Receive 30% off all Monoclonal IHC antibodies with code "MONO-IHC-30"! Offer valid for US customers and available internationally through distributors.

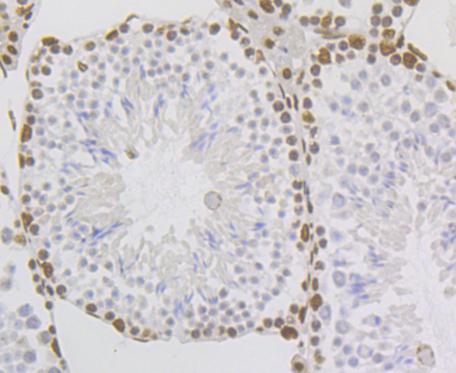
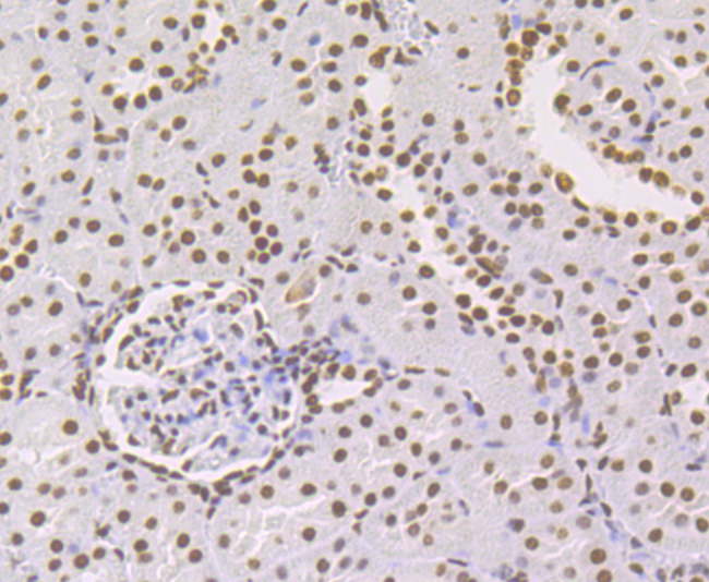
NONO (1G11) Monoclonal Antibody

Applications

  • WB
  • IHC-P
  • IF(IHC-P)
  • IF(ICC)

Reactivity

  • Human
  • Mouse
  • Rat
Overview
Catalog # bsm-54412R
Product Name NONO (1G11) Monoclonal Antibody
Applications WB, IHC-P, IF(IHC-P), IF(ICC)
Reactivity Human, Mouse, Rat
Specifications
Conjugation Unconjugated
Host Rabbit
Source Recombinant protein of C-terminal human p54nrb.
Clonality Monoclonal
Clone # #REF!
Isotype IgG
Concentration 1ug/ul
Purification Purified by Protein A.
Storage Buffer 0.01M TBS(pH7.4) with 1% BSA, 0.02% Proclin300 and 50% Glycerol.
Storage Condition Store at -20C for 12 months.
Target
Gene ID 4841
Swiss Prot Q15233
Subcellular location Nucleus
Synonyms Non-POU domain-containing octamer-binding protein; 54 kDa nuclear RNA- and DNA-binding protein; 55 kDa nuclear protein; DNA-binding p52/p100 complex 52 kDa subunit; NMT55; p54(nrb); p54nrb; NONO; NRB54
Background DNA- and RNA binding protein, involved in several nuclear processes. Binds the conventional octamer sequence in double stranded DNA. Also binds single-stranded DNA and RNA at a site independent of the duplex site. Involved in pre-mRNA splicing, probably as an heterodimer with SFPQ. Interacts with U5 snRNA, probably by binding to a purine-rich sequence located on the 3' side of U5 snRNA stem 1b. The SFPQ-NONO heteromer associated with MATR3 may play a role in nuclear retention of defective RNAs. The SFPQ-NONO heteromer may be involved in DNA unwinding by modulating the function of topoisomerase I/TOP1. The SFPQ-NONO heteromer may be involved in DNA nonhomologous end joining (NHEJ) required for double-strand break repair and V(D)J recombination and may stabilize paired DNA ends. In vitro, the complex strongly stimulates DNA end joining, binds directly to the DNA substrates and cooperates with the Ku70/G22P1-Ku80/XRCC5 (Ku) dimer to establish a functional preligation complex. Nono is involved in transcriptional regulation. The SFPQ-NONO-NR5A1 complex binds to the CYP17 promoter and regulates basal and cAMP-dependent transcriptional avtivity. NONO binds to an enhancer element in long terminal repeats of endogenous intracisternal A particles (IAPs) and activates transcription.
Application Dilution
WB 1:300-5000
IHC-P 1:200-400
IF(IHC-P) 1:50-200
IF(ICC) 1:50-200