Receive 30% off all Monoclonal IHC antibodies with code "MONO-IHC-30"! Offer valid for US customers and available internationally through distributors.

NCOA1 (2G9) Monoclonal Antibody

Applications

  • WB
  • IHC-P

Reactivity

  • Human
Overview
Catalog # bsm-54289R
Product Name NCOA1 (2G9) Monoclonal Antibody
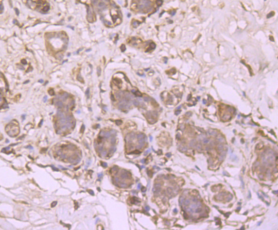
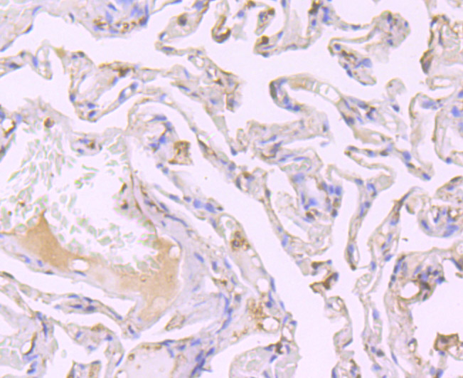
Applications WB, IHC-P
Reactivity Human
Specifications
Conjugation Unconjugated
Host Rabbit
Source Recombinant protein within human KAT13A/ SRC1 aa 450-700
Clonality Monoclonal
Clone # #REF!
Isotype IgG
Concentration 1ug/ul
Purification Purified by Protein A.
Storage Buffer 0.01M TBS(pH7.4) with 1% BSA, 0.02% Proclin300 and 50% Glycerol.
Storage Condition Store at 4C for up to 2 weeks. For long term storage, store at -20C in small aliquots to prevent freeze-thaw cycles.
Target
Gene ID 8648
Swiss Prot Q15788
Subcellular location Nucleus
Synonyms Nuclear receptor coactivator 1; Class E basic helix-loop-helix protein 74; Protein Hin-2; RIP160; Renal carcinoma antigen NY-REN-52; Steroid receptor coactivator 1; NCoA-1; bHLHe74; SRC-1; NCOA1; BHLHE74; SRC1
Background Nuclear receptor coactivator that directly binds nuclear receptors and stimulates the transcriptional activities in a hormone-dependent fashion. Involved in the coactivation of different nuclear receptors, such as for steroids (PGR, GR and ER), retinoids (RXRs), thyroid hormone (TRs) and prostanoids (PPARs). Also involved in coactivation mediated by STAT3, STAT5A, STAT5B and STAT6 transcription factors. Displays histone acetyltransferase activity toward H3 and H4; the relevance of such activity remains however unclear. Plays a central role in creating multisubunit coactivator complexes that act via remodeling of chromatin, and possibly acts by participating in both chromatin remodeling and recruitment of general transcription factors. Required with NCOA2 to control energy balance between white and brown adipose tissues. Required for mediating steroid hormone response. Isoform 2 has a higher thyroid hormone-dependent transactivation activity than isoform 1 and isoform 3.
Application Dilution
WB 1:300-5000
IHC-P 1:200-400