Receive 30% off all Monoclonal IHC antibodies with code "MONO-IHC-30"! Offer valid for US customers and available internationally through distributors.

MARK2 Recombinant Antibody

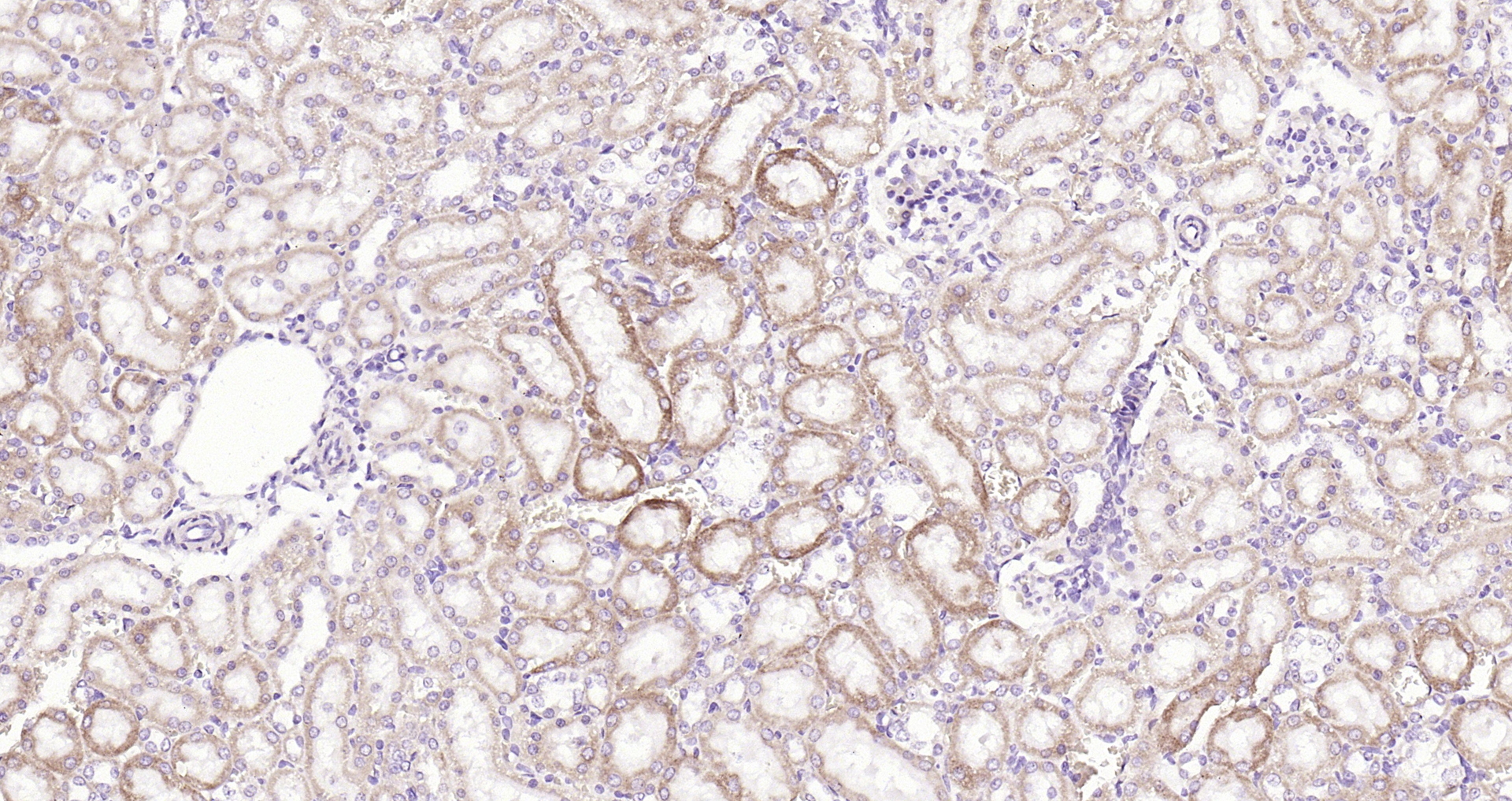
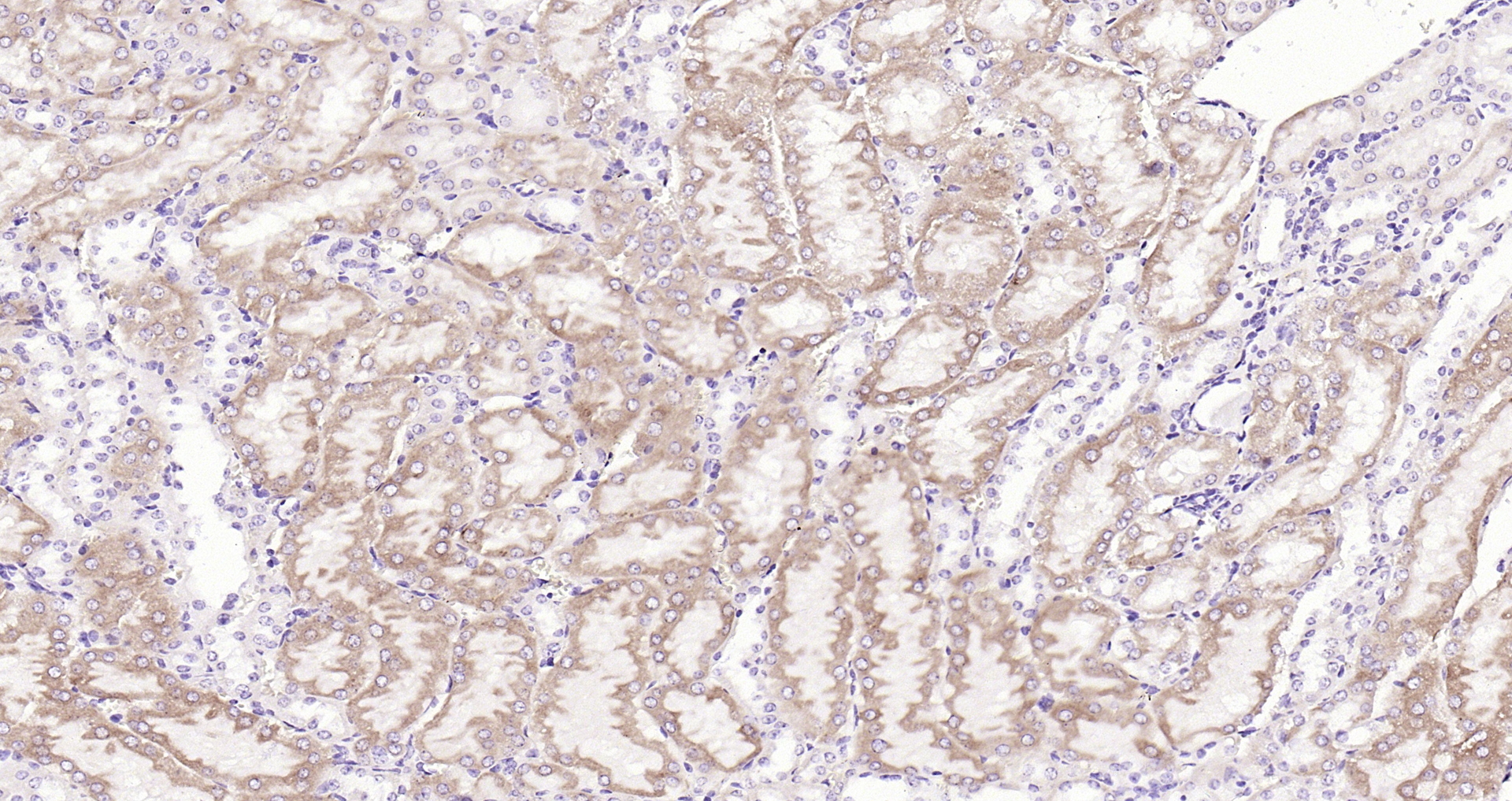
Applications

  • WB
  • IHC-P
  • IHC-F
  • IF
  • Flow-Cyt

Reactivity

  • Human
  • Mouse
  • Rat
Overview
Catalog # bsm-54447r
Product Name MARK2 Recombinant Antibody
Applications WB, IHC-P, IHC-F, IF, Flow-Cyt
Reactivity Human, Mouse, Rat
Specifications
Conjugation Unconjugated
Host Rabbit
Source Recombinant protein near the C-terminus of human MARK2.
Clonality Recombinant
Isotype IgG
Concentration 1ug/ul
Purification Purified by Protein A.
Storage Buffer 0.01M TBS (pH 7.4), 1% BSA, 0.02% Proclin 300, and 50% Glycerol
Storage Condition Shipped at 4C. Store at -20C for one year. Avoid repeated freeze/thaw cycles.
Target
Gene ID 2011
Swiss Prot Q7KZI7
Subcellular location Cytoplasm, Cell membrane, Cytoskeleton
Synonyms Serine/threonine-protein kinase MARK2; ELKL motif kinase 1; MAP/microtubule affinity-regulating kinase 2; EMK-1; Par-1b; Par1b; MARK2; EMK1
Background MARK2 refers to MAP/microtubule affinity-regulating kinase 2 isoform a [Homo sapiens]. EMK (ELKL Motif Kinase) is a small family of ser/thr protein kinases involved in the control of cell polarity, microtubule.stability and cancer. Several cDNA clones have been isolated that encoded two isoforms of the human ser/thr protein kinase EMK1 called MARK2. These isoforms were characterized by the presence of a 162-bp alternative exon that gave rise to two forms, one containing the exon and the other one lacking it. Both forms were found to be coexpressed in a number of selected cell lines and tissue samples. Human MARK2 was shown to be encoded by a single mRNA ubiquitously expressed. This transcription variant includes the alternative exon in the coding region and therefore codes for a longer protein. Multiple splice variants exist for this protein.
Application Dilution
WB 1:300-5000
IHC-P 1:200-400
IHC-F 1:100-500
IF
Flow-Cyt 1ug/Test