Receive 30% off all Monoclonal IHC antibodies with code "MONO-IHC-30"! Offer valid for US customers and available internationally through distributors.

TBXT Recombinant Antibody

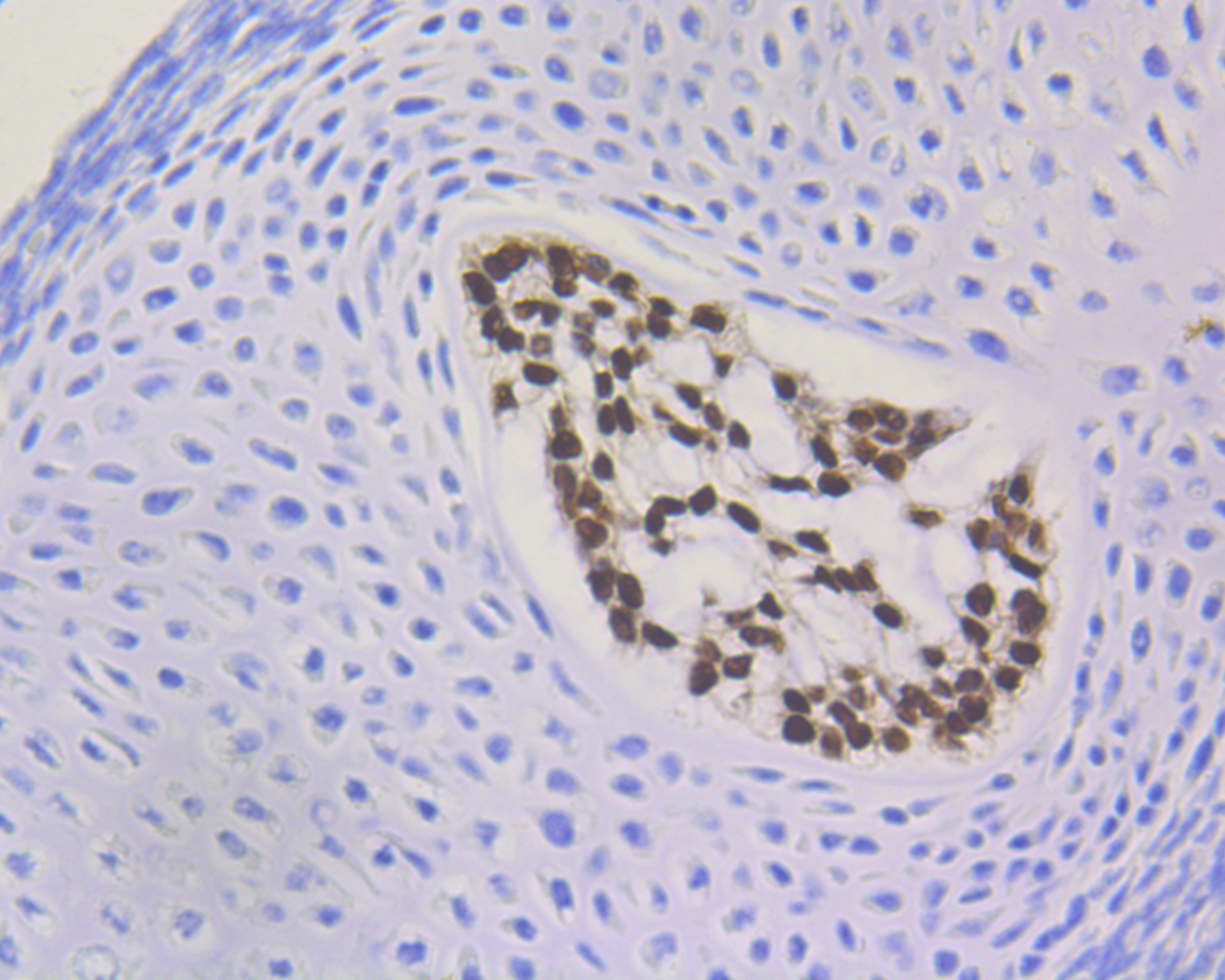
Applications

  • WB
  • FCM
  • IHC-P
  • IF(ICC)
  • IP

Reactivity

  • Human
  • Mouse
Overview
Catalog # bsm-54459R
Product Name TBXT Recombinant Antibody
Applications WB, FCM, IHC-P, IF(ICC), IP
Reactivity Human, Mouse
Specifications
Conjugation Unconjugated
Host Rabbit
Source Recombinant protein within human TBXT aa 200-400.
Clonality Monoclonal
Clone # #REF!
Isotype IgG
Concentration 1ug/ul
Purification Purified by Protein A.
Storage Buffer 0.01M TBS(pH7.4) with 1% BSA, 0.02% Proclin300 and 50% Glycerol.
Storage Condition Store at -20C for 12 months.
Target
Gene ID 6862
Swiss Prot O15178
Subcellular location Nucleus
Synonyms T-box transcription factor T; TBXT; Brachyury protein
Background TBXTis an embryonic nuclear transcription factor that binds to a specific DNA element, the palindromic T-site. It binds through a region in its N-terminus, called the T-box, and effects transcription of genes required for mesoderm formation and differentiation. The protein is localized to notochord-derived cells. Variation in this gene was associated with susceptibility to neural tube defects and chordoma. A mutation in this gene was found in a family with sacral agenesis with vertebral anomalies. Involved in the transcriptional regulation of genes required for mesoderm formation and differentiation.
Application Dilution
WB 1:300-5000
FCM 1:20-100
IHC-P 1:200-400
IF(ICC) 1:50-200
IP 1-2ug