Receive 30% off all Monoclonal IHC antibodies with code "MONO-IHC-30"! Offer valid for US customers and available internationally through distributors.

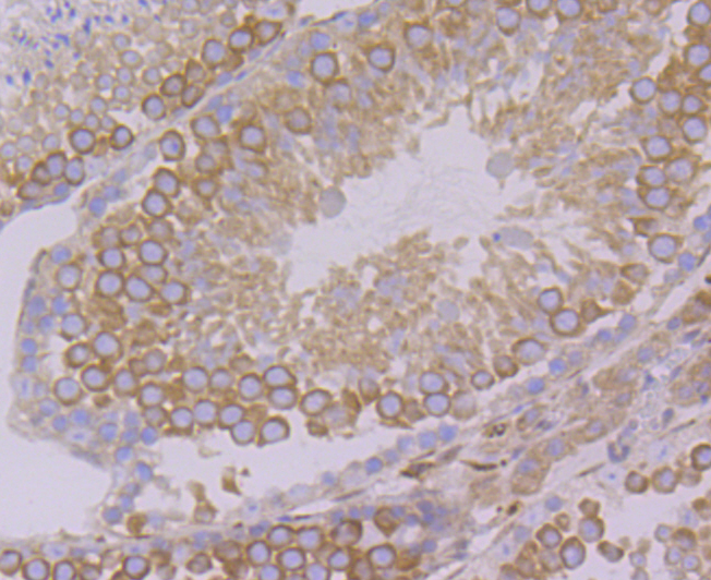
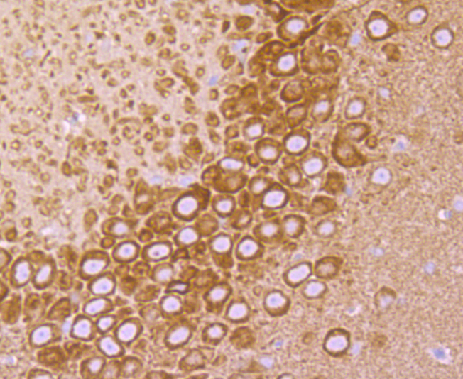
VAMP3 (8A3) Monoclonal Antibody

Applications

  • WB
  • FCM
  • IHC-P
  • IF(IHC-P)
  • IF(ICC)

Reactivity

  • Human
  • Mouse
  • Rat
Overview
Catalog # bsm-54366R
Product Name VAMP3 (8A3) Monoclonal Antibody
Applications WB, FCM, IHC-P, IF(IHC-P), IF(ICC)
Reactivity Human, Mouse, Rat
Specifications
Conjugation Unconjugated
Host Rabbit
Source Synthetic peptide conjugated to KLH within N-terminal human VAMP3/Cellubrevin.
Clonality Monoclonal
Clone # #REF!
Isotype IgG
Concentration 1ug/ul
Purification Purified by Protein A.
Storage Buffer 0.01M TBS(pH7.4) with 1% BSA, 0.02% Proclin300 and 50% Glycerol.
Storage Condition Store at 4C for up to 2 weeks. For long term storage, store at -20C in small aliquots to prevent freeze-thaw cycles.
Target
Gene ID 9341
Swiss Prot Q15836
Subcellular location Cytoplasm, Membrane bound
Synonyms Vesicle-associated membrane protein 3; Cellubrevin; Synaptobrevin-3; VAMP-3; CEB; SYB3
Background Synaptobrevins/VAMPs, syntaxins, and the 25-kD synaptosomal-associated protein are the main components of a protein complex involved in the docking and/or fusion of synaptic vesicles with the presynaptic membrane. VAMP3 is a member of the vesicle-associated membrane protein (VAMP)/synaptobrevin family. Because of its high homology to other known VAMPs, its broad tissue distribution, and its subcellular localization, the protein was shown to be the human equivalent of the rodent cellubrevin. In platelets the protein resides on a compartment that is not mobilized to the plasma membrane on calcium or thrombin stimulation. VAMP3 is involved in vesicular transport from the late endosomes to the trans-Golgi network.
Application Dilution
WB 1:300-5000
FCM 1:20-100
IHC-P 1:200-400
IF(IHC-P) 1:50-200
IF(ICC) 1:50-200