Receive 30% off all Monoclonal IHC antibodies with code "MONO-IHC-30"! Offer valid for US customers and available internationally through distributors.

NCF2 (3A1) Monoclonal Antibody

Applications

  • WB
  • IHC-P
  • IP

Reactivity

  • Human
  • Mouse
  • Rat
Overview
Catalog # bsm-54404R
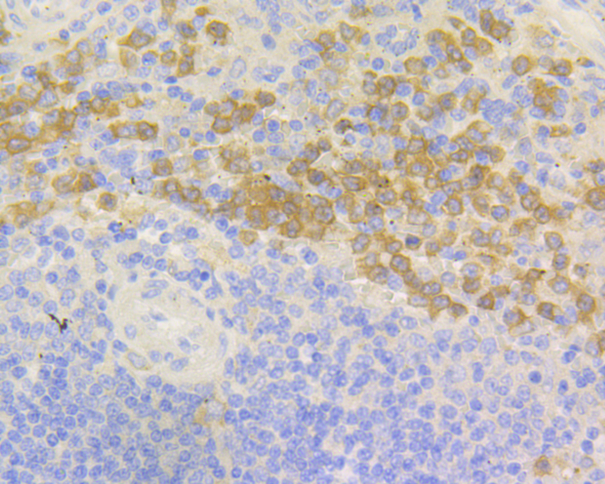
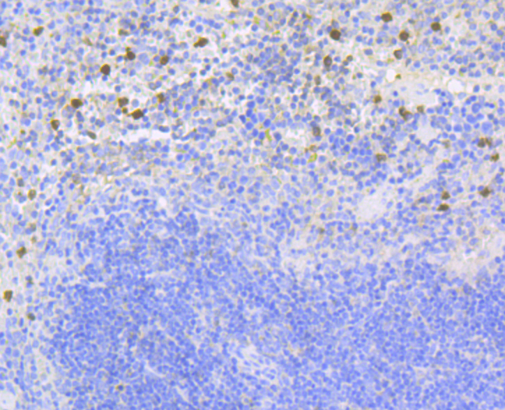
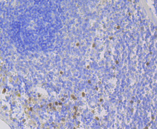
Product Name NCF2 (3A1) Monoclonal Antibody
Applications WB, IHC-P, IP
Reactivity Human, Mouse, Rat
Specifications
Conjugation Unconjugated
Host Rabbit
Source Recombinant protein within Human NCF2 aa 150-300.
Clonality Monoclonal
Clone # #REF!
Isotype IgG
Concentration 1ug/ul
Purification Purified by Protein A.
Storage Buffer 0.01M TBS(pH7.4) with 1% BSA, 0.02% Proclin300 and 50% Glycerol.
Storage Condition Store at -20C for 12 months.
Target
Gene ID 4688
Swiss Prot P19878
Subcellular location Cytoplasm
Synonyms Neutrophil cytosol factor 2; 67 kDa neutrophil oxidase factor; NADPH oxidase activator 2; Neutrophil NADPH oxidase factor 2; p67-phox; NCF-2; NCF2; NOXA2; P67PHOX
Background Neutrophil cytosolic factor 2, is the 67-kilodalton cytosolic subunit of the multi-protein NADPH oxidase complex found in neutrophils. This oxidase produces a burst of superoxide which is delivered to the lumen of the neutrophil phagosome. Mutations in this gene, as well as in other NADPH oxidase subunits, can result in chronic granulomatous disease, a disease that causes recurrent infections by catalase-positive organisms. Alternative splicing results in multiple transcript variants encoding different isoforms. NCF2, NCF1, and a membrane bound cytochrome b558 are required for activation of the latent NADPH oxidase (necessary for superoxide production).
Application Dilution
WB 1:300-5000
IHC-P 1:200-400
IP 1-2ug