Receive 30% off all Monoclonal IHC antibodies with code "MONO-IHC-30"! Offer valid for US customers and available internationally through distributors.

VPS26A (24D1) Monoclonal Antibody

Applications

  • WB
  • IHC-P
  • IF(ICC)
  • IP
  • IHC

Reactivity

  • Human
  • Mouse
  • Rat
Overview
Catalog # bsm-54267R
Product Name VPS26A (24D1) Monoclonal Antibody
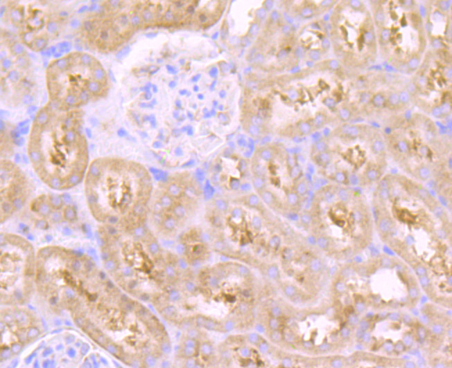
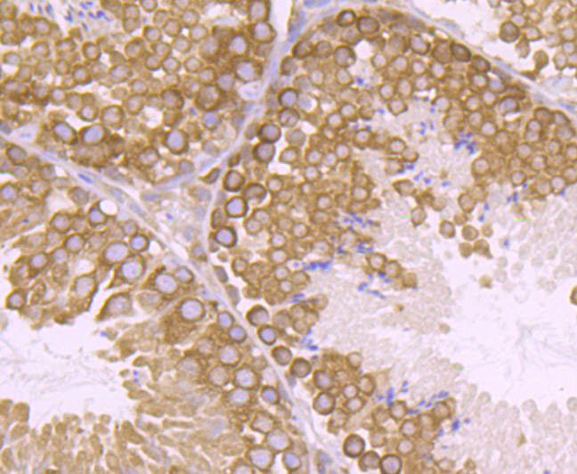
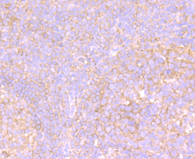
Applications WB, IHC-P, IF(ICC), IP, IHC
Reactivity Human, Mouse, Rat
Specifications
Conjugation Unconjugated
Host Rabbit
Source Recombinant protein within human VPS26 aa 250 to the C-terminus
Clonality Monoclonal
Clone # #REF!
Isotype IgG
Concentration 1ug/ul
Purification Purified by Protein A.
Storage Buffer 0.01M TBS(pH7.4) with 1% BSA, 0.02% Proclin300 and 50% Glycerol.
Storage Condition Store at 4C for up to 2 weeks. For long term storage, store at -20C in small aliquots to prevent freeze-thaw cycles.
Target
Gene ID 9559
Swiss Prot O75436
Subcellular location Cytoplasm, Endosome
Synonyms Vacuolar protein sorting-associated protein 26A; Vesicle protein sorting 26A; hVPS26; VPS26A; VPS26.
Background Acts as component of the retromer cargo-selective complex (CSC). The CSC is believed to be the core functional component of retromer or respective retromer complex variants acting to prevent missorting of selected transmembrane cargo proteins into the lysosomal degradation pathway. The recruitment of the CSC to the endosomal membrane involves RAB7A and SNX3. The SNX-BAR retromer mediates retrograde transport of cargo proteins from endosomes to the trans-Golgi network (TGN) and is involved in endosome-to-plasma membrane transport for cargo protein recycling. The SNX3-retromer mediates the retrograde endosome-to-TGN transport of WLS distinct from the SNX-BAR retromer pathway. Required for retrograde transport of lysosomal enzyme receptor IGF2R. Required to regulate transcytosis of the polymeric immunoglobulin receptor (pIgR-pIgA). Required for the endosomal localization of WASHC2A (indicative for the WASH complex). Required for the endosomal localization of TBC1D5. Mediates retromer cargo recognition of SORL1 and is involved in trafficking of SORL1 implicated in sorting and processing of APP. Involved in retromer-independent lysosomal sorting of F2R. Involved in recycling of ADRB2. Enhances the affinity of SNX27 for PDZ-binding motifs in cargo proteins.
Application Dilution
WB 1:300-5000
IHC-P 1:200-400
IF(ICC) 1:50-200
IP 1-2ug
IHC