Receive 30% off all Monoclonal IHC antibodies with code "MONO-IHC-30"! Offer valid for US customers and available internationally through distributors.

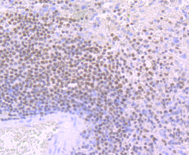
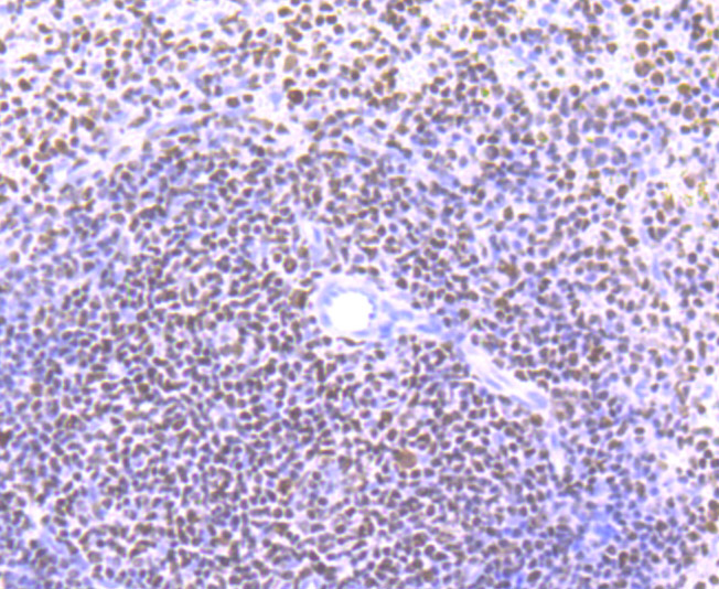
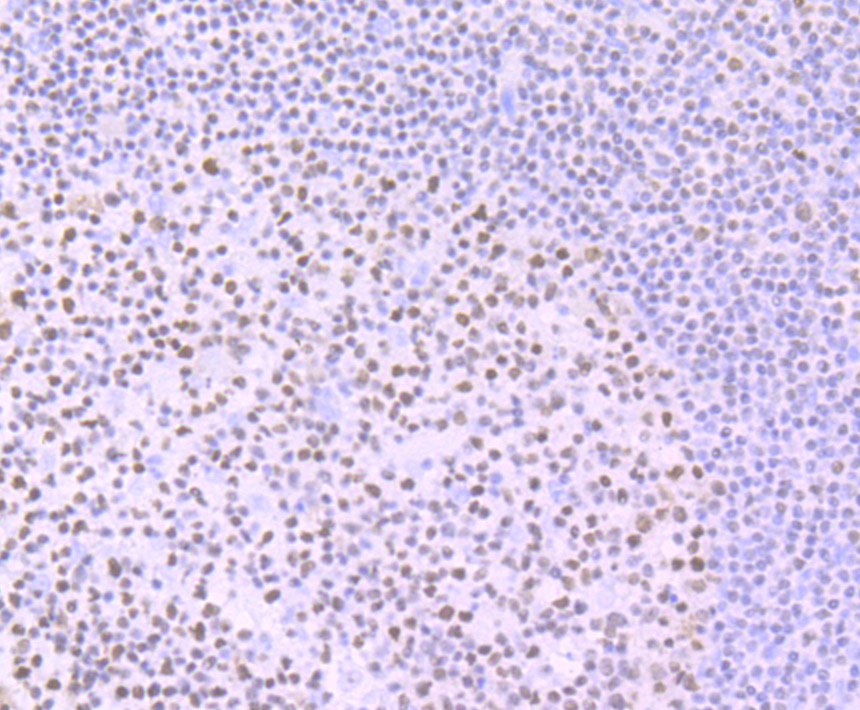
IKZF1 (5D4) Monoclonal Antibody

Applications

  • WB
  • FCM
  • IHC-P

Reactivity

  • Human
  • Mouse
Overview
Catalog # bsm-54271R
Product Name IKZF1 (5D4) Monoclonal Antibody
Applications WB, FCM, IHC-P
Reactivity Human, Mouse
Specifications
Conjugation Unconjugated
Host Rabbit
Source Recombinant protein within human Ikaros aa 250-450
Clonality Monoclonal
Clone # #REF!
Isotype IgG
Concentration 1ug/ul
Purification Purified by Protein A.
Storage Buffer 0.01M TBS(pH7.4) with 1% BSA, 0.02% Proclin300 and 50% Glycerol.
Storage Condition Store at 4C for up to 2 weeks. For long term storage, store at -20C in small aliquots to prevent freeze-thaw cycles.
Target
Gene ID 10320
Swiss Prot Q13422
Subcellular location Nucleus
Synonyms DNA-binding protein Ikaros; Ikaros family zinc finger protein 1; Lymphoid transcription factor LyF-1; IKZF1; IK1; IKAROS; LYF1; ZNFN1A1
Background Transcription regulator of hematopoietic cell differentiation. Binds gamma-satellite DNA. Plays a role in the development of lymphocytes, B- and T-cells. Binds and activates the enhancer (delta-A element) of the CD3-delta gene. Repressor of the TDT (terminal deoxynucleotidyltransferase) gene during thymocyte differentiation. Regulates transcription through association with both HDAC-dependent and HDAC-independent complexes. Targets the 2 chromatin-remodeling complexes, NuRD and BAF (SWI/SNF), in a single complex (PYR complex), to the beta-globin locus in adult erythrocytes. Increases normal apoptosis in adult erythroid cells. Confers early temporal competence to retinal progenitor cells (RPCs). Function is isoform-specific and is modulated by dominant-negative inactive isoforms
Application Dilution
WB 1:300-5000
FCM 1:20-100
IHC-P 1:200-400