Receive 30% off all Monoclonal IHC antibodies with code "MONO-IHC-30"! Offer valid for US customers and available internationally through distributors.

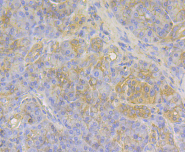
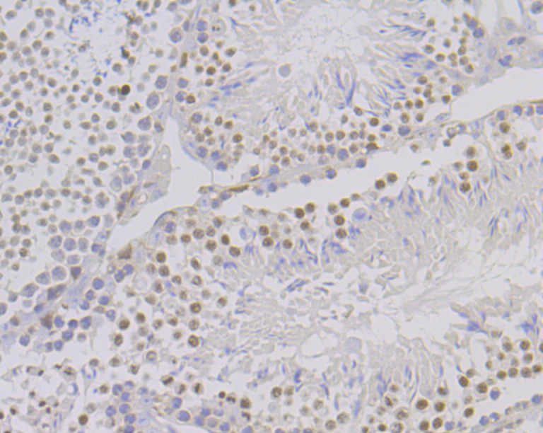
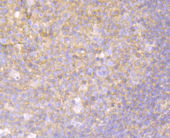
O-GlcNAcase (1A5) Monoclonal Antibody

Applications

  • WB
  • IHC-P
  • IP

Reactivity

  • Human
  • Mouse
Overview
Catalog # bsm-54428R
Product Name O-GlcNAcase (1A5) Monoclonal Antibody
Applications WB, IHC-P, IP
Reactivity Human, Mouse
Specifications
Conjugation Unconjugated
Host Rabbit
Source Recombinant protein of N-terminal human MGEA5.
Clonality Monoclonal
Clone # #REF!
Isotype IgG
Concentration 1ug/ul
Purification Purified by Protein A.
Storage Buffer 0.01M TBS(pH7.4) with 1% BSA, 0.02% Proclin300 and 50% Glycerol.
Storage Condition Store at -20C for 12 months.
Target
Gene ID 10724
Swiss Prot O60502
Subcellular location Cytoplasm, Nucleus
Synonyms Protein O-GlcNAcase; Beta-N-acetylglucosaminidase; Beta-N-acetylhexosaminidase; Beta-hexosaminidase; Meningioma-expressed antigen 5; N-acetyl-beta-D-glucosaminidase; N-acetyl-beta-glucosaminidase; Nuclear cytoplasmic O-GlcNAcase and acetyltransferase; OGA; NCOAT; MGEA5; HEXC; KIAA0679; MEA5
Background Isoform 1: - Cleaves GlcNAc but not GalNAc from O-glycosylated proteins. Can use p-nitrophenyl-beta-GlcNAc and 4-methylumbelliferone-GlcNAc as substrates but not p-nitrophenyl-beta-GalNAc or p-nitrophenyl-alpha-GlcNAc (in vitro). Does not bind acetyl-CoA and does not have histone acetyltransferase activity. Isoform 3: - Cleaves GlcNAc but not GalNAc from O-glycosylated proteins. Can use p-nitrophenyl-beta-GlcNAc as substrate but not p-nitrophenyl-beta-GalNAc or p-nitrophenyl-alpha-GlcNAc (in vitro), but has about six times lower specific activity than isoform 1.
Application Dilution
WB 1:300-5000
IHC-P 1:200-400
IP 1-2ug