Receive 30% off all Monoclonal IHC antibodies with code "MONO-IHC-30"! Offer valid for US customers and available internationally through distributors.

KAT8 (2B1) Monoclonal Antibody

Applications

  • WB
  • FCM
  • IHC-P
  • IF(IHC-P)
  • IF(ICC)

Reactivity

  • Human
  • Mouse
  • Rat
Overview
Catalog # bsm-54359R
Product Name KAT8 (2B1) Monoclonal Antibody
Applications WB, FCM, IHC-P, IF(IHC-P), IF(ICC)
Reactivity Human, Mouse, Rat
Specifications
Conjugation Unconjugated
Host Rabbit
Source Recombinant protein within N-terminal human KAT8.
Clonality Monoclonal
Clone # #REF!
Isotype IgG
Concentration 1ug/ul
Purification Purified by Protein A.
Storage Buffer 0.01M TBS(pH7.4) with 1% BSA, 0.02% Proclin300 and 50% Glycerol.
Storage Condition Store at 4C for up to 2 weeks. For long term storage, store at -20C in small aliquots to prevent freeze-thaw cycles.
Target
Gene ID 84148
Swiss Prot Q9H7Z6
Subcellular location Nucleus
Synonyms Histone acetyltransferase KAT8; Lysine acetyltransferase 8; MOZ YBF2/SAS3 SAS2 and TIP60 protein 1; MYST-1; hMOF; KAT8; MOF; MYST1
Background Dosage compensation ensures that males with a single X chromosome and females with two X chromosomes have the same amount of most X-linked gene products. In Drosophila, this is acheived by enhancing the level of transcription of the X chromosome in males. Proteins such as maleless, male specific lethal 1, 2 and 3, and males absent on the first (MOF) form a dosage compensation complex (DCC) that is required for the twofold increase of transcription of the male X chromosome. The DCC is preferentially associated with many sites on the X chromosome in somatic cells of males. The binding of the DCC to the X chromosome is dependent upon histone 4 acetylation at lysine 16, which is accomplished by MOF. In mammals, MOF (also designated hMOF, MYST1, or MOZ) belongs to the MYST family of histone acetyl transferases which are characterized by a unique C2HC-type zinc finger close to their HAT domains. MOF utilizes the zinc finger domain to contact the globular part of the nucleosome as well as the histone H4 N-terminal tail substrate. The carboxy terminal domain of human MOF also has histone acetyltransferase activity directed against histones H3 and H2A, a characteristic shared with other MYST family histone acetyltransferases.
Application Dilution
WB 1:300-5000
FCM 1:20-100
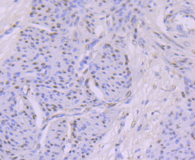
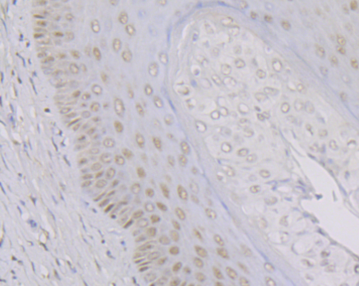
IHC-P 1:200-400
IF(IHC-P) 1:50-200
IF(ICC) 1:50-200