Receive 30% off all Monoclonal IHC antibodies with code "MONO-IHC-30"! Offer valid for US customers and available internationally through distributors.

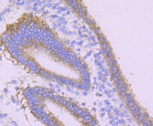
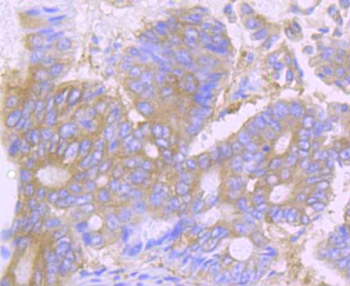
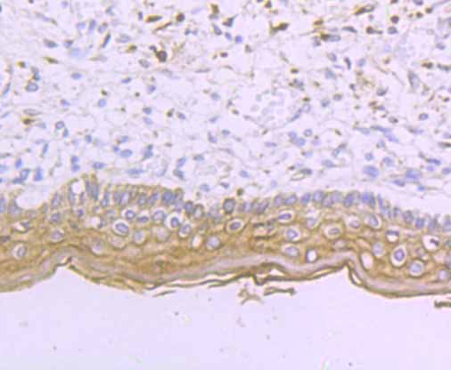
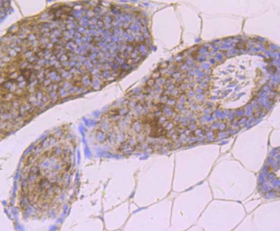
Desmoglein 1 Recombinant Antibody

Applications

  • WB
  • IHC-P
  • IHC-F
  • IF

Predicted Reactivity

  • Human
  • Mouse
  • Rat
Overview
Catalog # bsm-54326r-TR
Product Name Desmoglein 1 Recombinant Antibody
Applications WB, IHC-P, IHC-F, IF
Predicted Reactivity Human, Mouse, Rat
Specifications
Conjugation Unconjugated
Host Rabbit
Source Recombinant protein within human DSG1 aa 900 to the C-terminus
Clonality Recombinant
Isotype IgG
Concentration Lot Dependent
Purification Purified by Protein A.
Storage Buffer 0.01M TBS (pH 7.4), 1% BSA, 0.02% Proclin 300, and 50% Glycerol
Storage Condition Store at 4°C for up to 2 weeks. For long term storage, store at -20°C in small aliquots to prevent freeze-thaw cycles.
Target
Gene ID 1828
Swiss Prot Q02413
Subcellular location Cell membrane
Synonyms Desmoglein-1; Cadherin family member 4; Desmosomal glycoprotein 1; Pemphigus foliaceus antigen; DG1; DGI; DSG1; CDHF4
Background Desmogleins (dsgs) are type I membrane proteins that are important for cell adhesion and are expressed in great abundance at the desmosomes, which are adhesive cell junctions. DSG1 is a component of intercellular desmosome junctions. Involved in the interaction of plaque proteins and intermediate filaments mediating cell-cell adhesion.
Application Dilution
WB 1:300-5000
IHC-P 1:200-400
IHC-F 1:100-500
IF