Receive 30% off all Monoclonal IHC antibodies with code "MONO-IHC-30"! Offer valid for US customers and available internationally through distributors.

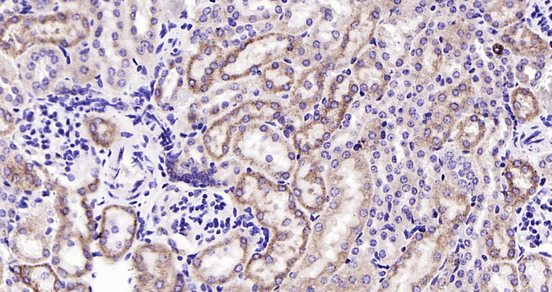
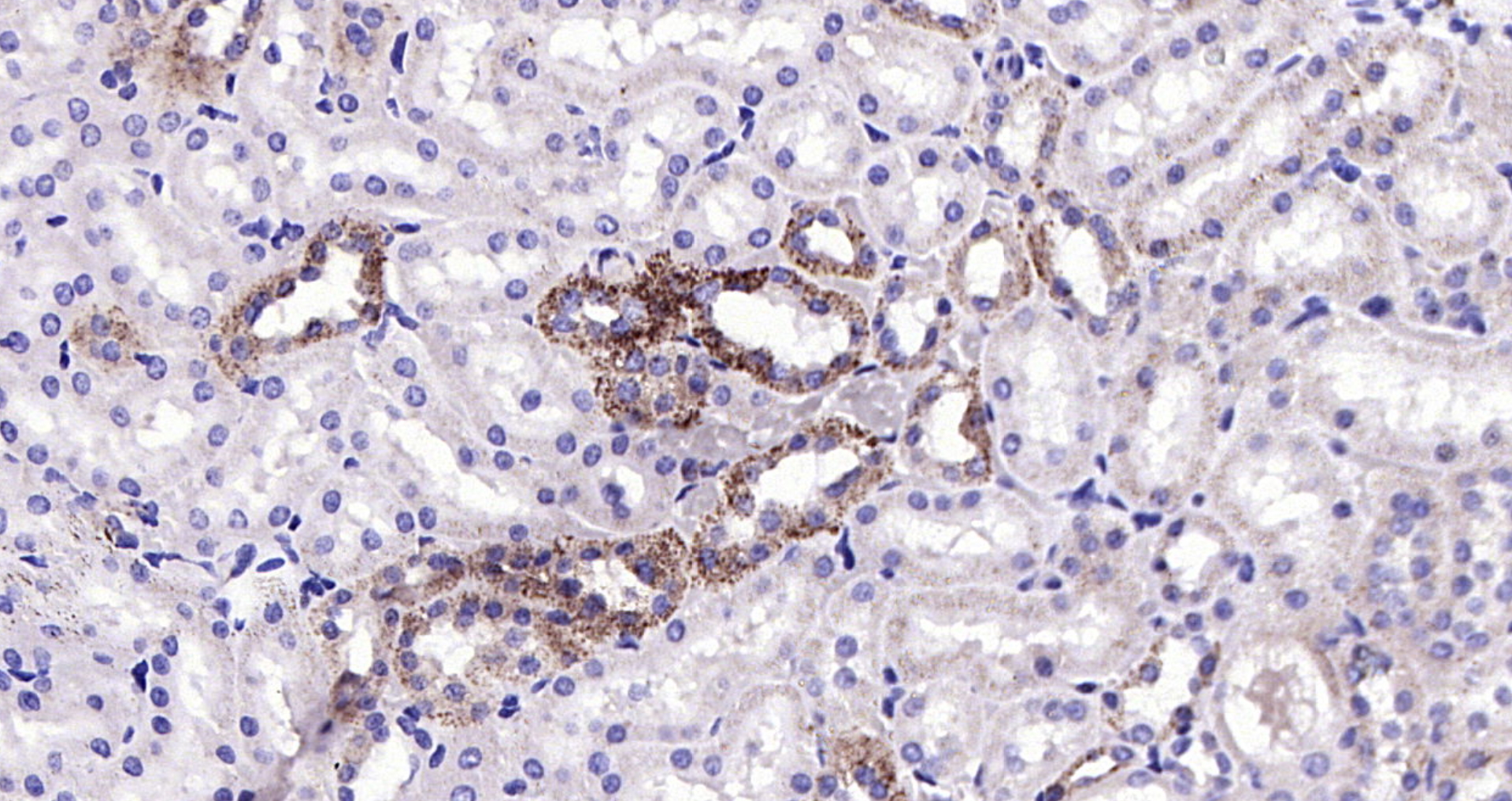
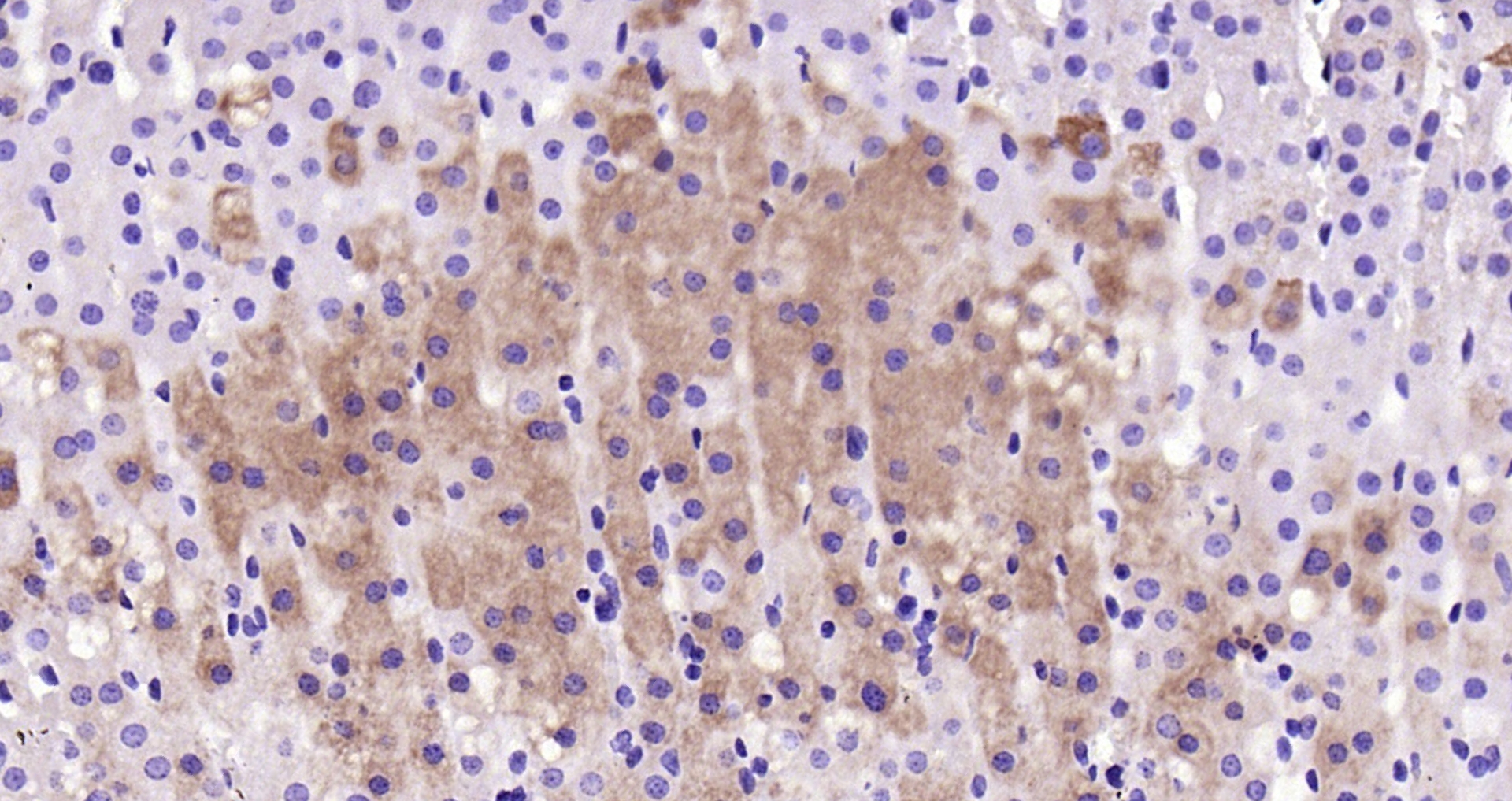
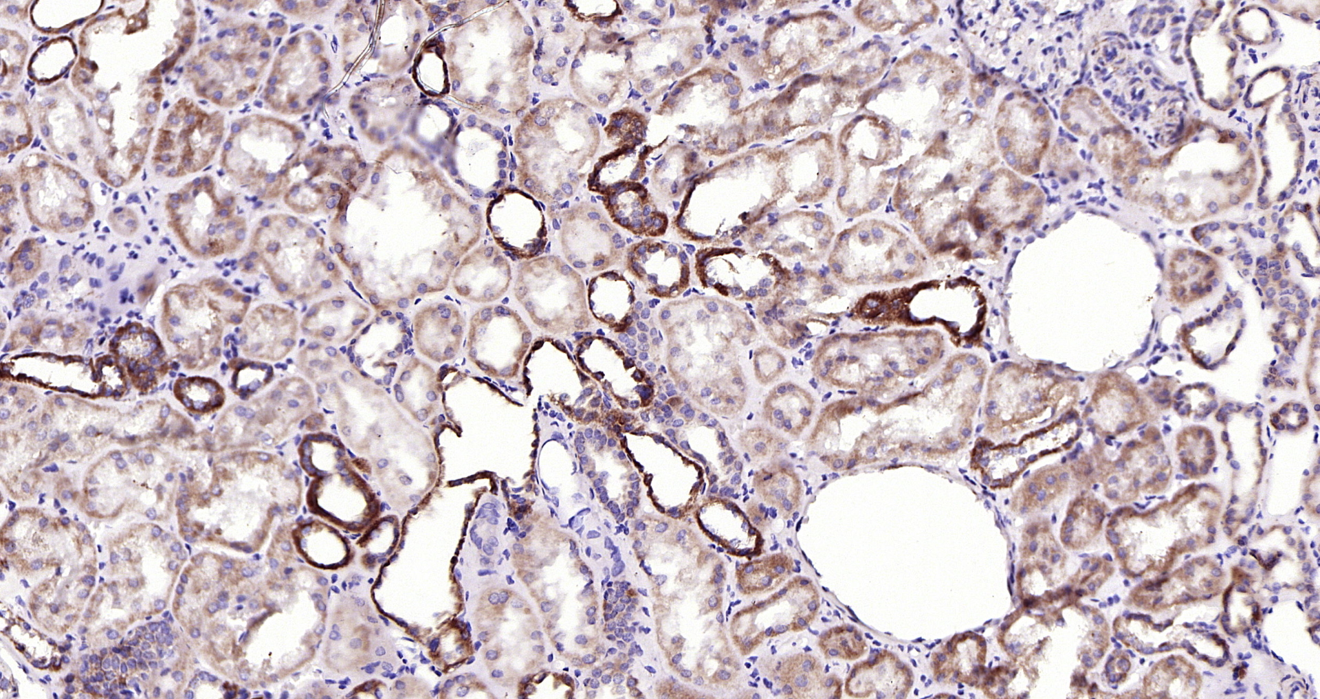
Cytochrome P450 17A1 Recombinant Antibody

Applications

  • WB
  • Flow-Cyt
  • ICC/IF

Reactivity

  • Human
  • Mouse
  • Rat
Overview
Catalog # bsm-54306r-TR
Product Name Cytochrome P450 17A1 Recombinant Antibody
Applications WB, Flow-Cyt, ICC/IF
Reactivity Human, Mouse, Rat
Specifications
Conjugation Unconjugated
Host Rabbit
Source Recombinant human Cytochrome P450 17A1
Clonality Recombinant
Isotype IgG
Concentration Lot dependent
Purification Purified by Protein A.
Storage Buffer 0.01M TBS (pH 7.4), 1% BSA, 0.02% Proclin 300, and 50% Glycerol
Storage Condition Shipped at 4C. Store at -20C for one year. Avoid repeated freeze/thaw cycles.
Target
Gene ID 1586
Swiss Prot P05093
Subcellular location Cytomembrane
Synonyms CPT7; CYP17; CYP17A1; Cytochrome P450 17A1; CYPXVII; Cytochrome P450 family 17; Cytochrome P450 family 17 subfamily A polypeptide 1; Cytochrome p450 XVIIA1; Cytochrome p450, subfamily XVII (steroid 17 alpha hydroxylase) adrenal hyperplasia ; P450 C17; P450c17; S17AH; Steroid 17 alpha hydroxylase/17,20 lyase; Steroid 17 alpha monooxygenase; CP17A_HUMAN.
Background Conversion of pregnenolone and progesterone to their 17-alpha-hydroxylated products and subsequently to dehydroepiandrosterone (DHEA) and androstenedione. Catalyzes both the 17-alpha-hydroxylation and the 17,20-lyase reaction. Involved in sexual development during fetal life and at puberty.
Application Dilution
WB 1:300-5000
Flow-Cyt 1ug/Test
ICC/IF 1:50-100