Receive 30% off all Monoclonal IHC antibodies with code "MONO-IHC-30"! Offer valid for US customers and available internationally through distributors.

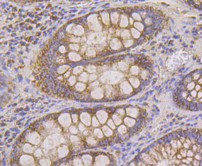
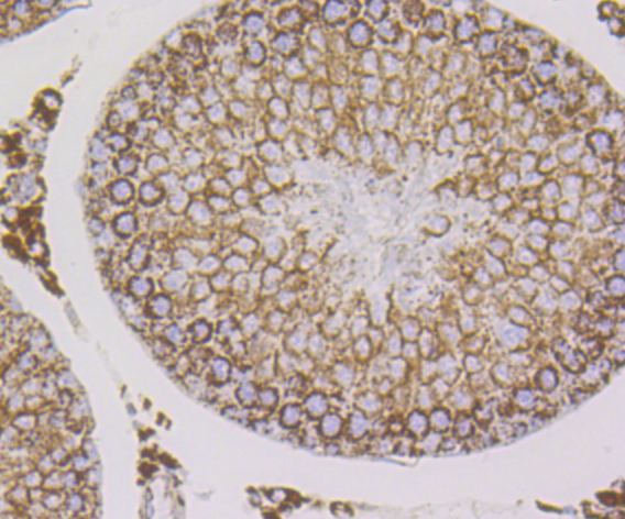
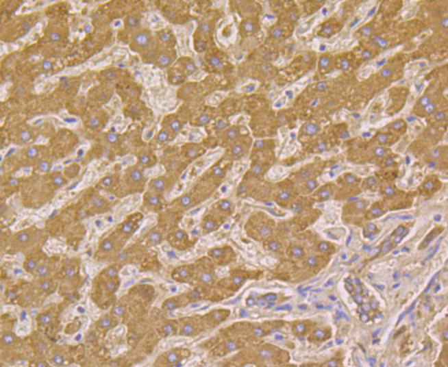
HSPE1 (9B3) Monoclonal Antibody

Applications

  • WB
  • IHC-P
  • IP

Reactivity

  • Human
  • Mouse
  • Rat
Overview
Catalog # bsm-54399R
Product Name HSPE1 (9B3) Monoclonal Antibody
Applications WB, IHC-P, IP
Reactivity Human, Mouse, Rat
Specifications
Conjugation Unconjugated
Host Rabbit
Source Recombinant protein within human Cpn10 aa 1-150.
Clonality Monoclonal
Clone # #REF!
Isotype IgG
Concentration 1ug/ul
Purification Purified by Protein A.
Storage Buffer 0.01M TBS(pH7.4) with 1% BSA, 0.02% Proclin300 and 50% Glycerol.
Storage Condition Store at -20C for 12 months.
Target
Gene ID 3336
Swiss Prot P61604
Subcellular location Mitochondrion
Synonyms 10 kDa heat shock protein mitochondrial; 10 kDa chaperonin; Chaperonin 10; Early-pregnancy factor; Hsp10; CPN10; EPF; HSPE1
Background Co-chaperonin implicated in mitochondrial protein import and macromolecular assembly. Together with Hsp60, facilitates the correct folding of imported proteins. May also prevent misfolding and promote the refolding and proper assembly of unfolded polypeptides generated under stress conditions in the mitochondrial matrix. The functional units of these chaperonins consist of heptameric rings of the large subunit Hsp60, which function as a back-to-back double ring. In a cyclic reaction, Hsp60 ring complexes bind one unfolded substrate protein per ring, followed by the binding of ATP and association with 2 heptameric rings of the co-chaperonin Hsp10. This leads to sequestration of the substrate protein in the inner cavity of Hsp60 where, for a certain period of time, it can fold undisturbed by other cell components. Synchronous hydrolysis of ATP in all Hsp60 subunits results in the dissociation of the chaperonin rings and the release of ADP and the folded substrate protein (Probable)
Application Dilution
WB 1:300-5000
IHC-P 1:200-400
IP 1-2ug