Receive 30% off all Monoclonal IHC antibodies with code "MONO-IHC-30"! Offer valid for US customers and available internationally through distributors.

HYOU1 (5H4) Monoclonal Antibody

Applications

  • WB
  • FCM
  • IHC-P

Reactivity

  • Human
  • Mouse
  • Rat
Overview
Catalog # bsm-54415R
Product Name HYOU1 (5H4) Monoclonal Antibody
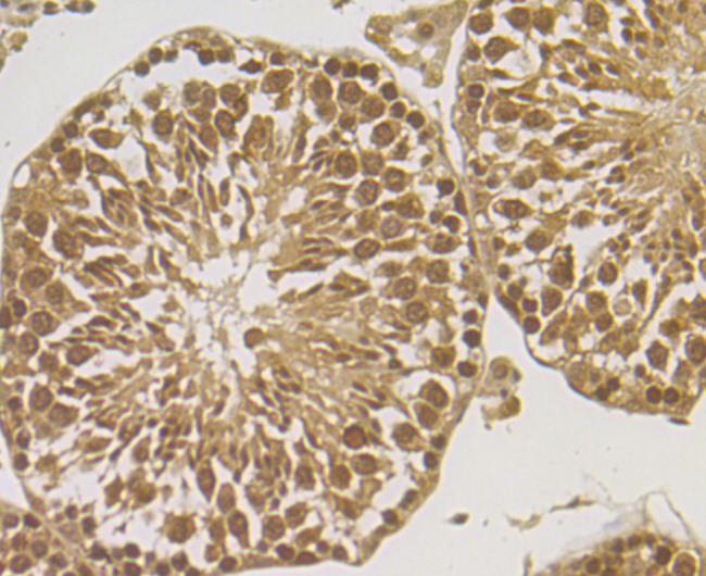
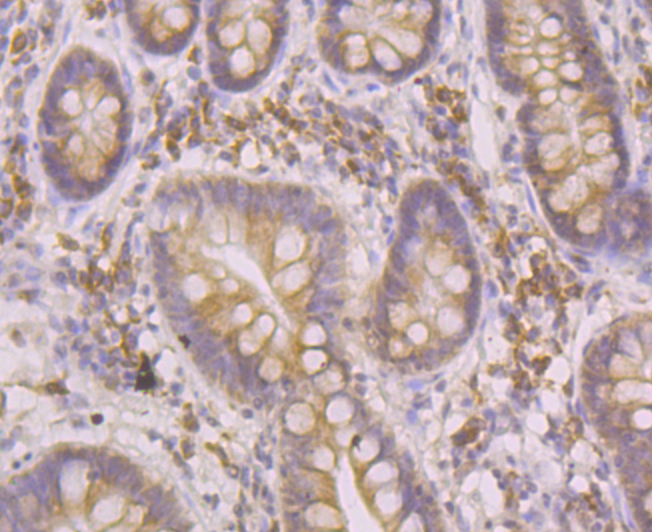
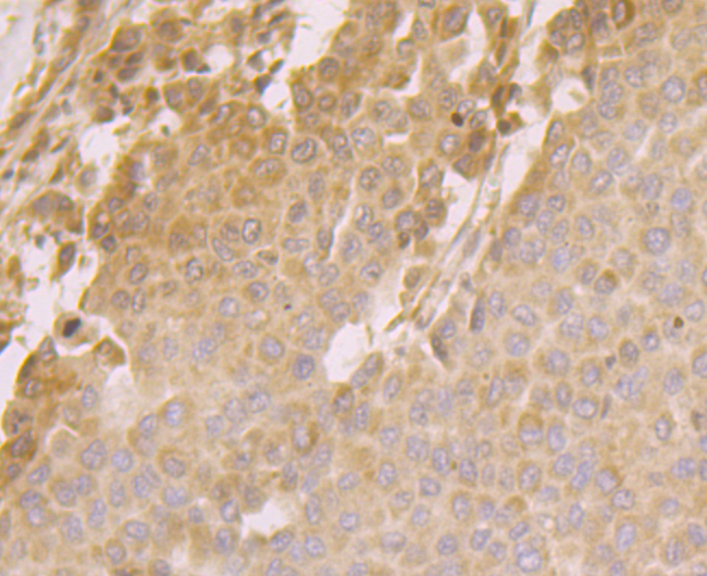
Applications WB, FCM, IHC-P
Reactivity Human, Mouse, Rat
Specifications
Conjugation Unconjugated
Host Rabbit
Source Recombinant protein within human ORP150 aa 800-950.
Clonality Monoclonal
Clone # #REF!
Isotype IgG
Concentration 1ug/ul
Purification Purified by Protein A.
Storage Buffer 0.01M TBS(pH7.4) with 1% BSA, 0.02% Proclin300 and 50% Glycerol.
Storage Condition Store at -20C for 12 months.
Target
Gene ID 10525
Swiss Prot Q9Y4L1
Subcellular location Endoplasmic reticulum
Synonyms Hypoxia up-regulated protein 1; 150 kDa oxygen-regulated protein; 170 kDa glucose-regulated protein; ORP-150; GRP-170; HYOU1; GRP170; ORP150
Background ORP150, also known as HYOU1 (hypoxia upregulated 1), is a 999 amino acid protein that localizes to the lumen of the endoplasmic reticulum (ER) and is a member of the heat shock protein 70 (HSP 70) family. ORP150 is highly expressed in tissues that have well-developed ERs and a large number of secretory proteins (such as liver and pancreas). It is expressed at lower levels in kidney and brain, and plays an essential role in cytoprotective cellular responses to hypoxia (oxygen deprivation). Specifically, ORP150 participates in protein folding and secretion in the ER and functions to protect cells from hypoxia-induced apoptosis, thereby playing a crucial role in cell survival. ORP150 expression is upregulated in a variety of tumors, such as breast cancer, suggesting an important role in tumorigenesis. The gene encoding ORP150 has two translation initiation sites, resulting in a truncated transcript that lacks an ER signal peptide, but is thought to function as a housekeeping protein in the cytoplasm.
Application Dilution
WB 1:300-5000
FCM 1:20-100
IHC-P 1:200-400