Receive 30% off all Monoclonal IHC antibodies with code "MONO-IHC-30"! Offer valid for US customers and available internationally through distributors.

CHMP2B Recombinant Antibody

Applications

  • WB
  • IHC-P
  • IHC-F
  • IF
  • ICC/IF

Reactivity

  • Human
  • Mouse
  • Rat
Overview
Catalog # bsm-54727r
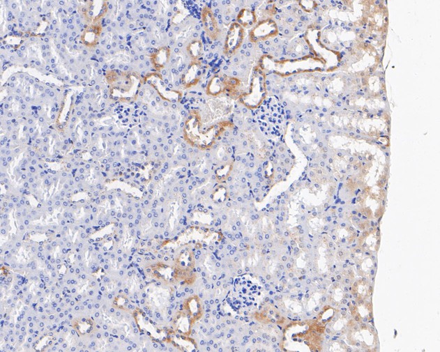
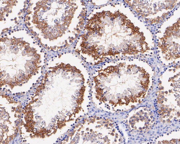
Product Name CHMP2B Recombinant Antibody
Applications WB, IHC-P, IHC-F, IF, ICC/IF
Reactivity Human, Mouse, Rat
Specifications
Conjugation Unconjugated
Host Rabbit
Source Synthetic Peptide within Human CHMP2B.
Clonality Recombinant
Isotype IgG
Concentration 1ug/ul
Purification Purified by Protein A.
Storage Buffer 0.01M TBS (pH 7.4), 1% BSA, 0.02% Proclin 300, and 50% Glycerol
Storage Condition Store at -20°C for 12 months.
Target
Gene ID 25978
Swiss Prot Q9UQN3
Subcellular location Cytoplasm, Late endosome membrane
Synonyms ALS17 antibody, Charged multivesicular body protein 2b antibody, CHM2B_HUMAN antibody, CHMP family, member 2B antibody, CHMP2.5 antibody, CHMP2b antibody, Chromatin modifying protein 2b antibody, Chromatin-modifying protein 2b antibody, DMT1 antibody, hVps2-2 antibody, Vacuolar protein sorting 2, yeast, homolog of, B antibody, Vacuolar protein sorting 2-2 antibody, Vacuolar protein sorting-associated protein 2-2 antibody, VPS2 homolog B antibody, Vps2-2 antibody, VPS2B antibody
Background The charged multivesicular body proteins, commonly designated CHMPs, belong to the vacuolar sorting protein family and function as chromatin-modifying proteins. CHMP1-6 are all components of ESCRT (endosomal sorting complex required for transport) I, II or III complexes. These complexes are crucial for sorting endosomal articles into multivesicular bodies (MVBs), and are also required for the formation of these bodies. CHMP2B, also known as CHMP2.5 or vacuolar protein-sorting-associated protein 2-2, is a 213 amino acid cytosolic protein. Widely expressed in brain, heart, skeletal muscle, small intestine, pancreas, lung, placenta and leukocytes, CHMP2B associates directly with CHMP2A and vps4 for the disassembly of the ESCRT-III complex. Defects in the gene encoding CHMP2B have been shown to cause chromosome 3-linked frontotemporal dementia (FTD3).
Application Dilution
WB 1:300-5000
IHC-P 1:200-400
IHC-F 1:100-500
IF
ICC/IF 1:50-100