Receive 30% off all Monoclonal IHC antibodies with code "MONO-IHC-30"! Offer valid for US customers and available internationally through distributors.

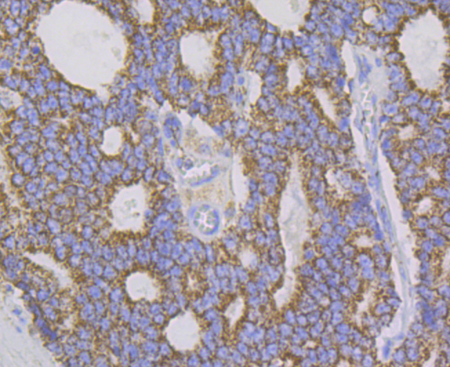
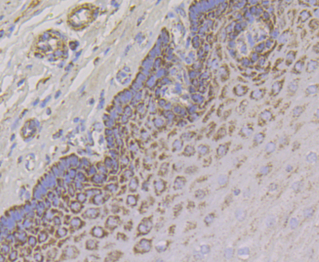
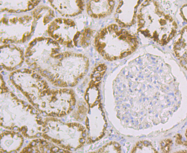
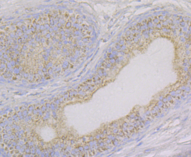
Aconitase 2 (2F4) Monoclonal Antibody

Applications

  • WB
  • IHC-P
  • IF(IHC-P)
  • IF(ICC)
  • IP

Reactivity

  • Human
  • Mouse
  • Rat
Overview
Catalog # bsm-54442R
Product Name Aconitase 2 (2F4) Monoclonal Antibody
Applications WB, IHC-P, IF(IHC-P), IF(ICC), IP
Reactivity Human, Mouse, Rat
Specifications
Conjugation Unconjugated
Host Rabbit
Source Recombinant protein within human Aconitase 2 aa 1-150.
Clonality Monoclonal
Clone # #REF!
Isotype IgG
Concentration 1ug/ul
Purification Purified by Protein A.
Storage Buffer 0.01M TBS(pH7.4) with 1% BSA, 0.02% Proclin300 and 50% Glycerol.
Storage Condition Store at -20C for 12 months.
Target
Gene ID 50
Swiss Prot Q99798
Subcellular location Mitochondrion
Synonyms Aconitate hydratase mitochondrial; Citrate hydro-lyase; Aconitase; ACO2
Background Aconitase 2, mitochondrial is a protein that in humans is encoded by the ACO2 gene. The protein encoded by this gene belongs to the aconitase/IPM isomerase family. It is an enzyme that catalyzes the interconversion of citrate to isocitrate via cis-aconitate in the second step of the TCA cycle. This protein is encoded in the nucleus and functions in the mitochondrion. It was found to be one of the mitochondrial matrix proteins that are preferentially degraded by the serine protease 15 (PRSS15), also known as Lon protease, after oxidative modification.
Application Dilution
WB 1:300-5000
IHC-P 1:200-400
IF(IHC-P) 1:50-200
IF(ICC) 1:50-200
IP 1-2ug