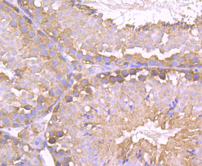
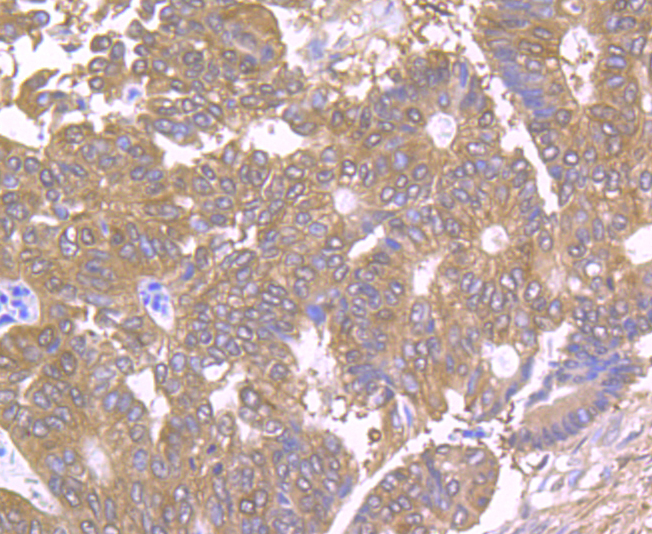
TPT1 (7C1) Monoclonal Antibody

Applications

  • WB
  • FCM
  • IHC-P
  • IF(IHC-P)
  • IF(ICC)

Reactivity

  • Human
  • Mouse
  • Rat
Overview
Catalog # bsm-54198R
Product Name TPT1 (7C1) Monoclonal Antibody
Applications WB, FCM, IHC-P, IF(IHC-P), IF(ICC)
Reactivity Human, Mouse, Rat
Specifications
Conjugation Unconjugated
Host Rabbit
Source Recombinant protein corresponding to human TCTP 1-150
Clonality Monoclonal
Clone # #REF!
Isotype IgG
Concentration 1ug/ul
Purification Purified by Protein A.
Storage Buffer 0.01M TBS(pH7.4) with 1% BSA, 0.02% Proclin300 and 50% Glycerol.
Storage Condition Store at 4C for up to 2 weeks. For long term storage, store at -20C in small aliquots to prevent freeze-thaw cycles.
Target
Gene ID 7178
Swiss Prot P13693
Subcellular location Cytoplasm
Synonyms tumor protein translationally-controlled 1; Translationally-controlled tumor protein; Fortilin; Histamine-releasing factor; p23; TCTP; HRF; TPT1; p02.
Background TPT1 is a regulator of cellular growth and proliferation. Its mRNA is highly structured and contains an oligopyrimidine tract (5'-TOP) in its 5' untranslated region that functions to repress its translation under quiescent conditions. The protein is involved in a variety of cellular pathways, including apoptosis, protein synthesis and cell division. It binds to and stabilizes microtubules, and removal of this protein through phosphorylation is required for progression through mitotic and meiotic cell divisions. This gene is known to play a role in carcinogenesis, and is upregulated in some cancer cells. Alternative splicing results in multiple transcript variants encoding different isoforms.
Application Dilution
WB 1:300-5000
FCM 1:20-100
IHC-P 1:200-400
IF(IHC-P) 1:50-200
IF(ICC) 1:50-200