Receive 30% off all Monoclonal IHC antibodies with code "MONO-IHC-30"! Offer valid for US customers and available internationally through distributors.

TGF alpha Recombinant Antibody

Applications

  • WB
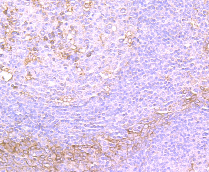
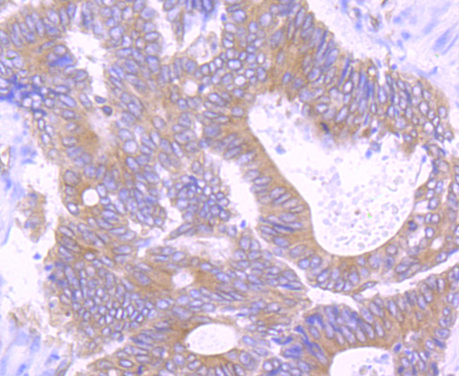
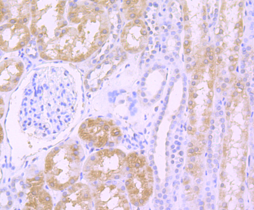
  • IHC-P
  • IHC-F
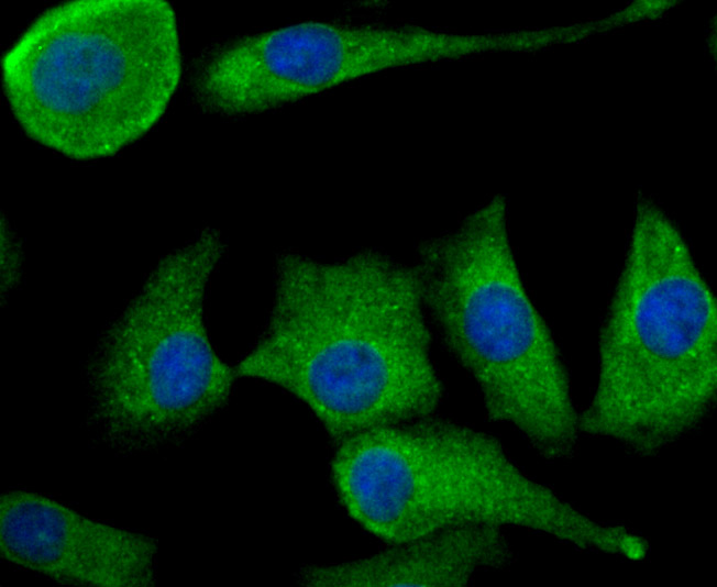
  • IF
  • ICC/IF

Reactivity

  • Human
Overview
Catalog # bsm-54286R
Product Name TGF alpha Recombinant Antibody
Applications WB, IHC-P, IHC-F, IF, ICC/IF
Reactivity Human
Specifications
Conjugation Unconjugated
Host Rabbit
Source Recombinant full length protein of human TGF alpha
Clonality Monoclonal
Clone # #REF!
Isotype IgG
Concentration 1ug/ul
Purification Purified by Protein A.
Storage Buffer 0.01M TBS(pH7.4) with 1% BSA, 0.02% Proclin300 and 50% Glycerol.
Storage Condition Shipped at 4_. Store at -20_ for one year. Avoid repeated freeze/thaw cycles.
Target
Gene ID 7039
Swiss Prot P01135
Subcellular location Extracellular, Secreted, Cell membrane
Synonyms Protransforming growth factor alpha; Transforming growth factor alpha; EGF-like TGF; TGF type 1; TGF-alpha; ETGF; TGFA
Background TGF alpha is a mitogenic polypeptide that is able to bind to the EGF receptor/EGFR and to act synergistically with TGF beta to promote anchorage-independent cell proliferation in soft agar.
Application Dilution
WB 1:300-5000
IHC-P 1:200-400
IHC-F IFIHC-P1:50-200
IF ICC1:50-200
ICC/IF