Receive 30% off all Monoclonal IHC antibodies with code "MONO-IHC-30"! Offer valid for US customers and available internationally through distributors.

CD16 Recombinant Antibody

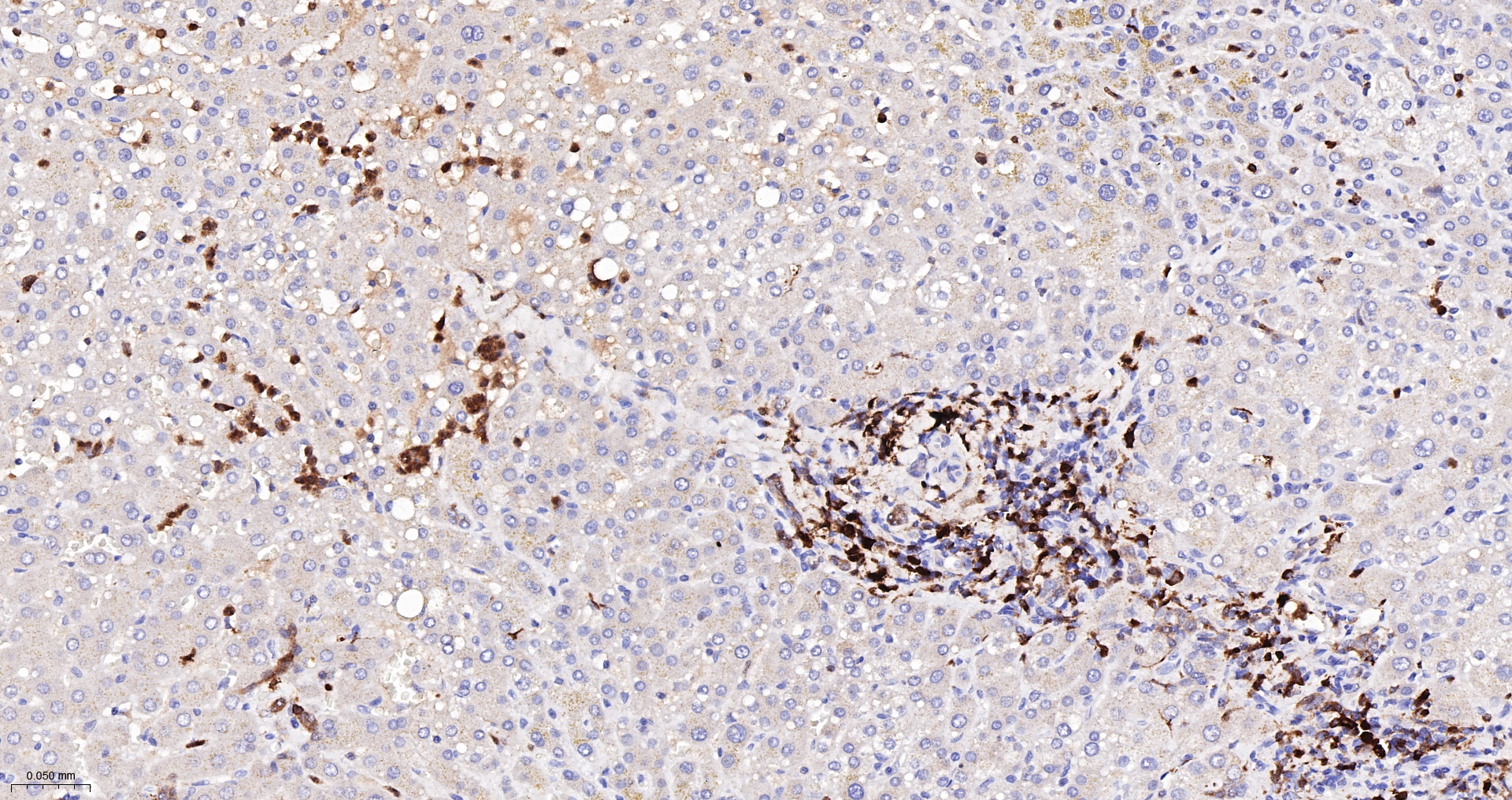
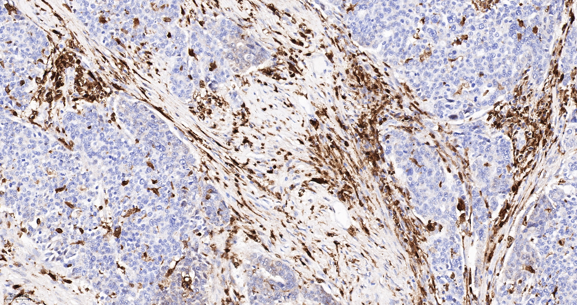
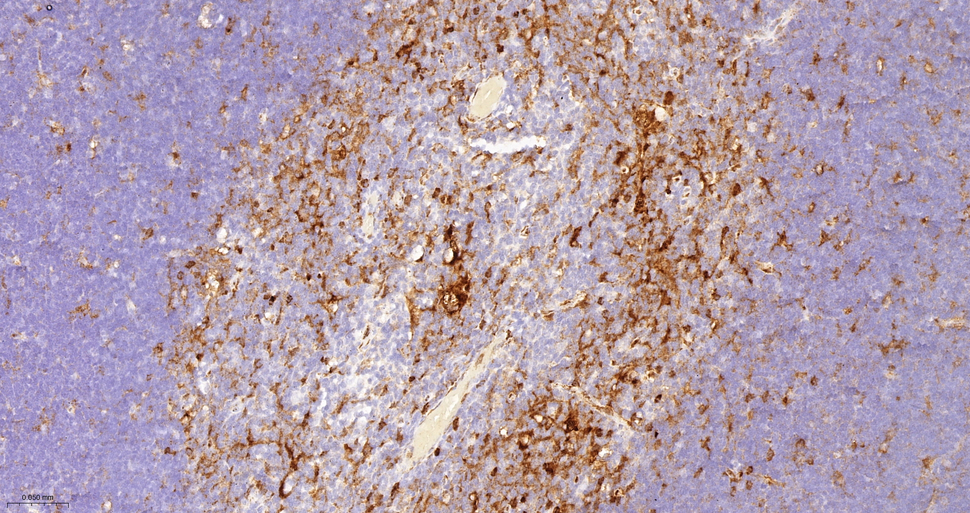
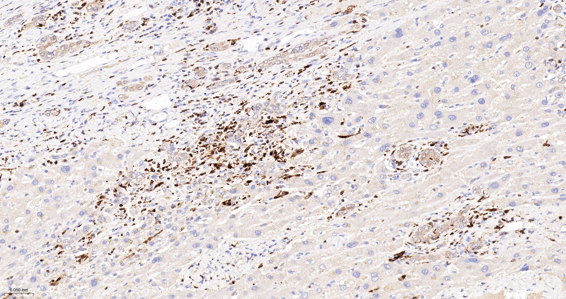
Applications

  • IHC-P
  • IHC-F
  • IF
  • Flow-Cyt
  • ICC/IF

Reactivity

  • Human
  • Rat
Overview
Catalog # bsm-54679r
Product Name CD16 Recombinant Antibody
Applications IHC-P, IHC-F, IF, Flow-Cyt, ICC/IF
Reactivity Human, Rat
Specifications
Conjugation Unconjugated
Host Rabbit
Source A synthesized peptide derived from human CD16
Clonality Recombinant
Isotype IgG
Concentration Lot dependent
Purification Purified by Protein A.
Storage Buffer 0.01M TBS(pH7.4) with 1% BSA, 0.02% Proclin300 and 50% Glycerol.
Storage Condition Shipped at 4C. Store at -20C for one year. Avoid repeated freeze/thaw cycles.
Target
Gene ID 2214
Swiss Prot P08637
Subcellular location Secreted, Cell membrane
Synonyms FCG3A_HUMAN; Low affinity immunoglobulin gamma Fc region receptor III-A; CD16a antigen; Fc-gamma RIII-alpha; Fc-gamma RIII; Fc-gamma RIIIa; FcRIII; FcRIIIa; FcR-10; IgG Fc receptor III-2; CD_antigen: D16a; FCGR3A; CD16A; FCG3; FCGR3; IGFR3.
Application Dilution
IHC-P 1:200-400
IHC-F 1:100-500
IF
Flow-Cyt 1ug/Test
ICC/IF 1:50-100