Receive 30% off all Monoclonal IHC antibodies with code "MONO-IHC-30"! Offer valid for US customers and available internationally through distributors.

P2Y6 Recombinant Antibody

Applications

  • WB
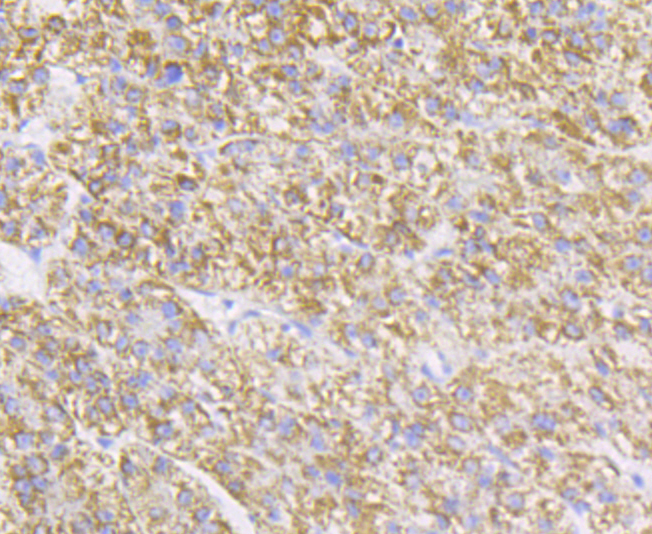
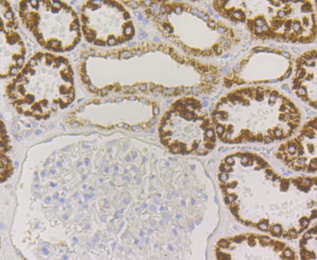
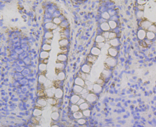
  • IHC-P
  • IHC-F
  • IP
  • IF
  • ICC/IF

Reactivity

  • Human
Overview
Catalog # bsm-54386r-TR
Product Name P2Y6 Recombinant Antibody
Applications WB, IHC-P, IHC-F, IP, IF, ICC/IF
Reactivity Human
Specifications
Conjugation Unconjugated
Host Rabbit
Source Synthetic peptide corresponding to N-terminal human P2Y6.
Clonality Recombinant
Isotype IgG
Concentration Lot dependent
Purification Purified by Protein A.
Storage Buffer 0.01M TBS (pH 7.4), 1% BSA, 0.02% Proclin 300, and 50% Glycerol
Storage Condition Store at 4°C for up to 2 weeks. For long term storage, store at -20°C in small aliquots to prevent freeze-thaw cycles.
Target
Gene ID 5031
Swiss Prot Q15077
Subcellular location Cell membrane
Synonyms P2Y purinoceptor 6; P2Y6; P2RY6
Background P2Y6 belongs to the family of G-protein coupled receptors. This family has several receptor subtypes with different pharmacological selectivity, which overlaps in some cases, for various adenosine and uridine nucleotides. This receptor is responsive to UDP, partially responsive to UTP and ADP, and not responsive to ATP. Four transcript variants encoding the same isoform have been identified for this gene. Receptor for extracellular UDP > UTP > ATP. The activity of this receptor is mediated by G proteins which activate a phosphatidylinositol-calcium second messenger system.
Application Dilution
WB 1:300-5000
IHC-P 1:200-400
IHC-F 1:100-500
IP 1-2ug
IF
ICC/IF 1:50-100