Receive 30% off all Monoclonal IHC antibodies with code "MONO-IHC-30"! Offer valid for US customers and available internationally through distributors.

ADAMTS13 Recombinant Antibody

Applications

  • WB
  • IHC-P
  • IHC-F
  • IF
  • Flow-Cyt

Reactivity

  • Human
Overview
Catalog # bsm-54417r
Product Name ADAMTS13 Recombinant Antibody
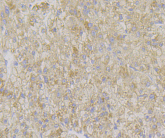
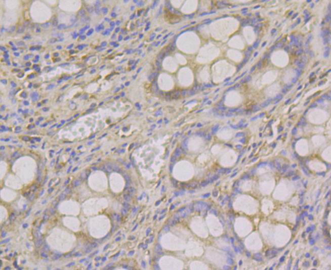
Applications WB, IHC-P, IHC-F, IF, Flow-Cyt
Reactivity Human
Specifications
Conjugation Unconjugated
Host Rabbit
Source Recombinant protein within human ADAMTS13 aa 150-350.
Clonality Recombinant
Isotype IgG
Concentration 1ug/ul
Purification Purified by Protein A.
Storage Buffer 0.01M TBS (pH 7.4), 1% BSA, 0.02% Proclin 300, and 50% Glycerol
Storage Condition Shipped at 4C. Store at -20C for one year. Avoid repeated freeze/thaw cycles.
Target
Gene ID 11093
Swiss Prot Q76LX8
Subcellular location Secreted
Synonyms A disintegrin and metalloproteinase with thrombospondin motifs 13; von Willebrand factor-cleaving protease; ADAM-TS 13; ADAM-TS13; ADAMTS-13; vWF-CP; vWF-cleaving protease; ADAMTS13; C9orf8
Background This gene encodes a member of the ADAMTS (a disintegrin and metalloproteinase with thrombospondin motif) protein family. Members of the family share several distinct protein modules, including a propeptide region, a metalloproteinase domain, a disintegrin-like domain, and a thrombospondin type 1 (TS) motif. Individual members of this family differ in the number of C-terminal TS motifs, and some have unique C-terminal domains. The enzyme encoded by this gene is the von Willebrand Factor (vWF)-cleaving protease, which is responsible for cleaving at the site of Tyr842-Met843 of the vWF molecule. A deficiency of this enzyme is associated with thrombotic thrombocytopenic purpura. Alternative splicing of this gene generates multiple transcript variants encoding different isoforms.
Application Dilution
WB 1:300-5000
IHC-P 1:200-400
IHC-F 1:100-500
IF
Flow-Cyt 1ug/Test