Receive 30% off all Monoclonal IHC antibodies with code "MONO-IHC-30"! Offer valid for US customers and available internationally through distributors.

GOPC (1B8) Monoclonal Antibody

Applications

  • WB
  • FCM
  • IHC-P
  • IF(IHC-P)
  • IF(ICC)
  • IP

Reactivity

  • Human
  • Mouse
Overview
Catalog # bsm-54392R
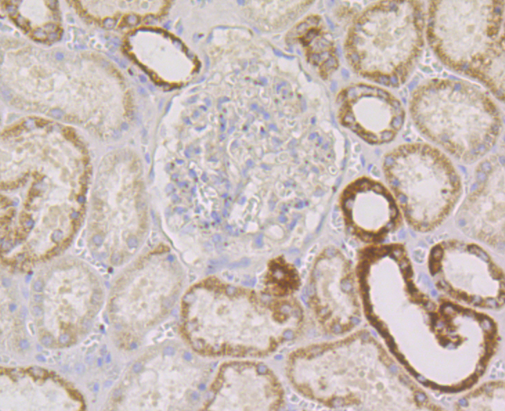
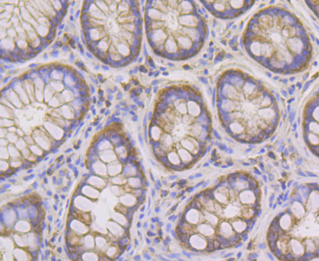
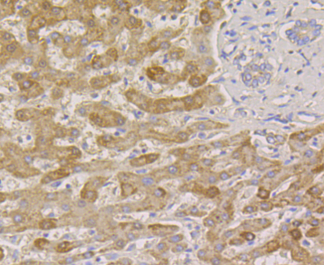
Product Name GOPC (1B8) Monoclonal Antibody
Applications WB, FCM, IHC-P, IF(IHC-P), IF(ICC), IP
Reactivity Human, Mouse
Specifications
Conjugation Unconjugated
Host Rabbit
Source Recombinant protein within human PIST aa 1-100.
Clonality Monoclonal
Clone # #REF!
Isotype IgG
Concentration 1ug/ul
Purification Purified by Protein A.
Storage Buffer 0.01M TBS(pH7.4) with 1% BSA, 0.02% Proclin300 and 50% Glycerol.
Storage Condition Store at -20C for 12 months.
Target
Gene ID 57120
Swiss Prot Q9HD26
Subcellular location Cytoplasm, Cell membrane, Golgi apparatus
Synonyms Golgi-associated PDZ and coiled-coil motif-containing protein; CFTR-associated ligand; Fused in glioblastoma; PDZ protein interacting specifically with TC10; PIST; GOPC
Background Plays a role in intracellular protein trafficking and degradation. May regulate CFTR chloride currents and acid-induced ASIC3 currents by modulating cell surface expression of both channels. May also regulate the intracellular trafficking of the ADR1B receptor. May play a role in autophagy. Overexpression results in CFTR intracellular retention and degradation in the lysosomes.
Application Dilution
WB 1:300-5000
FCM 1:20-100
IHC-P 1:200-400
IF(IHC-P) 1:50-200
IF(ICC) 1:50-200
IP 1-2ug