RECEIVE 25% OFF PUBLISHED ANTIBODIES WITH CODE "PUB25"! Offer valid for US customers and available internationally through distributors.

RPS19 Recombinant Antibody

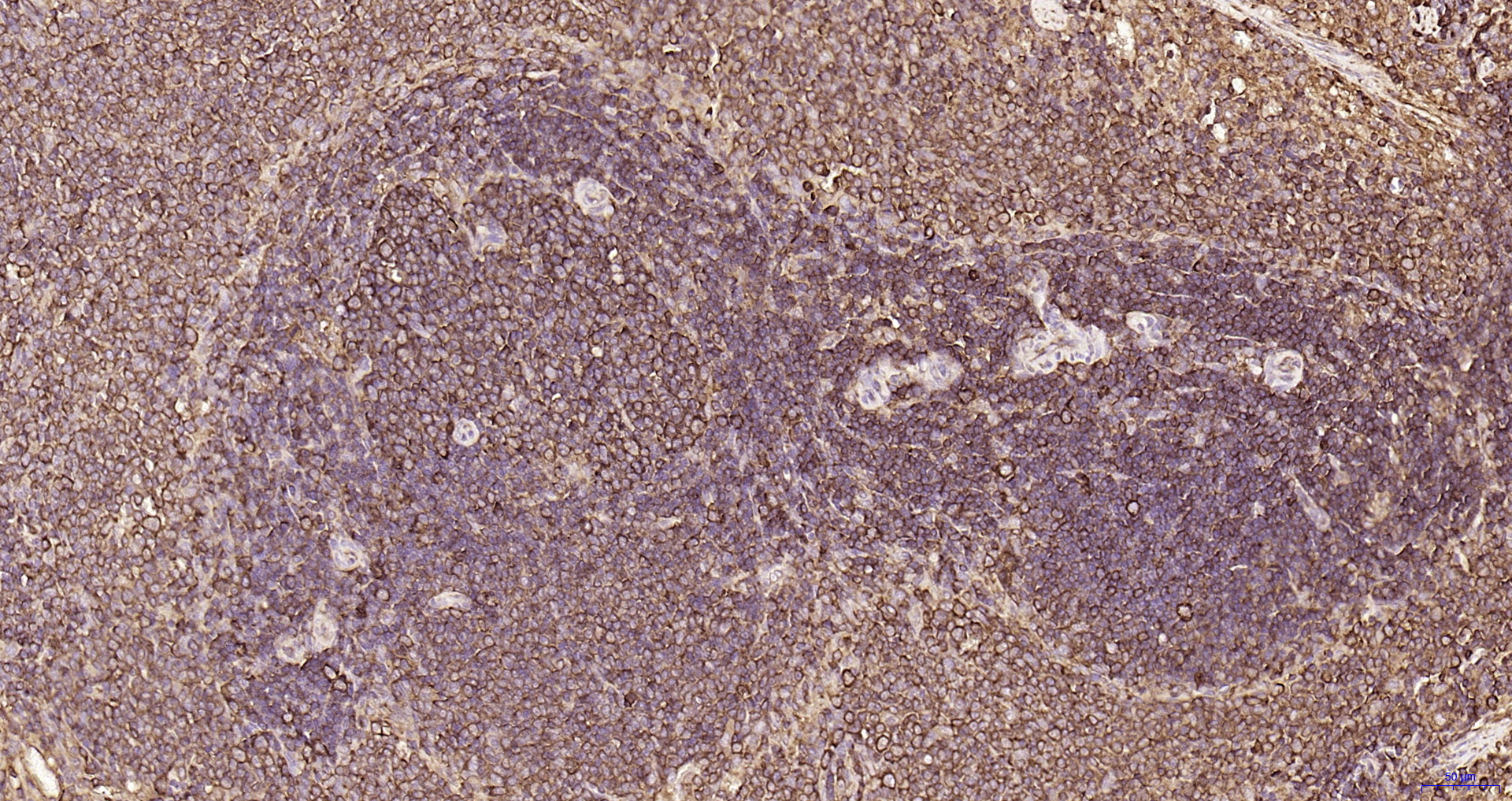
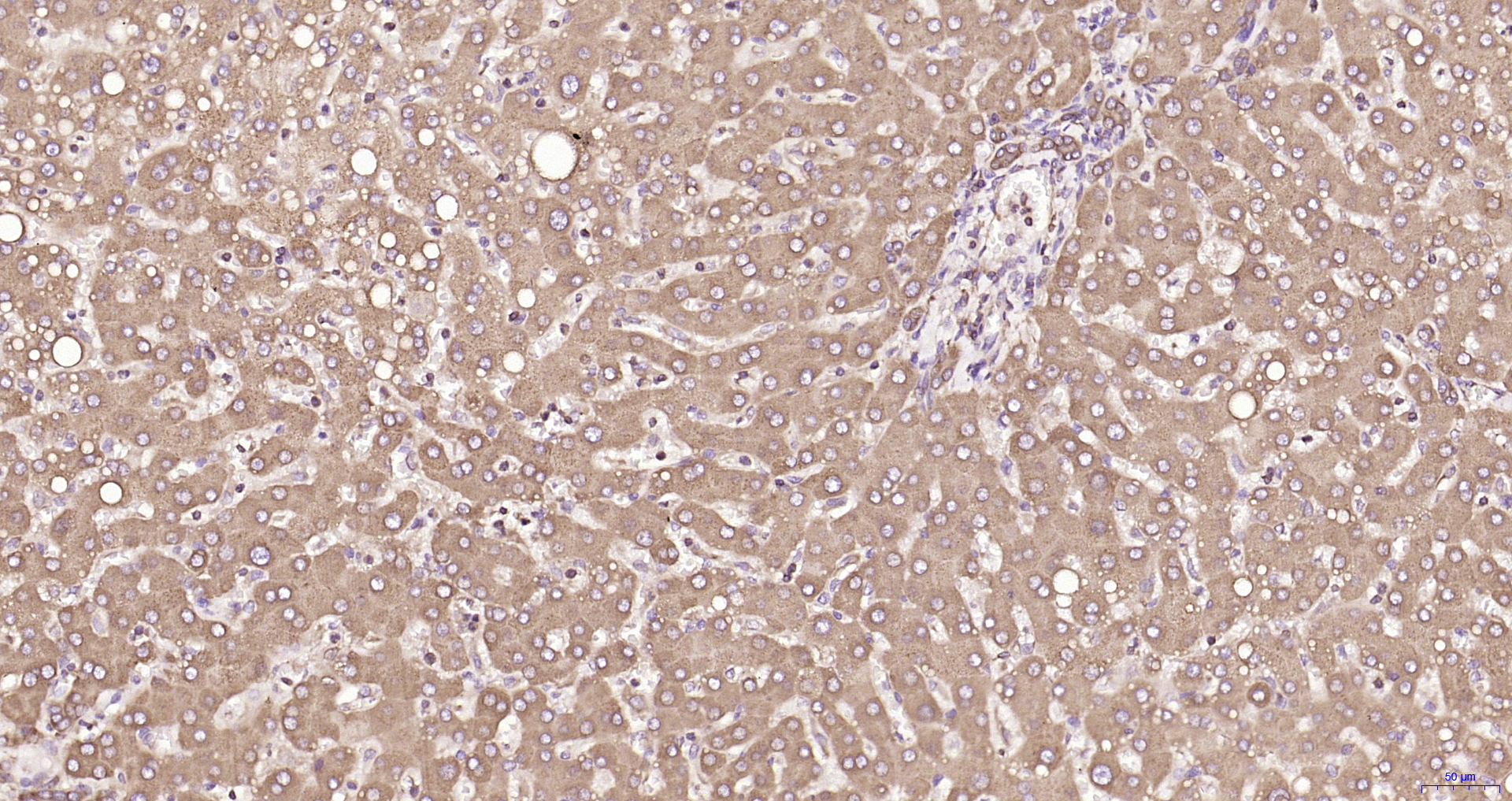
Applications

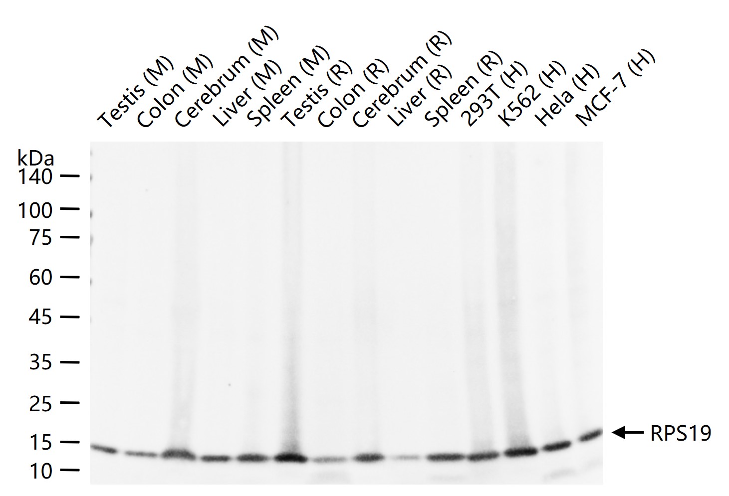
  • WB
  • IHC-P
  • IHC-F
  • IF(IHC-P)
  • IP

Reactivity

  • Human
  • Mouse
  • Rat
Overview
Catalog # bsm-54242r-100ul
Product Name RPS19 Recombinant Antibody
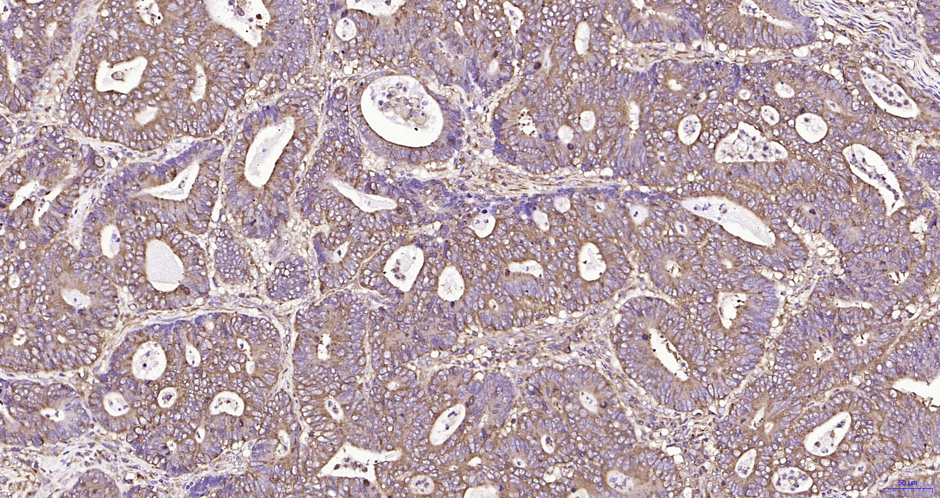
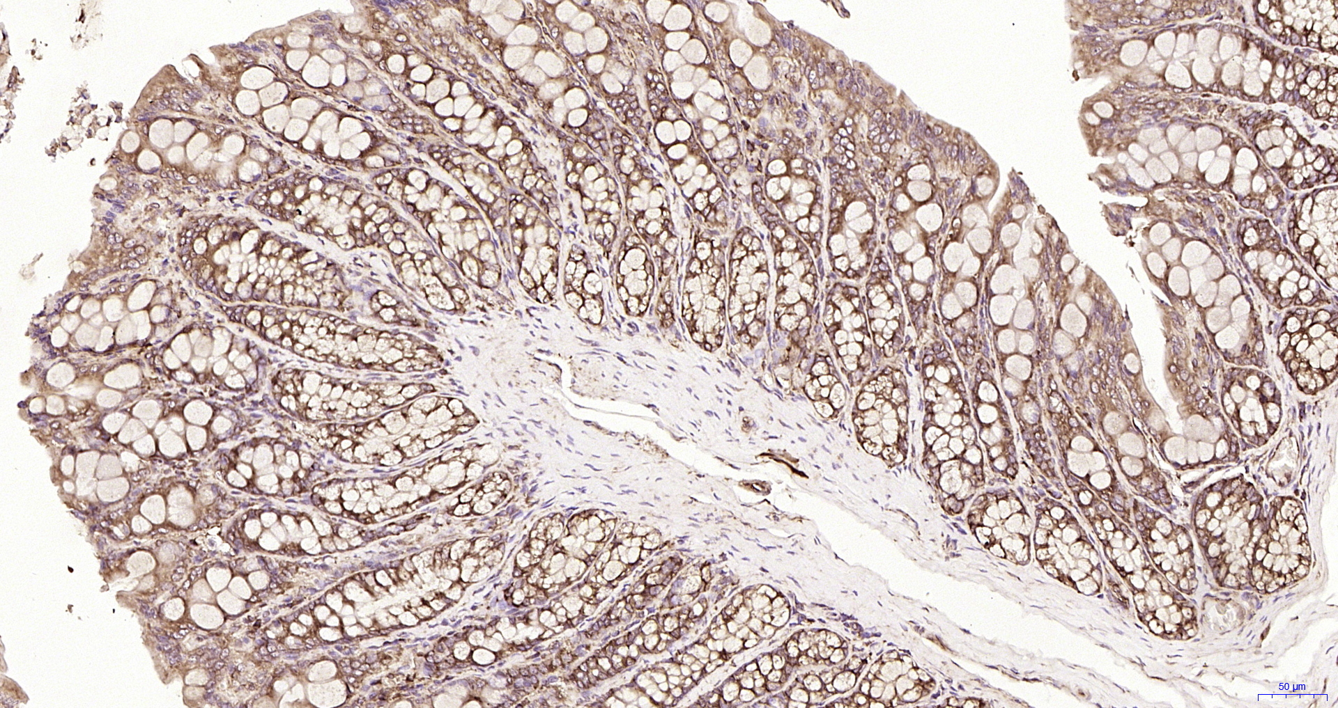
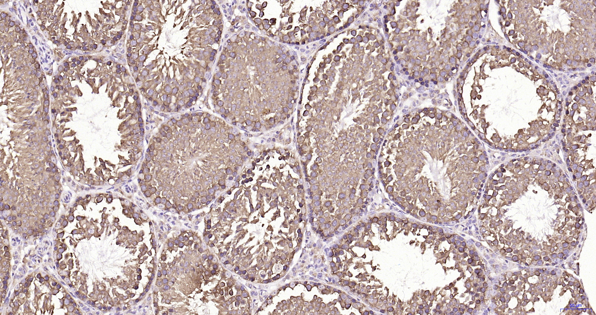
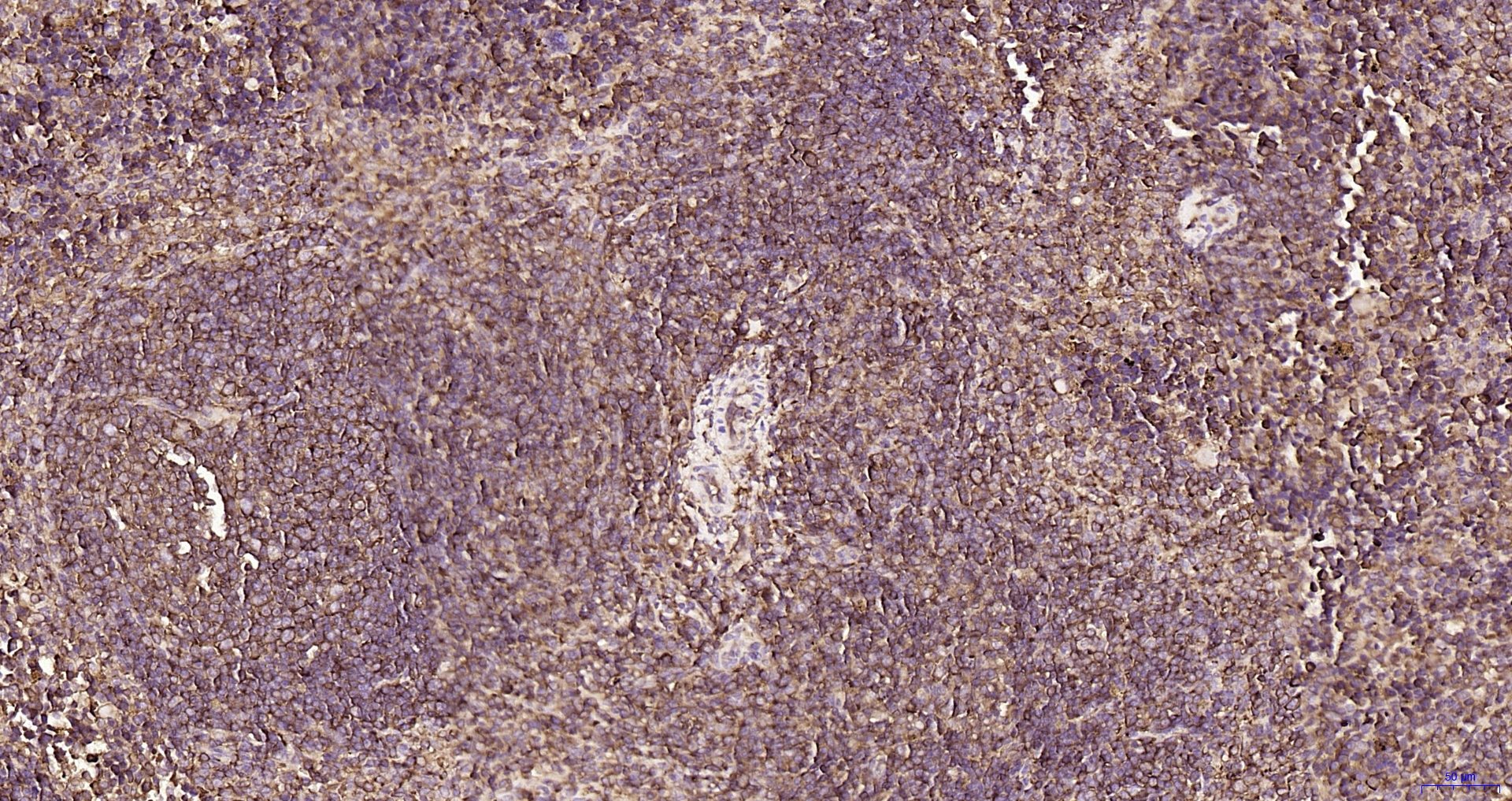
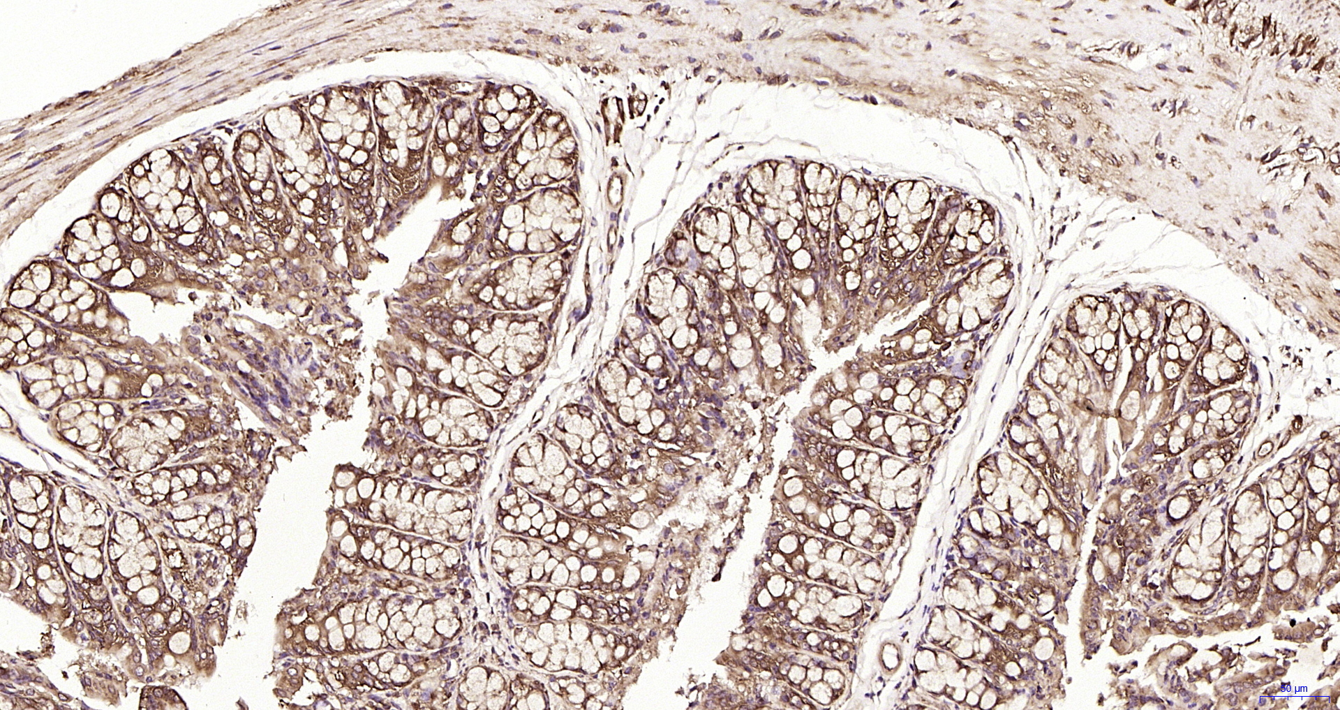
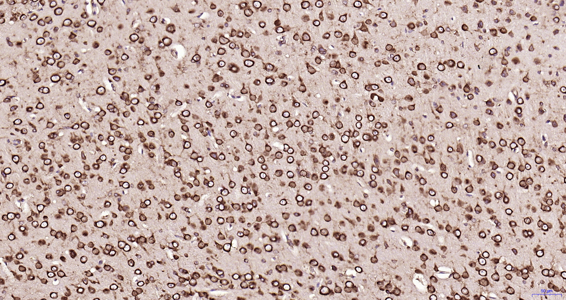
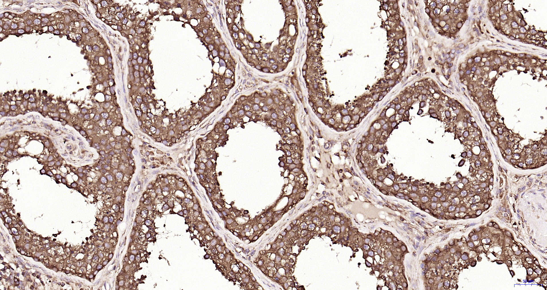
Applications WB, IHC-P, IHC-F, IF(IHC-P), IP
Reactivity Human, Mouse, Rat
Specifications
Conjugation Unconjugated
Host Rabbit
Source Full length recombinant protein of RPS19
Clonality Recombinant
Isotype IgG
Concentration Lot dependent
Purification Purified by Protein A.
Storage Buffer 0.01M TBS (pH 7.4), 1% BSA, 0.02% Proclin 300, and 50% Glycerol
Storage Condition Store at 4°C for up to 2 weeks. For long term storage, store at -20°C in small aliquots to prevent freeze-thaw cycles.
Target
Gene ID 6223
Swiss Prot P39019
Subcellular location Cytoplasm, Nucleus
Synonyms 40S ribosomal protein S19; Small ribosomal subunit protein eS19; RPS19.
Background Ribosomes, the organelles that catalyze protein synthesis, consist of a small 40S subunit and a large 60S subunit. Together these subunits are composed of 4 RNA species and approximately 80 structurally distinct proteins. RPS19 is a ribosomal protein that is a component of the 40S subunit. RPS19 belongs to the S19E family of ribosomal proteins. It is located in the cytoplasm. Mutations in this gene cause Diamond-Blackfan anemia (DBA), a constitutional erythroblastopenia characterized by absent or decreased erythroid precursors, in a subset of patients. This suggests a possible extra-ribosomal function for this gene in erythropoietic differentiation and proliferation, in addition to its ribosomal function. Higher expression levels of this gene in some primary colon carcinomas compared to matched normal colon tissues has been observed. As is typical for genes encoding ribosomal proteins, there are multiple processed pseudogenes of this gene dispersed through the genome.
Application Dilution
WB 1:500-1000
IHC-P IHC-P1:100-500
IHC-F IHC-F1:100-500
IF(IHC-P) IFIHC-P1:100-500
IP IP1:20-50