Receive 30% off all Monoclonal IHC antibodies with code "MONO-IHC-30"! Offer valid for US customers and available internationally through distributors.

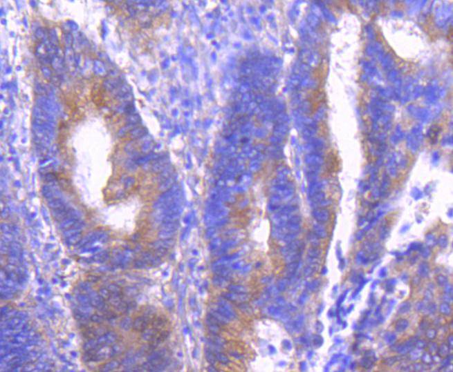
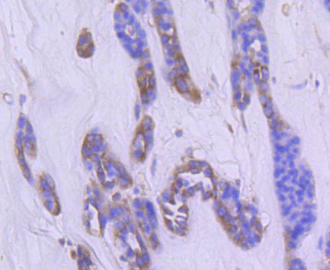
Phospho-PAK1(S144)+PAK2(S141)+PAK3(S139) Monoclonal Antibody

Applications

  • WB
  • FCM
  • IHC-P
  • IF(ICC)
  • IP
  • IHC

Reactivity

  • Human
  • Mouse
  • Rat
Overview
Catalog # bsm-54514R
Product Name Phospho-PAK1(S144)+PAK2(S141)+PAK3(S139) Monoclonal Antibody
Applications WB, FCM, IHC-P, IF(ICC), IP, IHC
Reactivity Human, Mouse, Rat
Specifications
Conjugation Unconjugated
Host Rabbit
Source Synthetic phospho-Peptide corresponding to residues surrounding Ser144 of human PAK1.
Modification Site Ser144+Ser139+Ser141
Clonality Monoclonal
Clone # #REF!
Isotype IgG
Concentration 1ug/ul
Purification Purified by Protein A.
Storage Buffer 0.01M TBS(pH7.4) with 1% BSA, 0.02% Proclin300 and 50% Glycerol.
Storage Condition Store at -20C for 12 months.
Target
Gene ID 5063
Swiss Prot O75914
Subcellular location Cytoplasm, Cell membrane
Synonyms ,
Background PAK proteins are critical effectors that link Rho GTPases to cytoskeleton reorganization and nuclear signaling. PAK proteins, a family of serine/threonine p21-activating kinases, serve as targets for the small GTP binding proteins Cdc42 and RAC and have been implicated in a wide range of biological activities. The protein encoded by this gene forms an activated complex with GTP-bound RAS-like (P21), CDC2 and RAC1 proteins which then catalyzes a variety of targets. This protein may be necessary for dendritic development and for the rapid cytoskeletal reorganization in dendritic spines associated with synaptic plasticity. Defects in this gene are the cause of non-syndromic mental retardation X-linked type 30 (MRX30), also called X-linked mental retardation type 47 (MRX47). Alternatively spliced transcript variants encoding different isoforms have been identified. [provided by RefSeq, Jul 2008]
Application Dilution
WB 1:300-5000
FCM 1:20-100
IHC-P 1:200-400
IF(ICC) 1:50-200
IP 1-2ug
IHC