Receive 30% off all Monoclonal IHC antibodies with code "MONO-IHC-30"! Offer valid for US customers and available internationally through distributors.

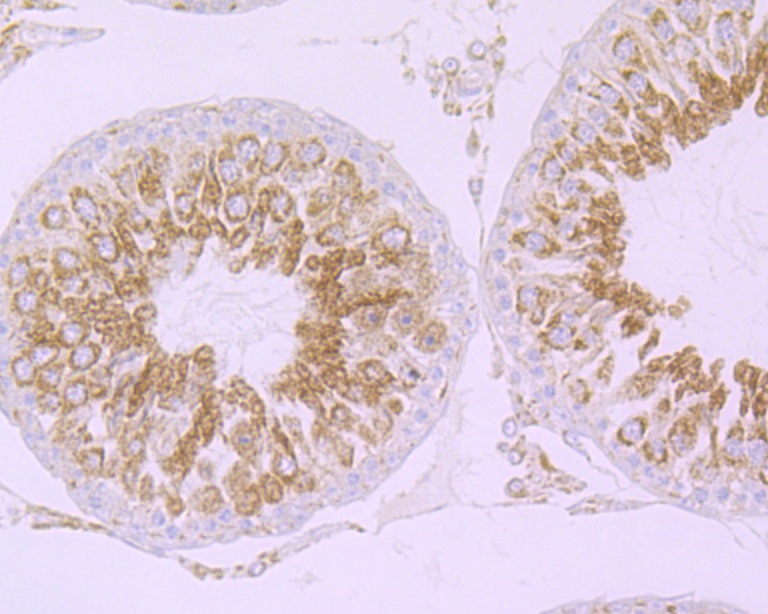
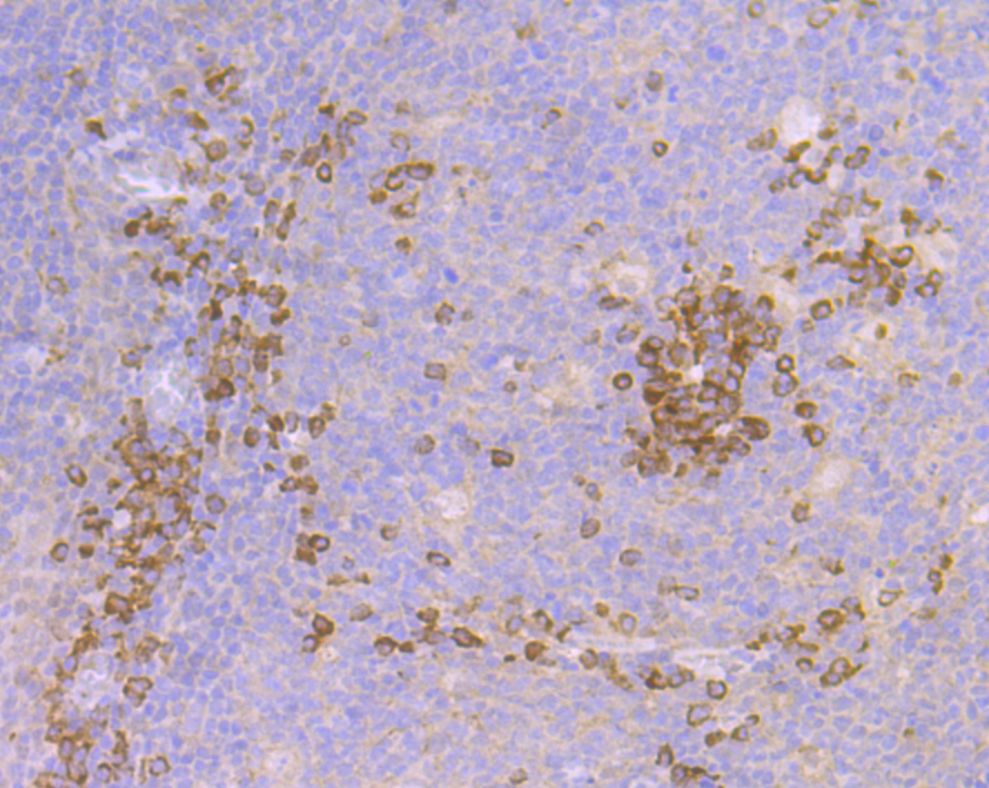
Cullin 2 (4C9) Monoclonal Antibody

Applications

  • WB
  • IHC-P
  • IF(ICC)

Reactivity

  • Human
  • Mouse
  • Rat
Overview
Catalog # bsm-54381R
Product Name Cullin 2 (4C9) Monoclonal Antibody
Applications WB, IHC-P, IF(ICC)
Reactivity Human, Mouse, Rat
Specifications
Conjugation Unconjugated
Host Rabbit
Source Recombinant protein within human Cullin 2 aa 1-200.
Clonality Monoclonal
Clone # #REF!
Isotype IgG
Concentration 1ug/ul
Purification Purified by Protein A.
Storage Buffer 0.01M TBS(pH7.4) with 1% BSA, 0.02% Proclin300 and 50% Glycerol.
Storage Condition Store at 4C for up to 2 weeks. For long term storage, store at -20C in small aliquots to prevent freeze-thaw cycles.
Target
Gene ID 8453
Swiss Prot Q13617
Subcellular location Cytoplasm, Nucleus
Synonyms Cullin-2; CUL-2; CUL2
Background Core component of multiple cullin-RING-based ECS (ElonginB/C-CUL2/5-SOCS-box protein) E3 ubiquitin-protein ligase complexes, which mediate the ubiquitination of target proteins. ECS complexes and ARIH1 collaborate in tandem to mediate ubiquitination of target proteins (PubMed:27565346). May serve as a rigid scaffold in the complex and may contribute to catalysis through positioning of the substrate and the ubiquitin-conjugating enzyme. The E3 ubiquitin-protein ligase activity of the complex is dependent on the neddylation of the cullin subunit and is inhibited by the association of the deneddylated cullin subunit with TIP120A/CAND1. The functional specificity of the ECS complex depends on the substrate recognition component. ECS(VHL) mediates the ubiquitination of hypoxia-inducible factor (HIF).
Application Dilution
WB 1:300-5000
IHC-P 1:200-400
IF(ICC) 1:50-200