Receive 30% off all Monoclonal IHC antibodies with code "MONO-IHC-30"! Offer valid for US customers and available internationally through distributors.

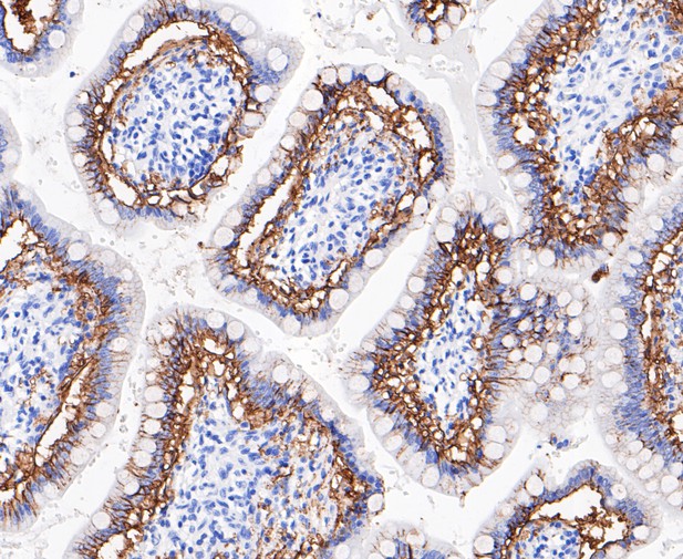
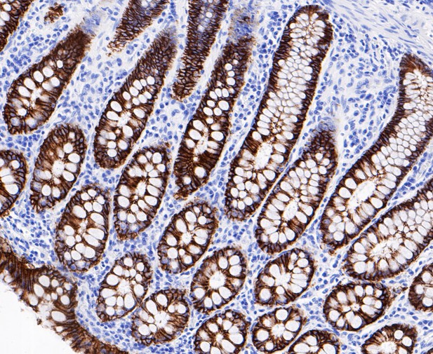
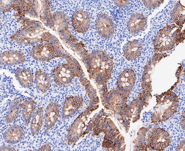
GPA33 Monoclonal Antibody

Applications

  • WB
  • IHC-P
  • IP
  • IHC

Reactivity

  • Human
Overview
Catalog # bsm-54676R
Product Name GPA33 Monoclonal Antibody
Applications WB, IHC-P, IP, IHC
Reactivity Human
Specifications
Conjugation Unconjugated
Host Rabbit
Source Synthetic Peptide within cytoplasmic domain of human GPA33.
Clonality Monoclonal
Clone # #REF!
Isotype IgG
Concentration 1ug/ul
Purification Purified by Protein A.
Storage Buffer 0.01M TBS(pH7.4) with 1% BSA, 0.02% Proclin300 and 50% Glycerol.
Storage Condition Store at -20C for 12 months.
Target
Swiss Prot Q99795
Subcellular location Membrane
Synonyms A33 antibody, Cell surface A33 antigen antibody, Cell surface A33 antigen precursor antibody, Glycoprotein A33 (transmembrane) antibody, Glycoprotein A33 antibody, Gpa33 antibody, GPA33_HUMAN antibody, MGC129986 antibody, MGC129987 antibody, OTTHUMP00000032346 antibody, Transmembrane glycoprotein A33 antibody
Application Dilution
WB 1:300-5000
IHC-P 1:200-400
IP 1-2ug
IHC