Receive 30% off all Monoclonal IHC antibodies with code "MONO-IHC-30"! Offer valid for US customers and available internationally through distributors.

SLC1A1 (4C3) Monoclonal Antibody

Applications

  • WB
  • IHC-P
  • IF(IHC-P)
  • IF(ICC)

Reactivity

  • Human
  • Mouse
  • Rat
Overview
Catalog # bsm-54205R
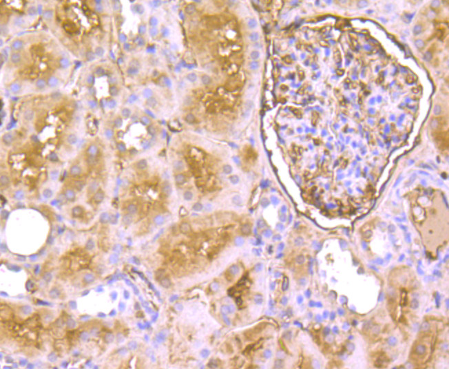
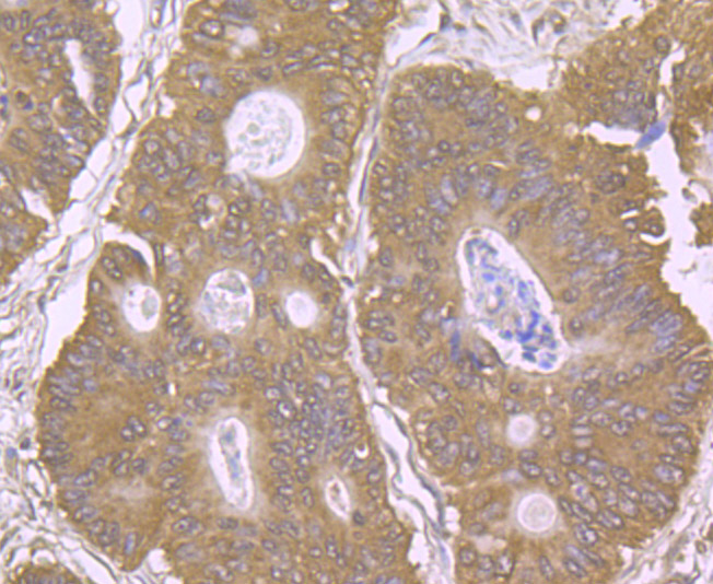
Product Name SLC1A1 (4C3) Monoclonal Antibody
Applications WB, IHC-P, IF(IHC-P), IF(ICC)
Reactivity Human, Mouse, Rat
Specifications
Conjugation Unconjugated
Host Rabbit
Source Recombinant protein within human EAAT3 aa 150-300
Clonality Monoclonal
Clone # #REF!
Isotype IgG
Concentration 1ug/ul
Purification Purified by Protein A.
Storage Buffer 0.01M TBS(pH7.4) with 1% BSA, 0.02% Proclin300 and 50% Glycerol.
Storage Condition Store at 4C for up to 2 weeks. For long term storage, store at -20C in small aliquots to prevent freeze-thaw cycles.
Target
Gene ID 6505
Swiss Prot P43005
Synonyms Excitatory amino acid transporter 3; Excitatory amino-acid carrier 1; Neuronal and epithelial glutamate transporter; Sodium-dependent glutamate/aspartate transporter 3; Solute carrier family 1 member 1; SLC1A1; EAAC1; EAAT3.
Background Sodium-dependent, high-affinity amino acid transporter that mediates the uptake of L-glutamate and also L-aspartate and D-aspartate. Can also transport L-cysteine. Functions as a symporter that transports one amino acid molecule together with two or three Na+ ions and one proton, in parallel with the counter-transport of one K+ ion. Mediates Cl- flux that is not coupled to amino acid transport; this avoids the accumulation of negative charges due to aspartate and Na+ symport. Plays an important role in L-glutamate and L-aspartate reabsorption in renal tubuli. Plays a redundant role in the rapid removal of released glutamate from the synaptic cleft, which is essential for terminating the postsynaptic action of glutamate. Negatively regulated by ARL6IP5.
Application Dilution
WB 1:300-5000
IHC-P 1:200-400
IF(IHC-P) 1:50-200
IF(ICC) 1:50-200