Receive 30% off all Monoclonal IHC antibodies with code "MONO-IHC-30"! Offer valid for US customers and available internationally through distributors.

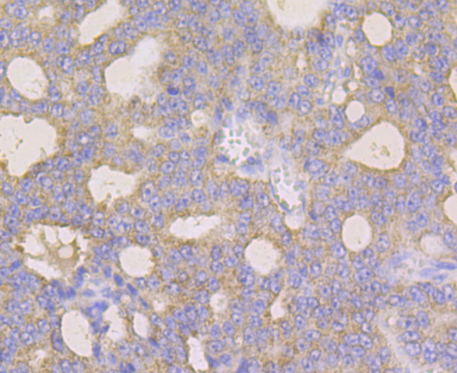
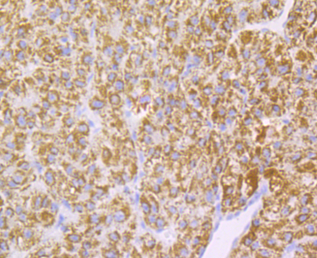
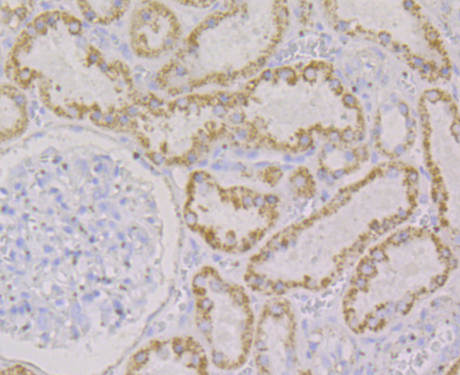
Monoamine Oxidase B (2F6) Monoclonal Antibody

Applications

  • WB
  • IHC-P

Reactivity

  • Human
Overview
Catalog # bsm-54426R
Product Name Monoamine Oxidase B (2F6) Monoclonal Antibody
Applications WB, IHC-P
Reactivity Human
Specifications
Conjugation Unconjugated
Host Rabbit
Source Recombinant protein within human Monoamine Oxidase B aa 1-200.
Clonality Monoclonal
Clone # #REF!
Isotype IgG
Concentration 1ug/ul
Purification Purified by Protein A.
Storage Buffer 0.01M TBS(pH7.4) with 1% BSA, 0.02% Proclin300 and 50% Glycerol.
Storage Condition Store at -20C for 12 months.
Target
Gene ID 4129
Swiss Prot P27338
Subcellular location Mitochondrion
Synonyms Amine oxidase [flavin-containing] B; Monoamine oxidase type B; MAO-B; MAOB
Background Catalyzes the oxidative deamination of biogenic and xenobiotic amines and has important functions in the metabolism of neuroactive and vasoactive amines in the central nervous system and peripheral tissues. MAOB preferentially degrades benzylamine and phenylethylamine.
Application Dilution
WB 1:300-5000
IHC-P 1:200-400