| Overview |
| bsm-54762r |
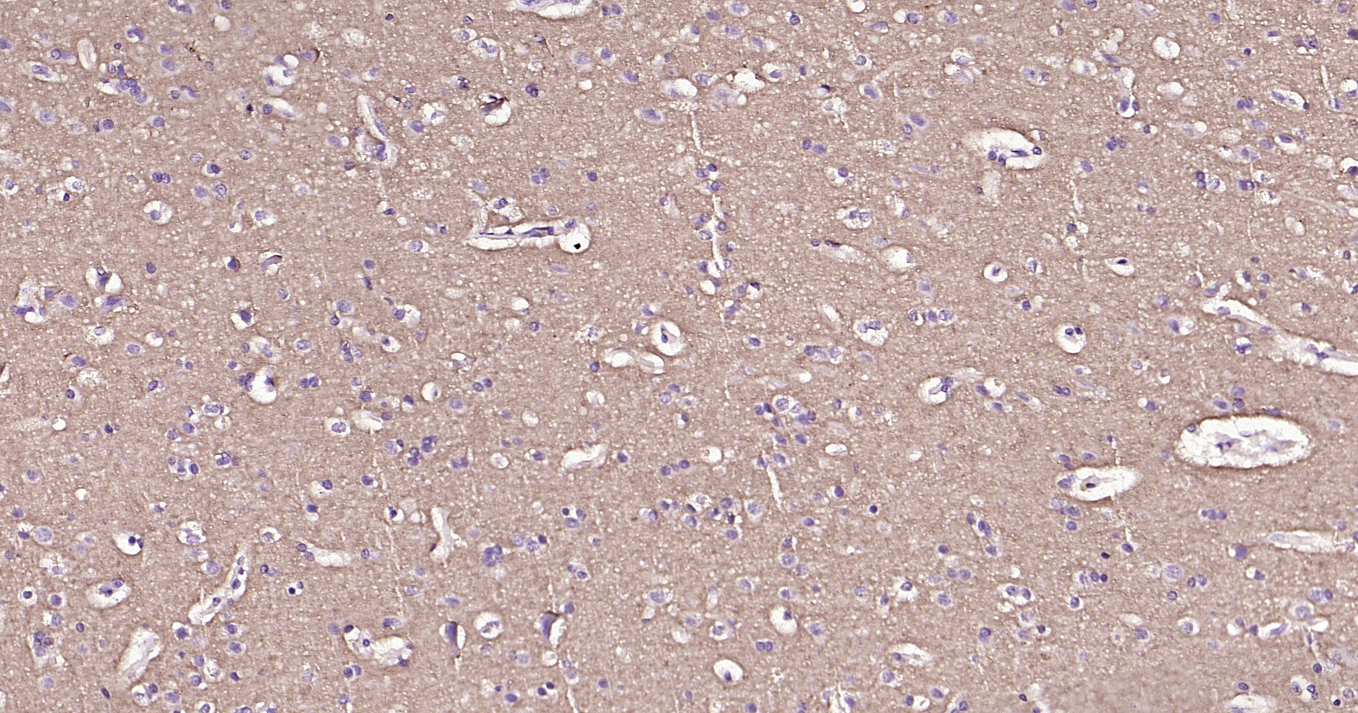
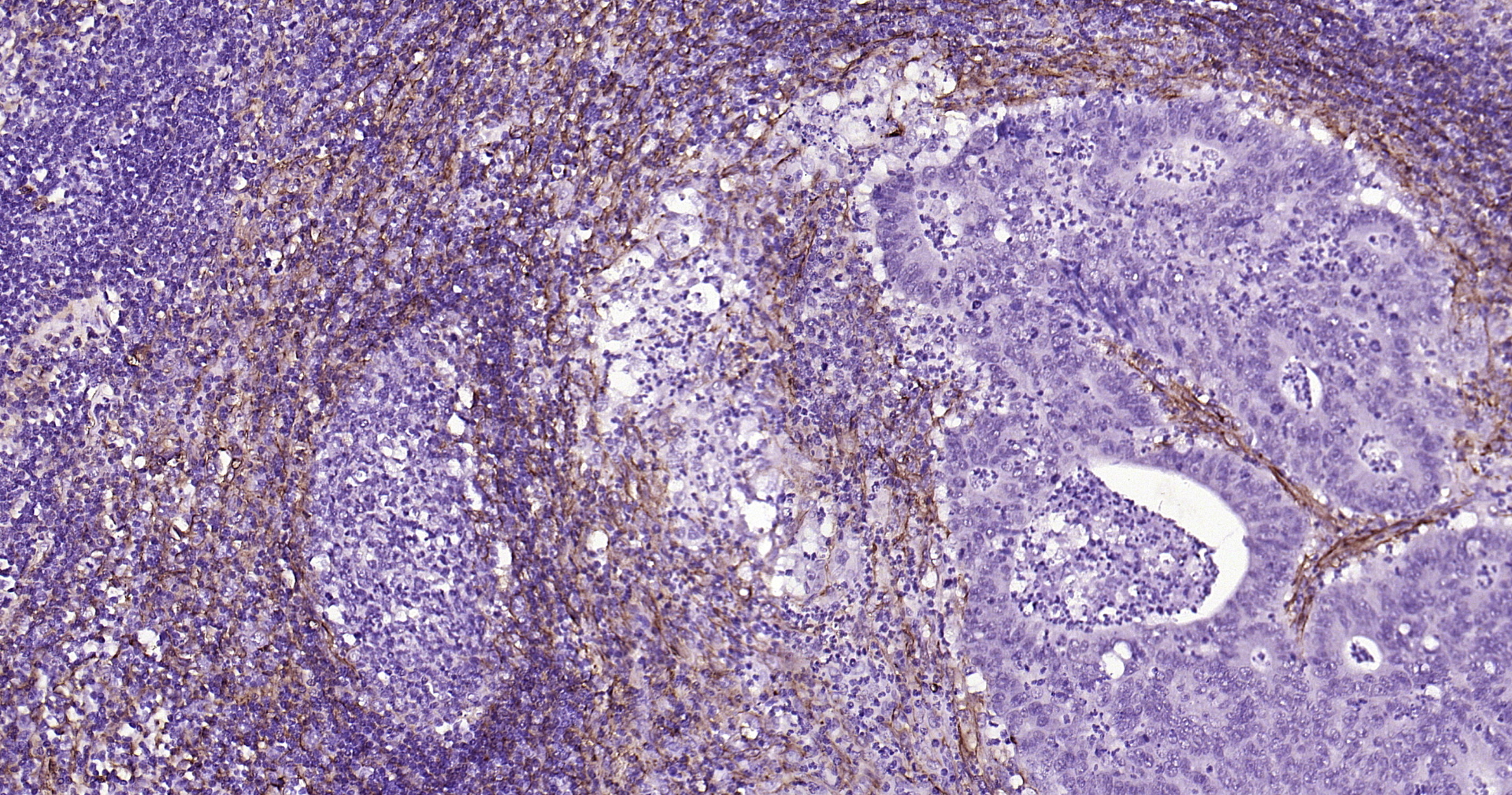
| CD90/Thy-1 Recombinant Antibody |
| WB, IHC-P, IHC-F, IF |
| Human, Rat |
| Specifications |
| Unconjugated |
| Rabbit |
| KLH conjugated synthetic peptide derived from human CD90 |
| Recombinant |
| IgG |
| Lot Dependent |
| Purified by Protein A. |
| 0.01M TBS (pH 7.4), 1% BSA, 0.02% Proclin 300, and 50% Glycerol |
| Store at +4°C after thawing. Aliquot store at -20°C or -80°C. Avoid repeated freeze / thaw cycles. |
| Target |
| 7070 |
| P04216 |
| Cell membrane |
| CD90 / Thy1; CD7; CD90 antigen; CDw90; FLJ33325; MGC128895; T25; Theta antigen; Thy-1; Thy 1; Thy 1 cell surface antigen; Thy 1 membrane glycoprotein; Thy 1 membrane glycoprotein precursor; Thy 1.2; Thy-1 T-cell antigen; Thy1 antigen; Thy1 T cell antigen; Thy1.1; Thy1.2; Thymus cell antigen 1, theta; THY1_RAT; THY1_HUMAN. |
| Thy-1 or CD90 (Cluster of Differentiation 90) is a 25–37 kDa heavily N-glycosylated, glycophosphatidylinositol (GPI) anchored conserved cell surface protein with a single V-like immunoglobulin domain, originally discovered as a thymocyte antigen. Thy-1can be used as a marker for a variety of stem cells and for the axonal processes of mature neurons. Structural study of Thy-1 lead to the foundation of the Immunoglobulin superfamily, of which it is the smallest member, and led to some of the initial biochemical description and characterization of a vertebrate GPI anchor and also the first demonstration of tissue specific differential glycosylation.
Function : May play a role in cell-cell or cell-ligand interactions during synaptogenesis and other events in the brain. |
| Application Dilution |
| WB |
1:500-2000 |
| IHC-P |
IHC-P1:50-200 |
| IHC-F |
1:100-500 |
| IF |
|