RECEIVE 25% OFF PUBLISHED ANTIBODIES WITH CODE "PUB25"! Offer valid for US customers and available internationally through distributors.

CMA1 Recombinant Antibody

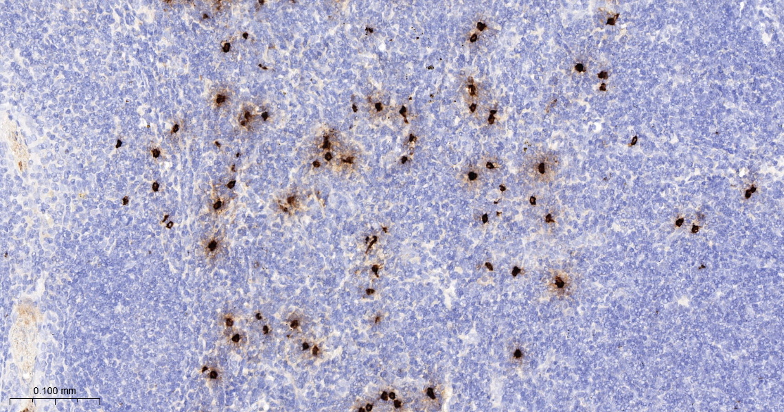
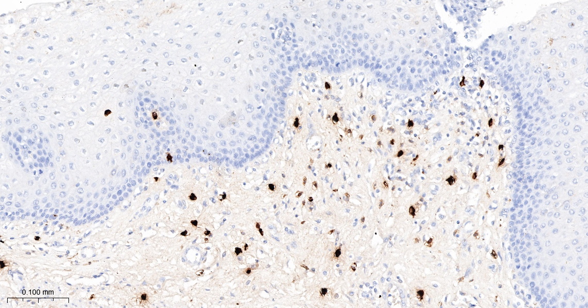
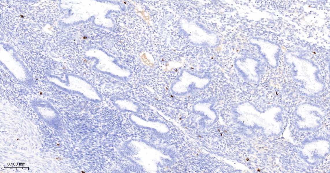
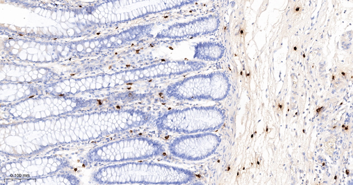
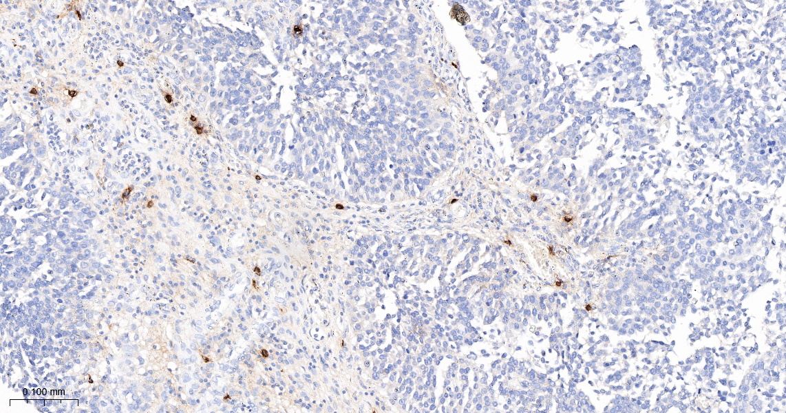
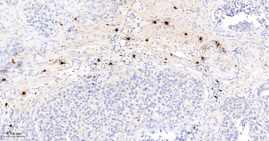
Applications

  • WB
  • IHC-P
  • IHC-F
  • IF(IHC-P)

Reactivity

  • Human
Overview
Catalog # bsm-54265r-100ul
Product Name CMA1 Recombinant Antibody
Applications WB, IHC-P, IHC-F, IF(IHC-P)
Reactivity Human
Specifications
Conjugation Unconjugated
Host Rabbit
Source Recombinant protein within human Mast Cell Chymase aa 50-200
Clonality Recombinant
Isotype IgG
Concentration Lot Dependent
Purification Purified by Protein A.
Storage Buffer 0.01M TBS (pH 7.4), 1% BSA, 0.02% Proclin 300, and 50% Glycerol
Storage Condition Store at 4°C for up to 2 weeks. For long term storage, store at -20°C in small aliquots to prevent freeze-thaw cycles.
Target
Gene ID 1215
Swiss Prot P23946
Subcellular location Secreted
Synonyms Chymase 1; Alpha-chymase; Mast cell protease I; CMA1; CYH; CYM.
Background Mast cells are connective tissue cells derived from blood-forming tissues that line arterial walls and secrete substances, which mediate inflammatory and immune responses. Mast Cell Chymase, also known as CMA1 or MCT1, is a major secreted serine protease that is involved in vasoactive peptide generation, extracellular matrix degradation and regulation of gland secretion. The human chymase gene, which maps to human chromosome 14q11.2, encodes a preproenzyme with a 19 amino acid signal peptide, an acidic 2 amino acid propeptide and a 226 amino acid catalytic domain. Mast Cell Chymase is a chymotryptic serine proteinase which is a member of the peptidase family S1. Expressed in mast cells, Mast Cell Chymase is associated with the degradation of the extracellular matrix, the regulation of submucosal gland secretion, and the generation of vasoactive peptides. Mast cell proteases are a family of rodent protein homologs to human tryptases that are specifically expressed in mast cells and may serve as highly specific markers in the analysis of mast cell heterogeneity, differentiation and function.
Application Dilution
WB 1:500-2000
IHC-P IHC-P1:100-500
IHC-F IHC-F1:100-500
IF(IHC-P) IFIHC-P1:100-500