Receive 30% off all Monoclonal IHC antibodies with code "MONO-IHC-30"! Offer valid for US customers and available internationally through distributors.

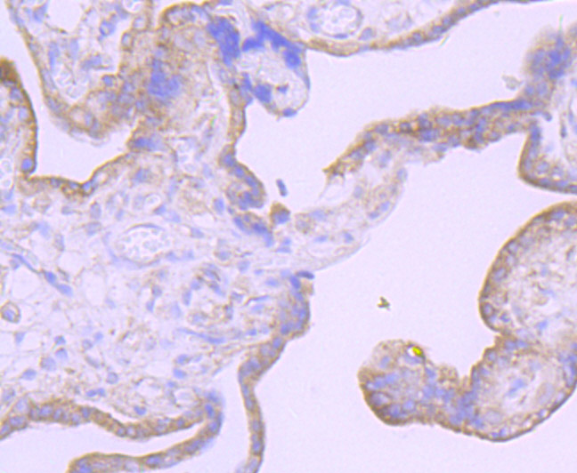
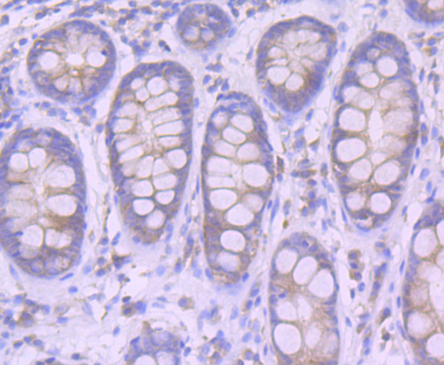
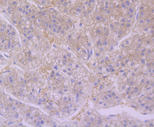
Furin Recombinant Antibody

Applications

  • WB
  • IHC-P
  • IHC-F
  • IF

Reactivity

  • Human
  • Mouse
  • Rat
Overview
Catalog # bsm-54283r
Product Name Furin Recombinant Antibody
Applications WB, IHC-P, IHC-F, IF
Reactivity Human, Mouse, Rat
Specifications
Conjugation Unconjugated
Host Rabbit
Source Recombinant protein within human Furin aa 200-400.
Clonality Recombinant
Isotype IgG
Concentration 1ug/ul
Purification Purified by Protein A.
Storage Buffer 0.01M TBS (pH 7.4), 1% BSA, 0.02% Proclin 300, and 50% Glycerol
Storage Condition Shipped at 4C. Store at -20C for one year. Avoid repeated freeze/thaw cycles.
Target
Gene ID 5045
Swiss Prot P09958
Subcellular location Secreted, Cell membrane, Golgi apparatus, Endosome
Synonyms Dibasic-processing enzyme; Paired basic amino acid residue-cleaving enzyme; PACE; FURIN; FUR; PACE; PCSK3
Background Furin is likely to represent the ubiquitous endoprotease activity within constitutive secretory pathways and capable of cleavage at the RX(K/R)R consensus motif. Mediates processing of TGFB1, an essential step in TGF-beta-1 activation. Probably cleaves and activates anthrax and diphtheria toxins. Required for H7N1 and H5N1 influenza virus infection probably by cleaving hemagglutinin.
Application Dilution
WB 1:500-1:1000
IHC-P IHC-P1:50-1:100
IHC-F 1:100-500
IF