Receive 30% off all Monoclonal IHC antibodies with code "MONO-IHC-30"! Offer valid for US customers and available internationally through distributors.

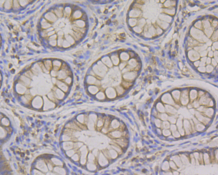
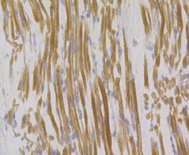
Syntrophin alpha 1 (2A1) Monoclonal Antibody

Applications

  • WB
  • FCM
  • IHC-P
  • IF(IHC-P)
  • IF(ICC)

Reactivity

  • Human
  • Mouse
Overview
Catalog # bsm-54351R
Product Name Syntrophin alpha 1 (2A1) Monoclonal Antibody
Applications WB, FCM, IHC-P, IF(IHC-P), IF(ICC)
Reactivity Human, Mouse
Specifications
Conjugation Unconjugated
Host Rabbit
Source Recombinant protein within human Syntrophin alpha 1 aa 1-200.
Clonality Monoclonal
Clone # #REF!
Isotype IgG
Concentration 1ug/ul
Purification Purified by Protein A.
Storage Buffer 0.01M TBS(pH7.4) with 1% BSA, 0.02% Proclin300 and 50% Glycerol.
Storage Condition Store at 4C for up to 2 weeks. For long term storage, store at -20C in small aliquots to prevent freeze-thaw cycles.
Target
Gene ID 6640
Swiss Prot Q13424
Subcellular location Cell membrane, Cytoskeleton
Synonyms Alpha-1-syntrophin; 59 kDa dystrophin-associated protein A1 acidic component 1; Pro-TGF-alpha cytoplasmic domain-interacting protein 1; Syntrophin-1; TACIP1; SNTA1; SNT1
Background Adapter protein that binds to and probably organizes the subcellular localization of a variety of membrane proteins. May link various receptors to the actin cytoskeleton and the extracellular matrix via the dystrophin glycoprotein complex. Plays an important role in synapse formation and in the organization of UTRN and acetylcholine receptors at the neuromuscular synapse. Binds to phosphatidylinositol 4,5-bisphosphate.
Application Dilution
WB 1:300-5000
FCM 1:20-100
IHC-P 1:200-400
IF(IHC-P) 1:50-200
IF(ICC) 1:50-200