Receive 30% off all Monoclonal IHC antibodies with code "MONO-IHC-30"! Offer valid for US customers and available internationally through distributors.

PSMB9 (1G9) Monoclonal Antibody

Applications

  • WB
  • FCM
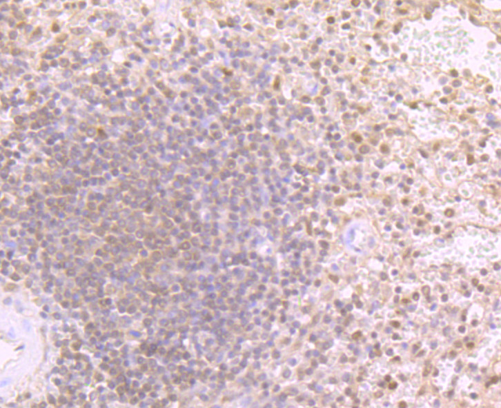
  • IHC-P

Reactivity

  • Human
  • Mouse
Overview
Catalog # bsm-54270R
Product Name PSMB9 (1G9) Monoclonal Antibody
Applications WB, FCM, IHC-P
Reactivity Human, Mouse
Specifications
Conjugation Unconjugated
Host Rabbit
Source Synthetic peptide within human PSMB9 aa 180 to the C-terminus
Clonality Monoclonal
Clone # #REF!
Isotype IgG
Concentration 1ug/ul
Purification Purified by Protein A.
Storage Buffer 0.01M TBS(pH7.4) with 1% BSA, 0.02% Proclin300 and 50% Glycerol.
Storage Condition Store at 4C for up to 2 weeks. For long term storage, store at -20C in small aliquots to prevent freeze-thaw cycles.
Target
Gene ID 5698
Swiss Prot P28065
Subcellular location Cytoplasm, Nucleus
Synonyms Proteasome subunit beta type-9; Low molecular mass protein 2; Macropain chain 7; Multicatalytic endopeptidase complex chain 7; Proteasome chain 7; Proteasome subunit beta-1i; Really interesting new gene 12 protein; PSMB9; LMP2; PSMB6i; RING12; Proteasome 20S LMP2
Background The proteasome is a multicatalytic proteinase complex which is characterized by its ability to cleave peptides with Arg, Phe, Tyr, Leu, and Glu adjacent to the leaving group at neutral or slightly basic pH. The proteasome has an ATP-dependent proteolytic activity. This subunit is involved in antigen processing to generate class I binding peptides. Replacement of PSMB6 by PSMB9 increases the capacity of the immunoproteasome to cleave model peptides after hydrophobic and basic residues.
Application Dilution
WB 1:300-5000
FCM 1:20-100
IHC-P 1:200-400