Receive 30% off all Monoclonal IHC antibodies with code "MONO-IHC-30"! Offer valid for US customers and available internationally through distributors.

SUN1 Recombinant Antibody

Applications

  • WB
  • FCM
  • IHC-P
  • IF(IHC-P)
  • IF(ICC)

Reactivity

  • Human
  • Rat
Overview
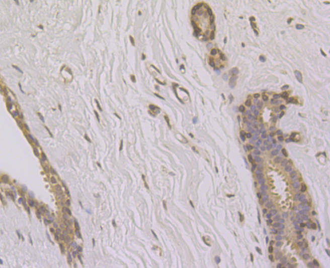
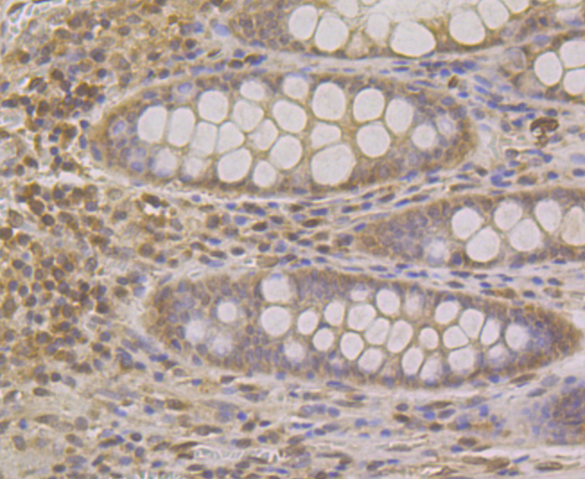
Catalog # bsm-54420R
Product Name SUN1 Recombinant Antibody
Applications WB, FCM, IHC-P, IF(IHC-P), IF(ICC)
Reactivity Human, Rat
Specifications
Conjugation Unconjugated
Host Rabbit
Source Recombinant protein corresponding to C-terminal human SUN1.
Clonality Monoclonal
Clone # #REF!
Isotype IgG
Concentration 1ug/ul
Purification Purified by Protein A.
Storage Buffer 0.01M TBS(pH7.4) with 1% BSA, 0.02% Proclin300 and 50% Glycerol.
Storage Condition Store at -20C for 12 months.
Target
Gene ID 23353
Swiss Prot O94901
Subcellular location Nucleus
Synonyms SUN domain-containing protein 1, Protein unc-84 homolog A, Sad1/unc-84 protein-like 1, SUN1, KIAA0810, UNC84A
Background As a component of the LINC (LInker of Nucleoskeleton and Cytoskeleton) complex involved in the connection between the nuclear lamina and the cytoskeleton. The nucleocytoplasmic interactions established by the LINC complex play an important role in the transmission of mechanical forces across the nuclear envelope and in nuclear movement and positioning. Required for interkinetic nuclear migration (INM) and essential for nucleokinesis and centrosome-nucleus coupling during radial neuronal migration in the cerebral cortex and during glial migration. Involved in telomere attachment to nuclear envelope in the prophase of meiosis implicating a SUN1/2:KASH5 LINC complex in which SUN1 and SUN2 seem to act at least partial redundantly. Required for gametogenesis and involved in selective gene expression of coding and non-coding RNAs needed for gametogenesis. Helps to define the distribution of nuclear pore complexes (NPCs). Required for efficient localization of SYNE4 in the nuclear envelope. May be involved in nuclear remodeling during sperm head formation in spermatogenenis. May play a role in DNA repair by suppressing non-homologous end joining repair to facilitate the repair of DNA cross-links.
Application Dilution
WB 1:300-5000
FCM 1:20-100
IHC-P 1:200-400
IF(IHC-P) 1:50-200
IF(ICC) 1:50-200