Receive 30% off all Monoclonal IHC antibodies with code "MONO-IHC-30"! Offer valid for US customers and available internationally through distributors.

NPHS2 Recombinant Antibody

Applications

  • WB
  • IHC-P
  • IHC-F
  • IF

Reactivity

  • Human
  • Mouse
  • Rat
Overview
Catalog # bsm-54280r
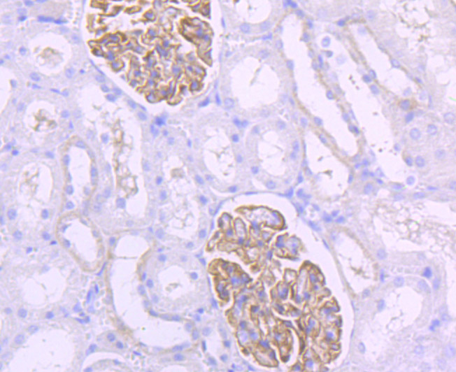
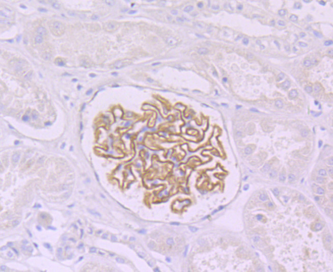
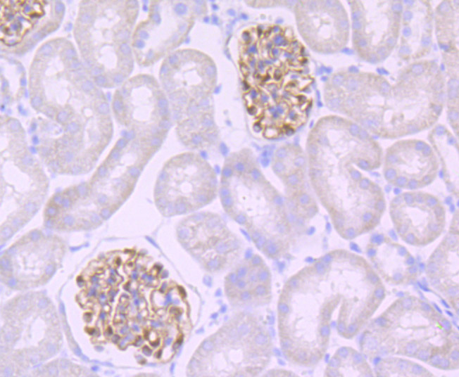
Product Name NPHS2 Recombinant Antibody
Applications WB, IHC-P, IHC-F, IF
Reactivity Human, Mouse, Rat
Specifications
Conjugation Unconjugated
Host Rabbit
Source Recombinant protein within C-terminal human NPHS2
Clonality Recombinant
Isotype IgG
Concentration 1ug/ul
Purification Purified by Protein A.
Storage Buffer 0.01M TBS (pH 7.4), 1% BSA, 0.02% Proclin 300, and 50% Glycerol
Storage Condition Shipped at 4C. Store at -20C for one year. Avoid repeated freeze/thaw cycles.
Target
Gene ID 7827
Swiss Prot Q9NP85
Subcellular location Cell membrane, Cytoplasmic domain, Endoplasmic reticulum
Synonyms Podocin; NPHS2; PDCN; SRN1
Background Plays a role in the regulation of glomerular permeability, acting probably as a linker between the plasma membrane and the cytoskeleton.
Application Dilution
WB 1:300-5000
IHC-P 1:200-400
IHC-F 1:100-500
IF