Receive 30% off all Monoclonal IHC antibodies with code "MONO-IHC-30"! Offer valid for US customers and available internationally through distributors.

BUB3 Recombinant Antibody

Applications

  • WB
  • FCM
  • IHC-P
  • IF(IHC-P)
  • IF(ICC)
  • IP

Reactivity

  • Human
  • Mouse
  • Rat
Overview
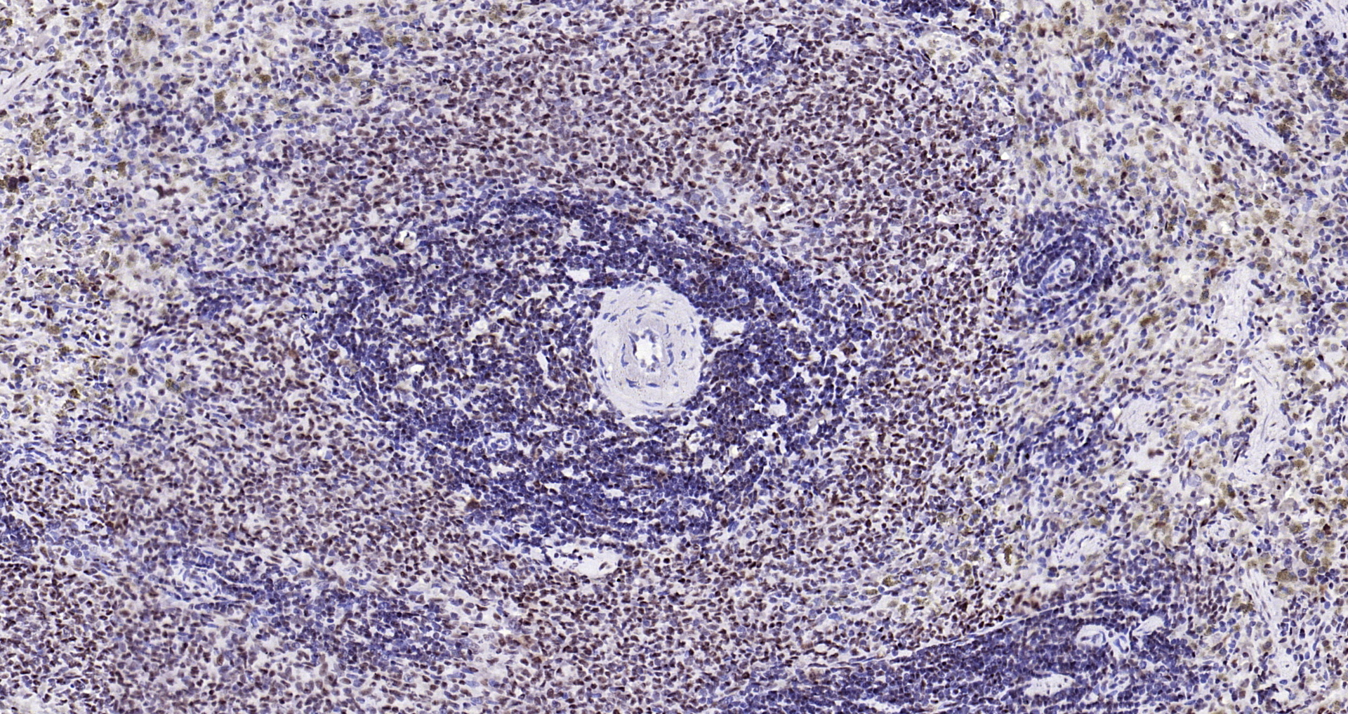
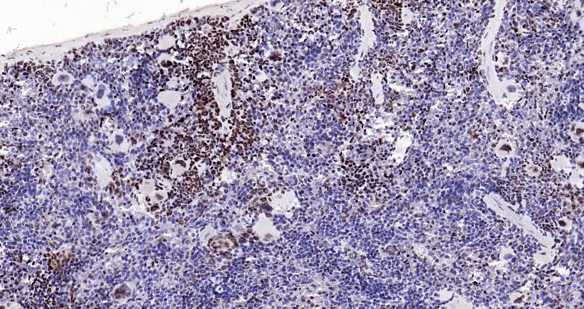
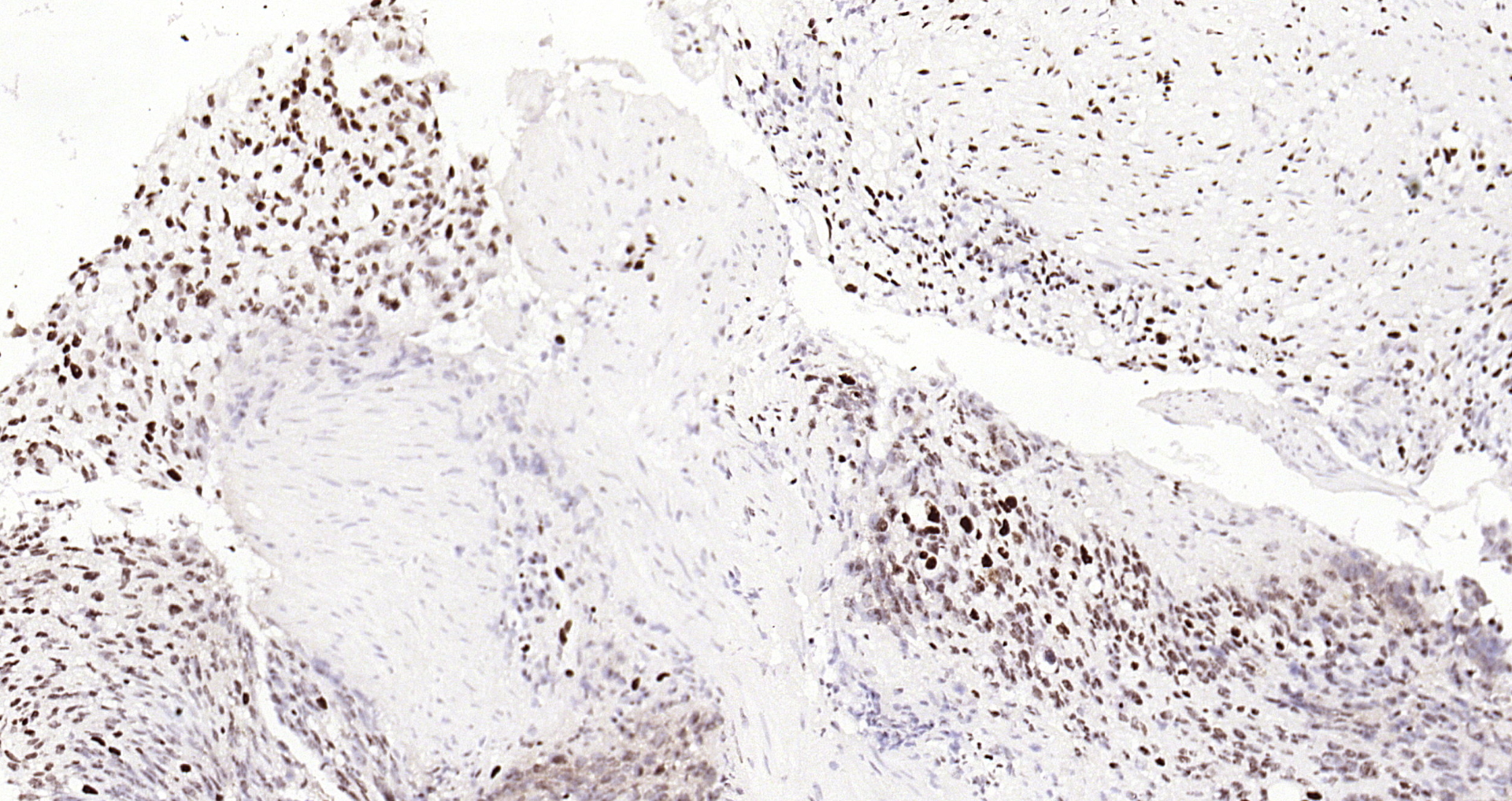
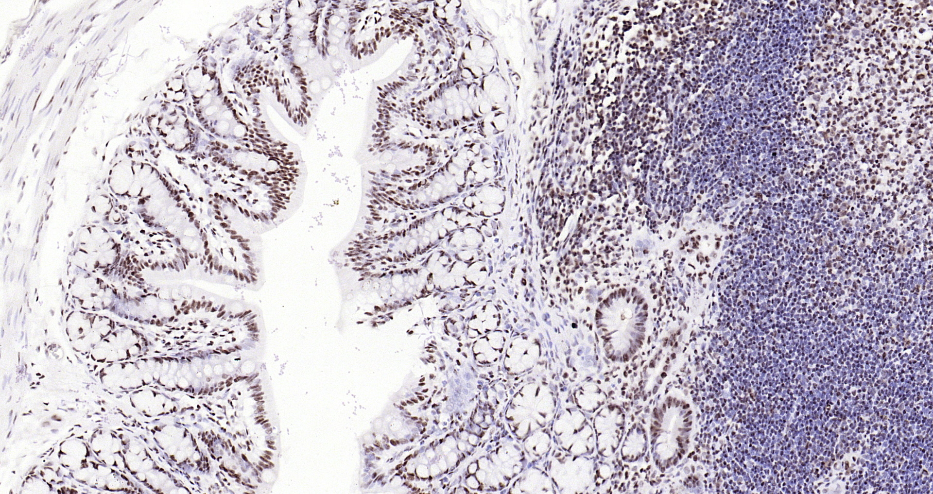
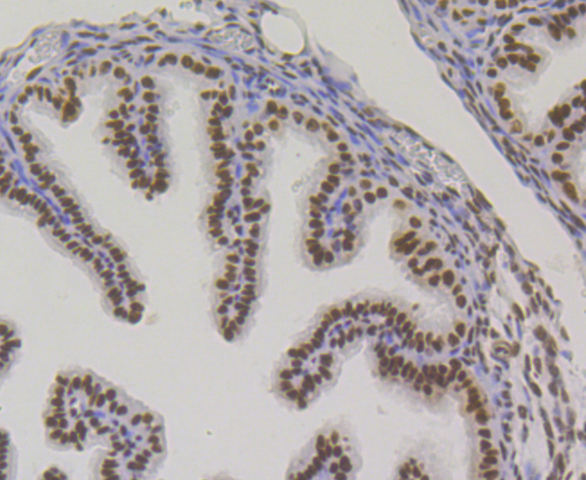
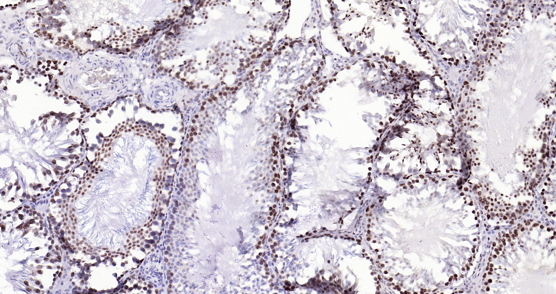
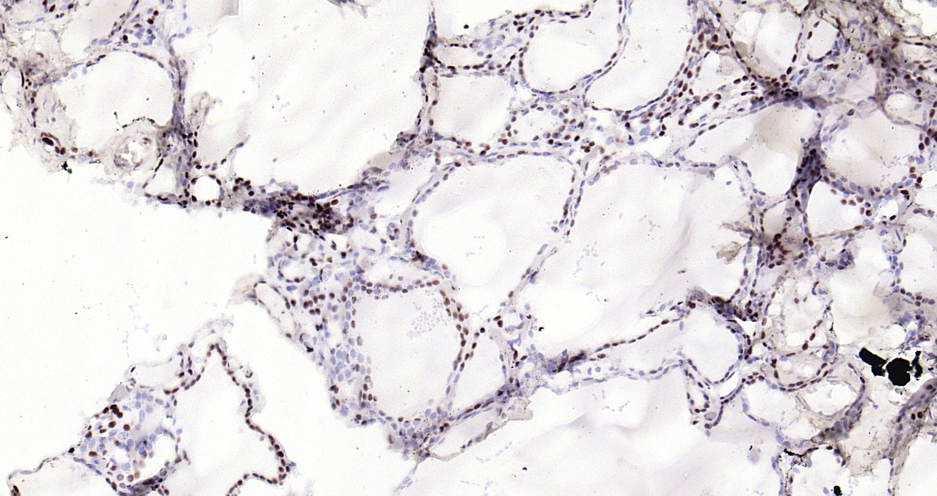
Catalog # bsm-54413r
Product Name BUB3 Recombinant Antibody
Applications WB, FCM, IHC-P, IF(IHC-P), IF(ICC), IP
Reactivity Human, Mouse, Rat
Specifications
Conjugation Unconjugated
Host Rabbit
Source Recombinant protein corresponding to the N-terminus of human Bub3.
Clonality Recombinant
Isotype IgG
Concentration 1ug/ul
Purification Purified by Protein A.
Storage Buffer 0.01M TBS (pH 7.4), 1% BSA, 0.02% Proclin 300, and 50% Glycerol
Storage Condition Shipped at 4C. Store at -20C for one year. Avoid repeated freeze/thaw cycles.
Target
Gene ID 9184
Swiss Prot O43684
Subcellular location Nucleus
Synonyms Mitotic checkpoint protein BUB3; BUB3
Background Has a dual function in spindle-assembly checkpoint signaling and in promoting the establishment of correct kinetochore-microtubule (K-MT) attachments. Promotes the formation of stable end-on bipolar attachments. Necessary for kinetochore localization of BUB1. Regulates chromosome segregation during oocyte meiosis. The BUB1/BUB3 complex plays a role in the inhibition of anaphase-promoting complex or cyclosome (APC/C) when spindle-assembly checkpoint is activated and inhibits the ubiquitin ligase activity of APC/C by phosphorylating its activator CDC20. This complex can also phosphorylate MAD1L1.
Application Dilution
WB 1:300-5000
FCM 1:20-100
IHC-P 1:200-400
IF(IHC-P) 1:50-200
IF(ICC) 1:50-200
IP 1-2ug