Receive 30% off all Monoclonal IHC antibodies with code "MONO-IHC-30"! Offer valid for US customers and available internationally through distributors.

PFKM Recombinant Antibody

Applications

  • WB
  • FCM
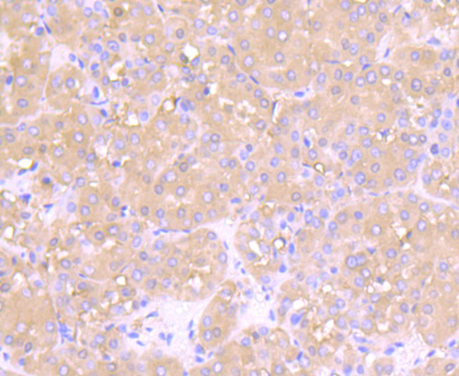
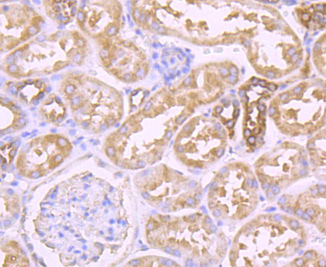
  • IHC-P
  • IF(IHC-P)
  • IF(ICC)

Reactivity

  • Human
  • Mouse
  • Rat
Overview
Catalog # bsm-54245R
Product Name PFKM Recombinant Antibody
Applications WB, FCM, IHC-P, IF(IHC-P), IF(ICC)
Reactivity Human, Mouse, Rat
Specifications
Conjugation Unconjugated
Host Rabbit
Source Recombinant protein within human Fructose 6 Phosphate Kinase 1-200
Clonality Monoclonal
Clone # #REF!
Isotype IgG
Concentration 1ug/ul
Purification Purified by Protein A.
Storage Buffer 0.01M TBS(pH7.4) with 1% BSA, 0.02% Proclin300 and 50% Glycerol.
Storage Condition Store at 4C for up to 2 weeks. For long term storage, store at -20C in small aliquots to prevent freeze-thaw cycles.
Target
Gene ID 5213
Swiss Prot P08237
Subcellular location Cytoplasm
Synonyms ATP-dependent 6-phosphofructokinase muscle type; 6-phosphofructokinase type A; Phosphofructo-1-kinase isozyme A; Phosphohexokinase; ATP-PFK; PFK-M; PFK-A; PFKM; PFKX.
Background Catalyzes the phosphorylation of D-fructose 6-phosphate to fructose 1,6-bisphosphate by ATP, the first committing step of glycolysis. In human PFK exists as a system of 3 types of subunits, PFKM (muscle), PFKL (liver) and PFKP (platelet) isoenzymes.
Application Dilution
WB 1:300-5000
FCM 1:20-100
IHC-P 1:200-400
IF(IHC-P) 1:50-200
IF(ICC) 1:50-200