Receive 30% off all Monoclonal IHC antibodies with code "MONO-IHC-30"! Offer valid for US customers and available internationally through distributors.

Oct-1 Recombinant Antibody

Applications

  • WB
  • IHC-P

Reactivity

  • Human
  • Mouse
  • Rat
Overview
Catalog # bsm-54365R
Product Name Oct-1 Recombinant Antibody
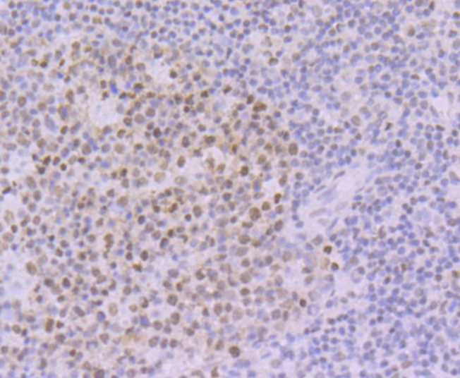
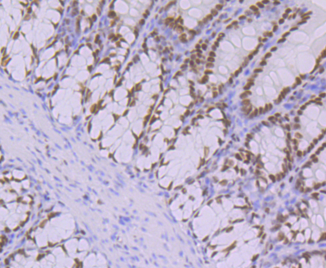
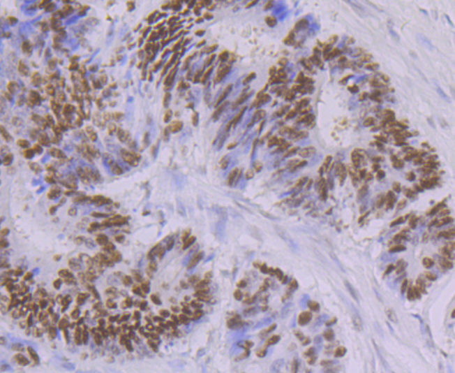
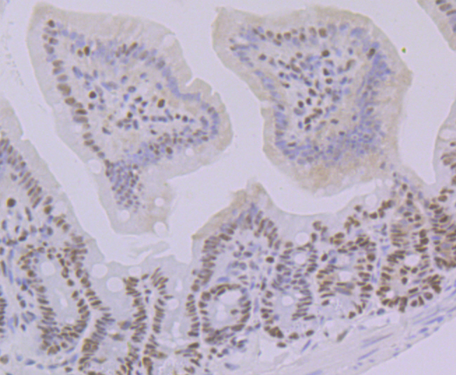
Applications WB, IHC-P
Reactivity Human, Mouse, Rat
Specifications
Conjugation Unconjugated
Host Rabbit
Source Recombinant protein within human POU2F1 aa 1-150.
Clonality Monoclonal
Clone # #REF!
Isotype IgG
Concentration 1ug/ul
Purification Purified by Protein A.
Storage Buffer 0.01M TBS(pH7.4) with 1% BSA, 0.02% Proclin300 and 50% Glycerol.
Storage Condition Store at 4C for up to 2 weeks. For long term storage, store at -20C in small aliquots to prevent freeze-thaw cycles.
Target
Gene ID 5451
Swiss Prot P14859
Subcellular location Nucleus
Synonyms POU domain class 2 transcription factor 1; NF-A1; Octamer-binding protein 1; Octamer-binding transcription factor 1; Oct-1; OTF-1; POU2F1; OCT1; OTF1
Background Transcription factor that binds to the octamer motif (5'-ATTTGCAT-3') and activates the promoters of the genes for some small nuclear RNAs (snRNA) and of genes such as those for histone H2B and immunoglobulins. Modulates transcription transactivation by NR3C1, AR and PGR. In case of human herpes simplex virus (HSV) infection, POU2F1 forms a multiprotein-DNA complex with the viral transactivator protein VP16 and HCFC1 thereby enabling the transcription of the viral immediate early genes.
Application Dilution
WB 1:300-5000
IHC-P 1:200-400