RECEIVE 25% OFF PUBLISHED ANTIBODIES WITH CODE "PUB25"! Offer valid for US customers and available internationally through distributors.

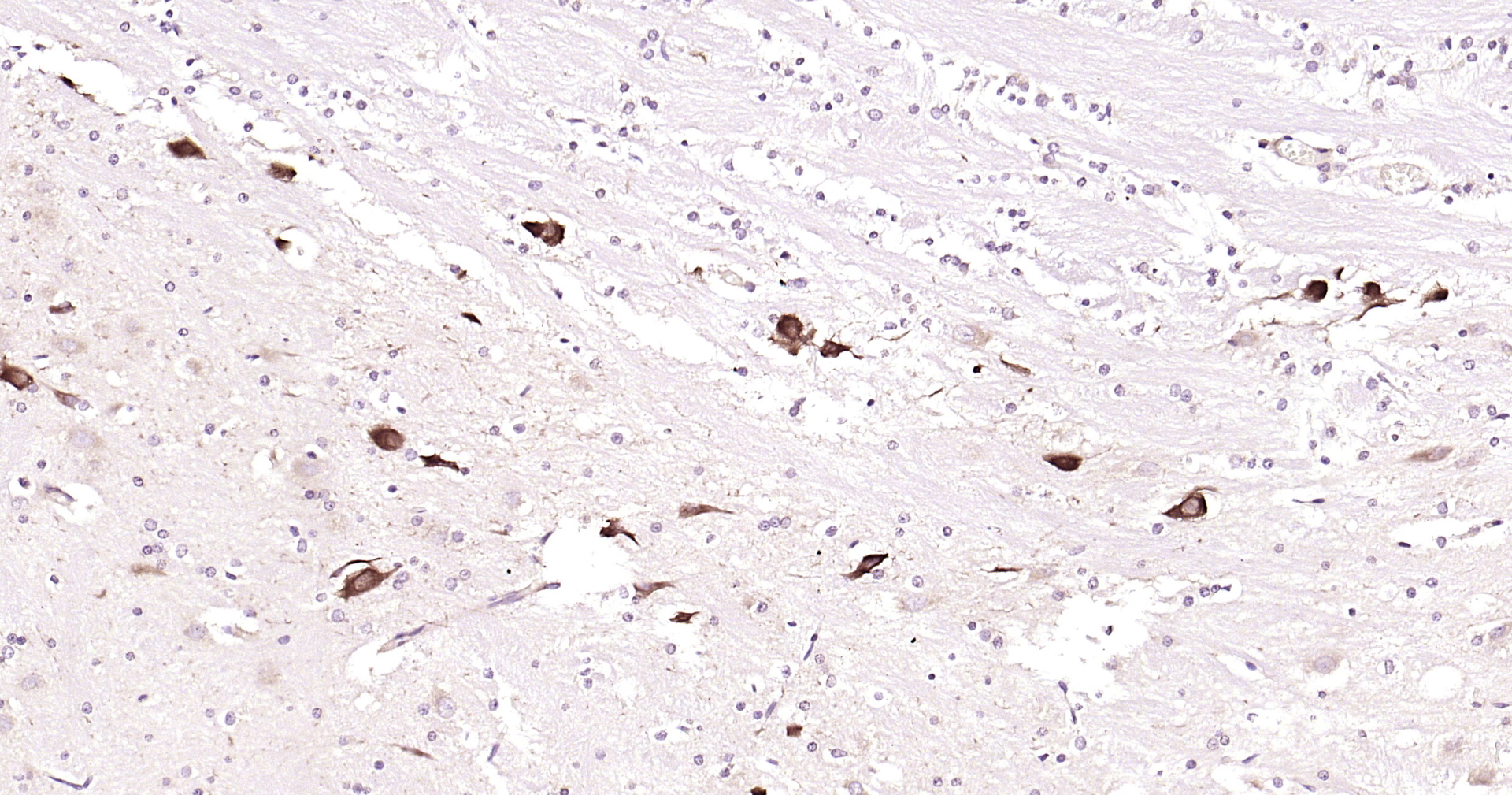
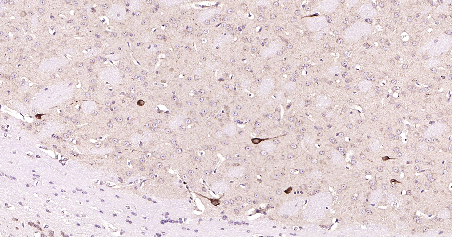
CHAT Recombinant Antibody

Applications

  • WB
  • IHC-P
  • IHC-F
  • IF(IHC-P)

Reactivity

  • Mouse
  • Rat
Overview
Catalog # bsm-54807r-100ul
Product Name CHAT Recombinant Antibody
Applications WB, IHC-P, IHC-F, IF(IHC-P)
Reactivity Mouse, Rat
Specifications
Conjugation Unconjugated
Host Rabbit
Source KLH conjugated synthetic peptide derived from human CHAT
Clonality Recombinant
Isotype IgG
Concentration 1mg/ml
Purification Purified by Protein A.
Storage Buffer 0.01M TBS(pH7.4) with 1% BSA, 0.02% Proclin300 and 50% Glycerol.
Storage Condition Shipped at 4C. Store at -20C for one year. Avoid repeated freeze/thaw cycles.
Target
Gene ID 1103
Swiss Prot B4DJJ6
Subcellular location Cytoplasm, Nucleus
Synonyms Choline O acetyltransferase; Choline O acetyltransferase; Acetyl CoA choline O acetyltransferase; Acetyl CoA:choline O acetyltransferase; ChAT; CHOACTase; Choline acetylase; choline acetyltransferase; CMS1A; CMS1A2; EC 2.3.1.6; OTTHUMP00000019583; OTTHUMP00000019584; CLAT_HUMAN.
Application Dilution
WB 1:1000-2000
IHC-P IHC-P1:200-1000
IHC-F IHC-F1:200-1000
IF(IHC-P) IFIHC-P1:100-500