Receive 30% off all Monoclonal IHC antibodies with code "MONO-IHC-30"! Offer valid for US customers and available internationally through distributors.

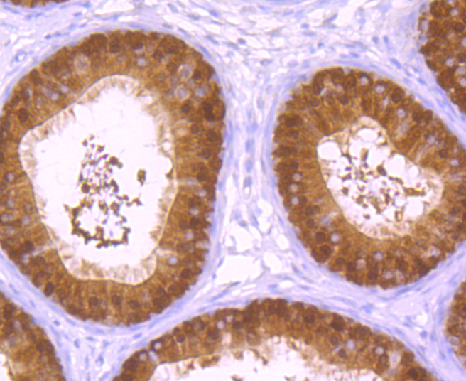
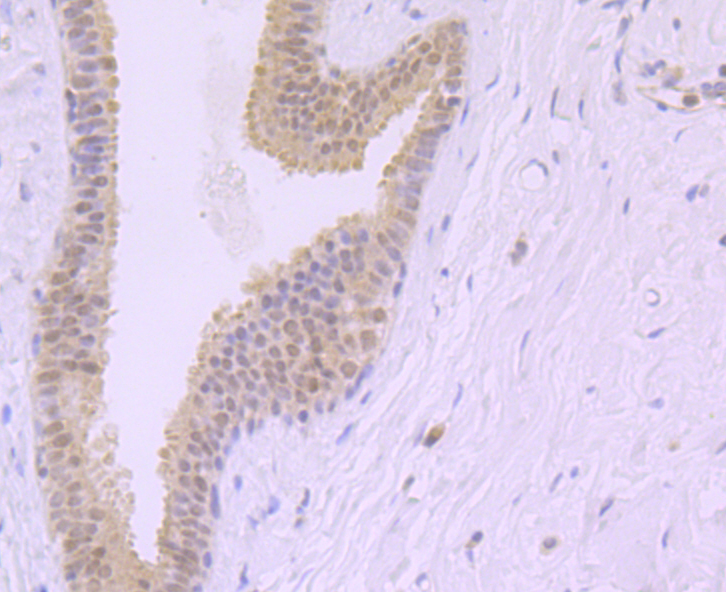
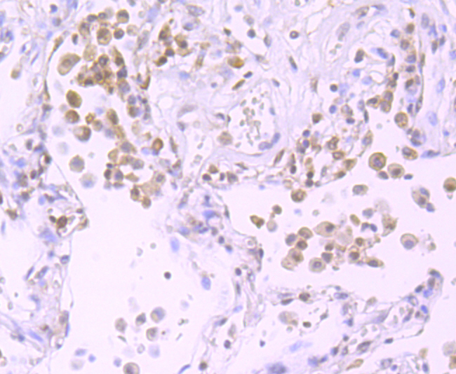
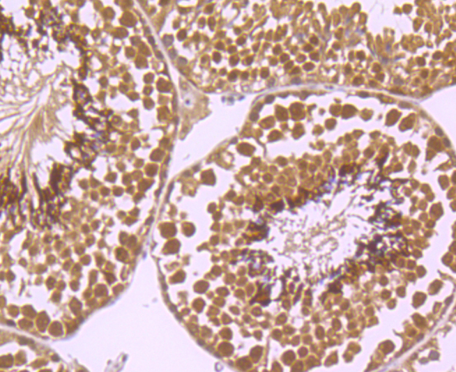
Exportin-5 (4H7) Monoclonal Antibody

Applications

  • WB
  • FCM
  • IHC-P

Reactivity

  • Human
  • Mouse
  • Rat
Overview
Catalog # bsm-54445R
Product Name Exportin-5 (4H7) Monoclonal Antibody
Applications WB, FCM, IHC-P
Reactivity Human, Mouse, Rat
Specifications
Conjugation Unconjugated
Host Rabbit
Source Recombinant protein within human Exportin-5 aa 1-200.
Clonality Monoclonal
Clone # #REF!
Isotype IgG
Concentration 1ug/ul
Purification Purified by Protein A.
Storage Buffer 0.01M TBS(pH7.4) with 1% BSA, 0.02% Proclin300 and 50% Glycerol.
Storage Condition Store at -20C for 12 months.
Target
Gene ID 57510
Swiss Prot Q9HAV4
Subcellular location Cytoplasm, Nucleus
Synonyms Exportin-5; Ran-binding protein 21; Exp5; XPO5; KIAA1291; RANBP21
Background Mediates the nuclear export of proteins bearing a double-stranded RNA binding domain (dsRBD) and double-stranded RNAs (cargos). XPO5 in the nucleus binds cooperatively to the RNA and to the GTPase Ran in its active GTP-bound form. Proteins containing dsRBDs can associate with this trimeric complex through the RNA. Docking of this complex to the nuclear pore complex (NPC) is mediated through binding to nucleoporins. Upon transit of a nuclear export complex into the cytoplasm, hydrolysis of Ran-GTP to Ran-GDP (induced by RANBP1 and RANGAP1, respectively) cause disassembly of the complex and release of the cargo from the export receptor. XPO5 then returns to the nuclear compartment by diffusion through the nuclear pore complex, to mediate another round of transport. The directionality of nuclear export is thought to be conferred by an asymmetric distribution of the GTP- and GDP-bound forms of Ran between the cytoplasm and nucleus. Overexpression may in some circumstances enhance RNA-mediated gene silencing (RNAi). Mediates nuclear export of isoform 5 of ADAR/ADAR1 in a RanGTP-dependent manner. Mediates the nuclear export of micro-RNA precursors, which form short hairpins. Also mediates the nuclear export of synthetic short hairpin RNAs used for RNA interference. In some circumstances can also mediate the nuclear export of deacylated and aminoacylated tRNAs. Specifically recognizes dsRNAs that lack a 5'-overhang in a sequence-independent manner, have only a short 3'-overhang, and that have a double-stranded length of at least 15 base-pairs. Binding is dependent on Ran-GTP.
Application Dilution
WB 1:300-5000
FCM 1:20-100
IHC-P 1:200-400