Receive 30% off all Monoclonal IHC antibodies with code "MONO-IHC-30"! Offer valid for US customers and available internationally through distributors.

GAA Recombinant Antibody

Applications

  • WB
  • FCM
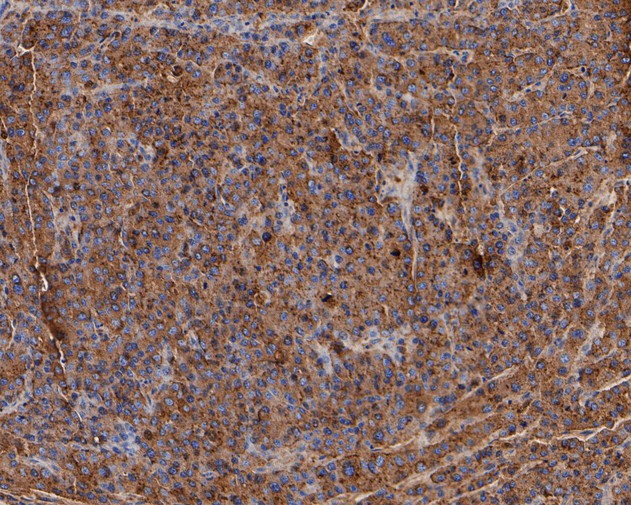
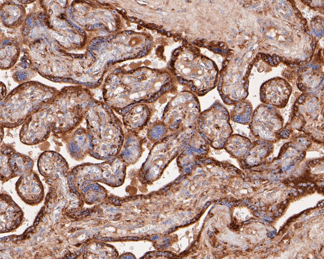
  • IHC-P

Reactivity

  • Human
Overview
Catalog # bsm-54735r
Product Name GAA Recombinant Antibody
Applications WB, FCM, IHC-P
Reactivity Human
Specifications
Conjugation Unconjugated
Host Rabbit
Source Synthetic peptide within Human GAA.
Clonality Monoclonal
Clone # #REF!
Isotype IgG
Concentration Lot dependent
Purification Purified by Protein A.
Storage Buffer 0.01M TBS(pH7.4) with 1% BSA, 0.02% Proclin300 and 50% Glycerol.
Storage Condition Store at -20C for 12 months.
Target
Gene ID 2548
Swiss Prot P10253
Subcellular location Lysosome, Lysosome membrane
Synonyms 70 kDa lysosomal alpha-glucosidase antibody, Acid alpha glucosidase antibody, Acid maltase antibody, Aglucosidase alfa antibody, Alpha glucosidase antibody, GAA antibody, Glucosidase alpha acid (Pompe disease glycogen storage disease type II) antibody, Glucosidase alpha acid antibody, Glucosidase alpha antibody, LYAG antibody, LYAG_HUMAN antibody, Lysosomal alpha glucosidase antibody
Background This gene encodes acid alpha-glucosidase, which is essential for the degradation of glycogen to glucose in lysosomes. Different forms of acid alpha-glucosidase are obtained by proteolytic processing. Defects in this gene are the cause of glycogen storage disease II, also known as Pompe's disease, which is an autosomal recessive disorder with a broad clinical spectrum. Three transcript variants encoding the same protein have been found for this gene. [provided by RefSeq, Jul 2008].
Application Dilution
WB 1:300-5000
FCM 1:20-100
IHC-P 1:200-400