Receive 30% off all Monoclonal IHC antibodies with code "MONO-IHC-30"! Offer valid for US customers and available internationally through distributors.

KDELR1 (3A6) Monoclonal Antibody

Applications

  • WB
  • FCM
  • IHC-P
  • IF(IHC-P)
  • IF(ICC)

Reactivity

  • Human
  • Mouse
  • Rat
Overview
Catalog # bsm-54328R
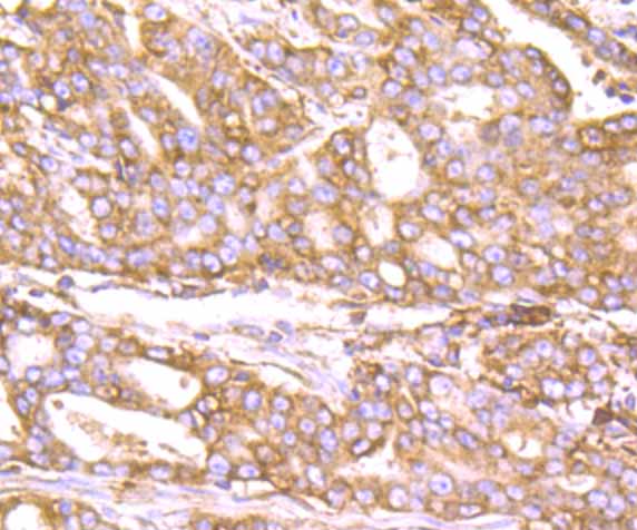
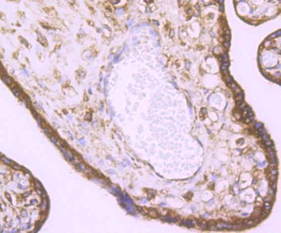
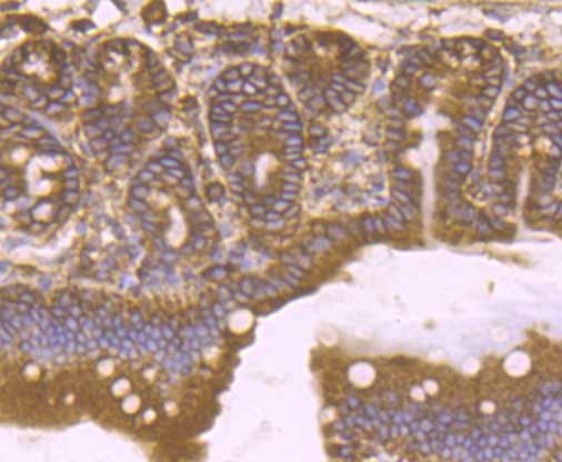
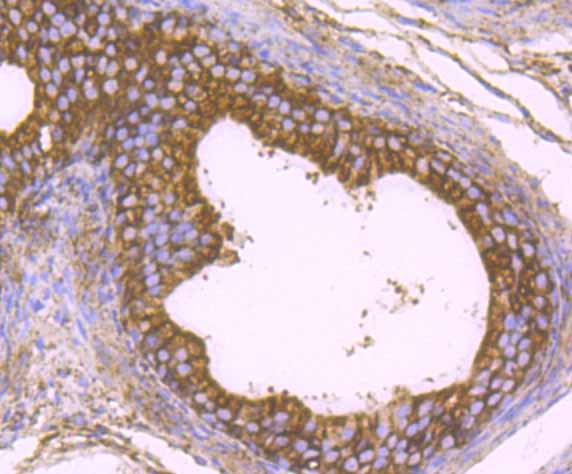
Product Name KDELR1 (3A6) Monoclonal Antibody
Applications WB, FCM, IHC-P, IF(IHC-P), IF(ICC)
Reactivity Human, Mouse, Rat
Specifications
Conjugation Unconjugated
Host Rabbit
Source Synthetic peptide corresponding to C-terminal human KDEL
Clonality Monoclonal
Clone # #REF!
Isotype IgG
Concentration 1ug/ul
Purification Purified by Protein A.
Storage Buffer 0.01M TBS(pH7.4) with 1% BSA, 0.02% Proclin300 and 50% Glycerol.
Storage Condition Store at 4C for up to 2 weeks. For long term storage, store at -20C in small aliquots to prevent freeze-thaw cycles.
Target
Gene ID 10945
Swiss Prot P24390
Subcellular location Membrane bound, Endoplasmic reticulum
Synonyms ER lumen protein-retaining receptor 1; KDEL endoplasmic reticulum protein retention receptor 1; Putative MAPK-activating protein PM23; KDEL receptor 1; KDELR1; ERD2.1
Background Retention of resident soluble proteins in the lumen of the endoplasmic reticulum (ER) is achieved in both yeast and animal cells by their continual retrieval from the cis-Golgi, or a pre-Golgi compartment. Sorting of these proteins is dependent on a C-terminal tetrapeptide signal, usually lys-asp-glu-leu (KDEL) in animal cells, and his-asp-glu-leu (HDEL) in S. cerevisiae. This process is mediated by a receptor that recognizes, and binds the tetrapeptide-containing protein, and returns it to the ER. In yeast, the sorting receptor encoded by a single gene, ERD2, which is a seven-transmembrane protein. Unlike yeast, several human homologs of the ERD2 gene, constituting the KDEL receptor gene family, have been described. KDELR1 was the first member of the family to be identified, and it is structurally and functionally similar to the yeast ERD2. KDELR1 is required for the retention of luminal endoplasmic reticulum resident proteins via vesicular recycling. This receptor recognizes the C-terminal K-D-E-L motif. COPI-coated transport intermediates, either in the form of round vesicles or as tubular processes, mediate retrograde traffic of the KDEL receptor-ligand complexes. Also required for normal vesicular traffic through the Golgi.
Application Dilution
WB 1:300-5000
FCM 1:20-100
IHC-P 1:200-400
IF(IHC-P) 1:50-200
IF(ICC) 1:50-200