Receive 30% off all Monoclonal IHC antibodies with code "MONO-IHC-30"! Offer valid for US customers and available internationally through distributors.

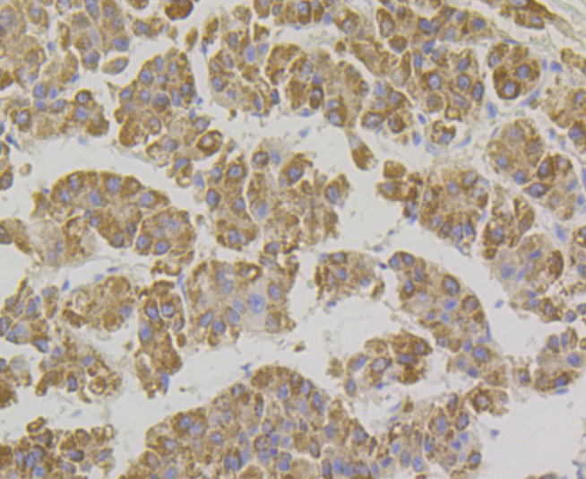
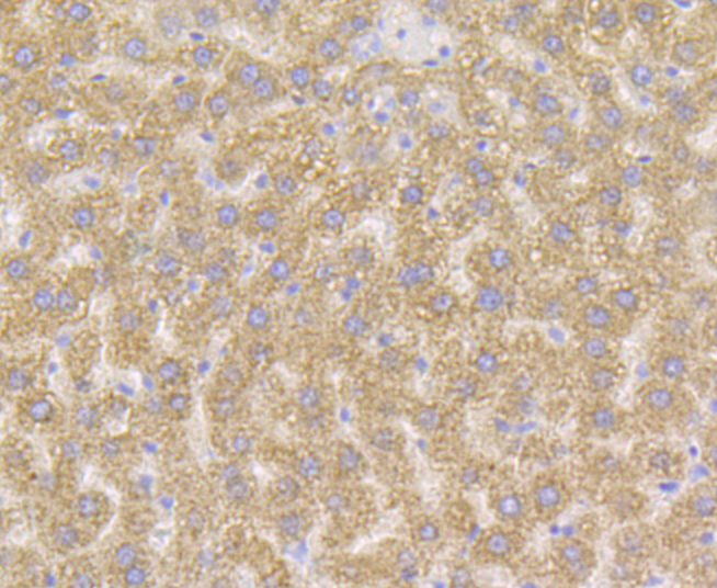
Xanthine Oxidase (2D9) Monoclonal Antibody

Applications

  • WB
  • IHC-P

Reactivity

  • Human
  • Mouse
  • Rat
Overview
Catalog # bsm-54401R
Product Name Xanthine Oxidase (2D9) Monoclonal Antibody
Applications WB, IHC-P
Reactivity Human, Mouse, Rat
Specifications
Conjugation Unconjugated
Host Rabbit
Source Recombinant protein within human Xanthine Oxidase aa 100-300.
Clonality Monoclonal
Clone # #REF!
Isotype IgG
Concentration 1ug/ul
Purification Purified by Protein A.
Storage Buffer 0.01M TBS(pH7.4) with 1% BSA, 0.02% Proclin300 and 50% Glycerol.
Storage Condition Store at -20C for 12 months.
Target
Gene ID 7498
Swiss Prot P47989
Subcellular location Cytoplasm, Secreted
Synonyms Xanthine dehydrogenase/oxidase; Xanthine dehydrogenase; Xanthine oxidase; Xanthine oxidoreductase; XD; XO; XOR; XDH; XDHA
Background The process of metabolizing purines to a common molecule known as xanthine is an essential process for the proper shuttling of uric acid. Xanthine oxidase is a flavoprotein enzyme that coordinates molybdenum and utilizes NAD+ as an electron acceptor to catalyze the oxidation of hypoxanthine to xanthine and then to uric acid. The predominant form of this enzyme is xanthine dehydrogenase, which is a homodimer that can be converted to xanthine oxidase by sulfhydryl oxidation or proteolytic modification. Xanthine oxidase is present in species ranging from bacteria to human and is ubiquitously expressed in mammalian tissues. In the oxidase form, this enzyme is coupled to the generation of free radicals. Individuals showing marked elevation of serum xanthine oxidase is suggestive of chronic liver disease and cholestasis, which is a condition defined by hepatic obstruction. Hepatic obstruction causes bile salts, the bile pigment bilirubin, and fats to accumulate in the blood stream instead of being eliminated normally. The clinical consequences of defects in xanthine oxidase range from mild to severe and even contribute to fatal disorders.
Application Dilution
WB 1:300-5000
IHC-P 1:200-400