Receive 30% off all Monoclonal IHC antibodies with code "MONO-IHC-30"! Offer valid for US customers and available internationally through distributors.

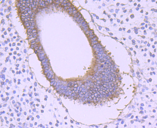
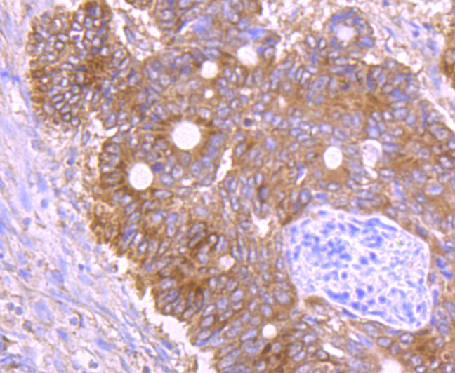
GORASP1 (3G1) Monoclonal Antibody

Applications

  • WB
  • FCM
  • IHC-P
  • IF(IHC-P)
  • IF(ICC)

Reactivity

  • Human
Overview
Catalog # bsm-54260R
Product Name GORASP1 (3G1) Monoclonal Antibody
Applications WB, FCM, IHC-P, IF(IHC-P), IF(ICC)
Reactivity Human
Specifications
Conjugation Unconjugated
Host Rabbit
Source Recombinant protein within human GRASP65 aa 300-440
Clonality Monoclonal
Clone # #REF!
Isotype IgG
Concentration 1ug/ul
Purification Purified by Protein A.
Storage Buffer 0.01M TBS(pH7.4) with 1% BSA, 0.02% Proclin300 and 50% Glycerol.
Storage Condition Store at 4C for up to 2 weeks. For long term storage, store at -20C in small aliquots to prevent freeze-thaw cycles.
Target
Gene ID 64689
Swiss Prot Q9BQQ3
Subcellular location Golgi apparatus
Synonyms Golgi reassembly stacking protein 1; Golgi peripheral membrane protein p65; Golgi phosphoprotein 5; Golgi reassembly-stacking protein of 65 kDa; GOLPH5; GRASP65; GORASP1; GRASP65.
Background Plays an important role in assembly and membrane stacking of the Golgi cisternae, and in the reassembly of Golgi stacks after breakdown during mitosis. Key structural protein required for the maintenance of the Golgi apparatus integrity: its caspase-mediated cleavage is required for fragmentation of the Golgi during apoptosis. Also mediates, via its interaction with GOLGA2/GM130, the docking of transport vesicles with the Golgi membranes. Mediates ER stress-induced unconventional (ER/Golgi-independent) trafficking of core-glycosylated CFTR to cell membrane
Application Dilution
WB 1:300-5000
FCM 1:20-100
IHC-P 1:200-400
IF(IHC-P) 1:50-200
IF(ICC) 1:50-200