Receive 30% off all Monoclonal IHC antibodies with code "MONO-IHC-30"! Offer valid for US customers and available internationally through distributors.

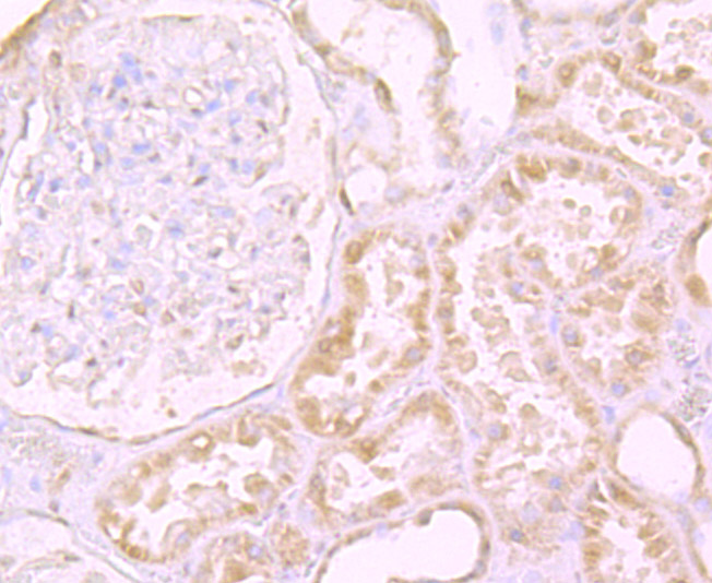
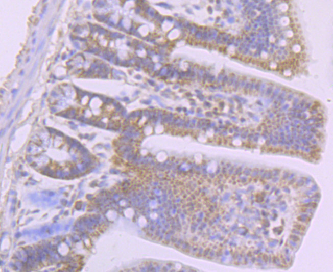
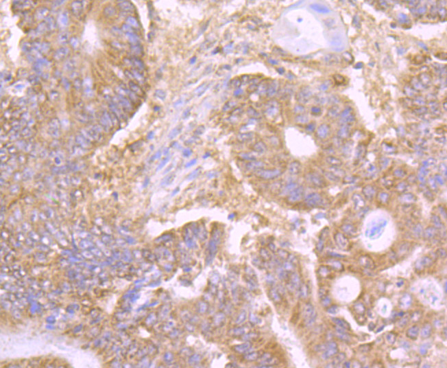
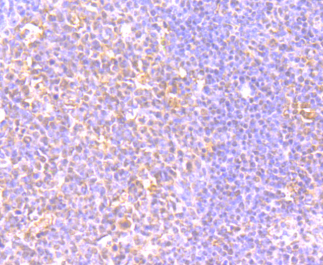
LY75 (1F11) Monoclonal Antibody

Applications

  • WB
  • IHC-P

Reactivity

  • Human
  • Mouse
Overview
Catalog # bsm-54303R
Product Name LY75 (1F11) Monoclonal Antibody
Applications WB, IHC-P
Reactivity Human, Mouse
Specifications
Conjugation Unconjugated
Host Rabbit
Source Synthetic peptide within human LY75 aa 1700-1722
Clonality Monoclonal
Clone # #REF!
Isotype IgG
Concentration 1ug/ul
Purification Purified by Protein A.
Storage Buffer 0.01M TBS(pH7.4) with 1% BSA, 0.02% Proclin300 and 50% Glycerol.
Storage Condition Store at 4C for up to 2 weeks. For long term storage, store at -20C in small aliquots to prevent freeze-thaw cycles.
Target
Gene ID 4065
Swiss Prot O60449
Subcellular location Cell membrane
Synonyms Lymphocyte antigen 75; C-type lectin domain family 13 member B; DEC-205; gp200-MR6; CD205; Ly-75; LY75; CD205; CLEC13B
Background Acts as an endocytic receptor to direct captured antigens from the extracellular space to a specialized antigen-processing compartment (By similarity). Causes reduced proliferation of B-lymphocytes.
Application Dilution
WB 1:300-5000
IHC-P 1:200-400